Department of Surgery, Jordan University of Science and Technology, Irbid, Jordan.
Department of Pathology, Jordan University of Science and Technology, Irbid, Jordan.
Am J Case Rep. 2022 Sep 21;23:e937195. doi: 10.12659/AJCR.937195.
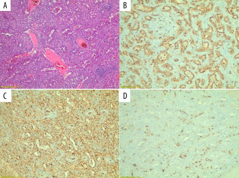
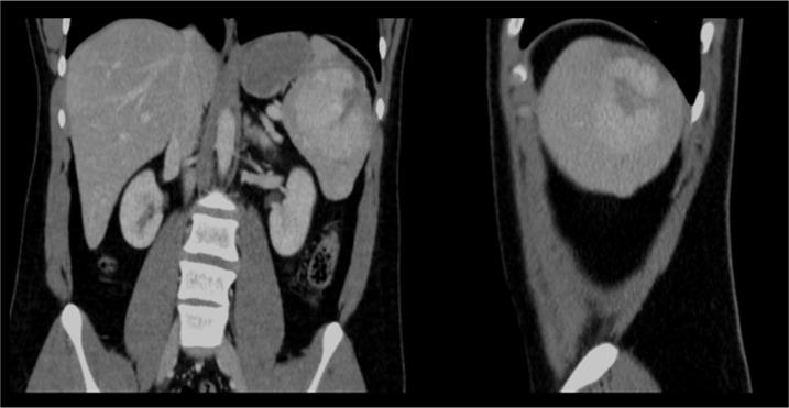
BACKGROUND Splenic hamartoma (SH) is a benign vascular lesion, usually found incidentally on abdominal images or at autopsy. Only around 200 cases have been reported since 1861, when SH was first described by Rokitansky. Although it is very rare, it is important to be familiar with it, as it may be a diagnostic challenge to distinguish SH from other mass lesions of the spleen based solely on preoperative investigations. CASE REPORT We describe a case of symptomatic, isolated, single splenic hamartoma in a 19-year-old, otherwise healthy young man who presented with upper abdominal pain, nausea, and vomiting for a few months. The examination was unremarkable. The patient has been previously evaluated with abdominal ultrasonography, which found a suspicious splenic hyperechoic lesion. Computed tomography revealed a heterogeneous 5×7 cm enhancing lesion in the spleen, concerning for splenic hamartoma. The patient underwent laparoscopic splenectomy and recovered well. The histopathology examination confirmed the diagnosis of splenic hamartoma. CONCLUSIONS Splenic hamartoma is a rare benign vascular lesion of debated etiology. Most cases are asymptomatic and are found incidentally on images, in splenectomies performed for other reasons, or at autopsy. Radiologic findings may suggest the diagnosis and new modalities have shown accuracy in distinguishing splenic hamartomas. However, resection with formal or partial splenectomy is usually still needed since the differential diagnosis is wide, from benign to aggressive lesions, and histopathology remains the criterion standard for diagnosis. Given its benign nature, we found no cases of recurrence or metastasis in the literature.
脾脏错构瘤(SH)是一种良性血管性病变,通常在腹部影像检查或尸检中偶然发现。自 1861 年罗基坦斯基首次描述 SH 以来,仅报告了约 200 例病例。尽管它非常罕见,但熟悉它很重要,因为仅根据术前检查,将 SH 与脾脏的其他肿块病变区分开来可能具有挑战性。
我们描述了一名 19 岁健康年轻男性的症状性、孤立性、单发脾脏错构瘤病例,该患者表现为上腹痛、恶心和呕吐数月。检查无明显异常。患者曾接受过腹部超声检查,发现可疑的脾脏高回声病变。计算机断层扫描显示脾脏内有一个 5×7 厘米的不均匀强化病变,提示为脾脏错构瘤。患者接受了腹腔镜脾切除术,恢复良好。组织病理学检查证实了脾脏错构瘤的诊断。
脾脏错构瘤是一种罕见的良性血管性病变,其病因存在争议。大多数病例无症状,在因其他原因行脾切除术时偶然发现,或在尸检中发现。影像学检查结果可能有助于诊断,新的诊断方法在区分脾脏错构瘤方面显示出了较高的准确性。然而,由于鉴别诊断范围广泛,从良性到侵袭性病变,且组织病理学仍然是诊断的标准,因此通常仍需要进行切除,包括完全或部分脾切除术。鉴于其良性性质,我们在文献中未发现复发或转移的病例。