Habibullah Ammar, Mogharbel Ahmed M, Alghamdi Alwaleed, Alhazmi Abdulelah, Alkhatib Talal, Zawawi Faisal
Otolaryngology - Head and Neck Surgery, King Abdulaziz University, Jeddah, SAU.
Cureus. 2022 Sep 8;14(9):e28928. doi: 10.7759/cureus.28928. eCollection 2022 Sep.
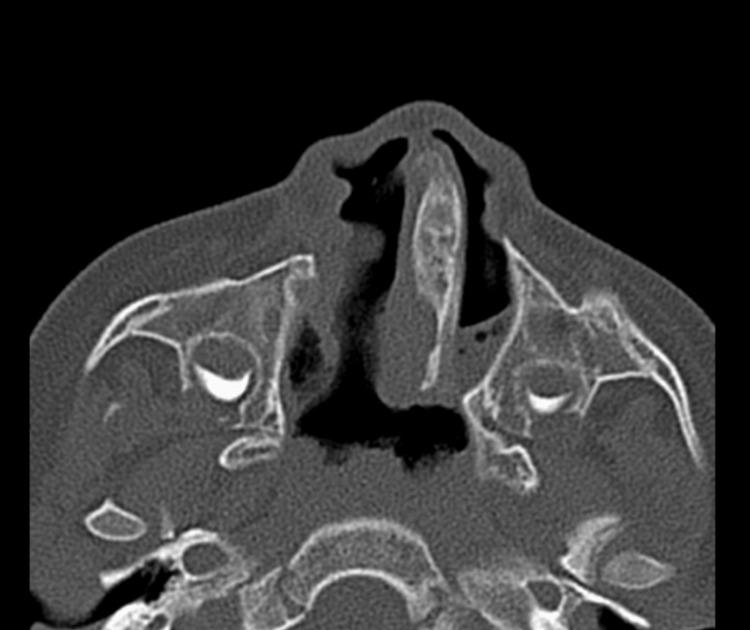
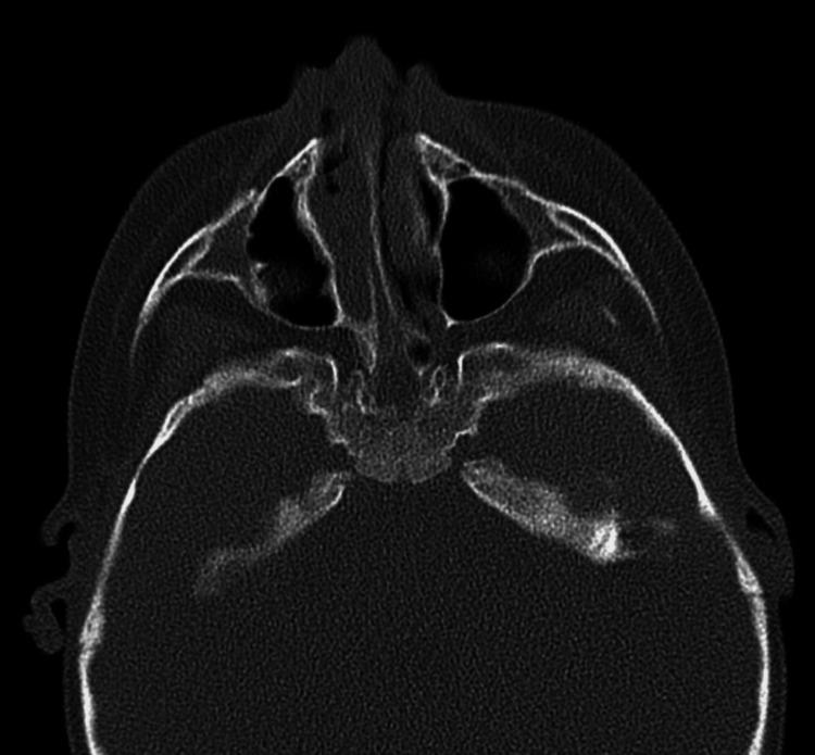
Introduction Choanal atresia (CA) is an uncommon congenital anomaly. There are various syndromes that are associated with CA. The purpose of this study is to determine the differences in CA's presentation and outcome when associated with other congenital anomalies and syndromes. Method This is a retrospective review study of all children (18 years and younger) who underwent CA repair in a tertiary referral healthcare center from January 2005 to April 2022. Demographics, comorbidities, radiological testing, operative reports, and outpatient reports were collected. Success was determined as a child with bilateral patent choana that is able to breathe from both nostrils comfortably. Result Twenty-four patients met the criteria for inclusion in this study. Bilateral CA was present in 15 (62.5%) patients. Mixed CA was the most common variant. There were various congenital anomalies in association with CA patients who are yet to be classified into a syndrome. The most common congenital anomaly was cleft lip and palate. Bony and mixed types were significantly associated with non-syndromic patients (p<0.05). Twenty patients (83%) were diagnosed with CA at age of less than one year, and four patients were diagnosed after one year of age. There were 36 surgeries performed on 24 patients, of which 27 were endoscopic and nine were using Hugher dilator. The overall success rate for CA repair was 50%. The median number of revisions per patient was 0.5. Conclusion CA is a challenging anomaly to repair. There are various factors that influence the outcome of children with CA. Otolaryngologists should counsel the patient and their families regarding possible need for revision especially in those with other craniofacial anomalies.
引言
后鼻孔闭锁(CA)是一种罕见的先天性异常。有多种综合征与CA相关。本研究的目的是确定与其他先天性异常和综合征相关时,CA的表现和结果的差异。
方法
这是一项对2005年1月至2022年4月在一家三级转诊医疗中心接受CA修复的所有18岁及以下儿童进行的回顾性研究。收集了人口统计学、合并症、放射学检查、手术报告和门诊报告。成功的定义为双侧后鼻孔通畅且能够舒适地通过双侧鼻孔呼吸的儿童。
结果
24名患者符合本研究的纳入标准。15名(62.5%)患者为双侧CA。混合型CA是最常见的类型。有多种先天性异常与尚未归类为综合征的CA患者相关。最常见的先天性异常是唇腭裂。骨性和混合型与非综合征患者显著相关(p<0.05)。20名(83%)患者在1岁前被诊断为CA,4名患者在1岁后被诊断。对24名患者进行了36次手术,其中27次是内镜手术,9次使用Hugher扩张器。CA修复的总体成功率为50%。每位患者的修订中位数为0.5。
结论
CA修复是一项具有挑战性的异常情况。有多种因素影响CA患儿的治疗结果。耳鼻喉科医生应就可能需要修订的情况向患者及其家属提供咨询,特别是对于那些有其他颅面异常的患者。