Suppr超能文献

肺腺癌来源的C-蛋氨酸和F-FDG-PET双阴性转移性脑肿瘤伴反常性F-FDG高摄取:一例报告

C-methionine- and F-FDG-PET double-negative metastatic brain tumor from lung adenocarcinoma with paradoxical high F-FDG uptake: A case report.

作者信息

Tanahashi Kuniaki, Hirano Masaki, Chalise Lushun, Tsugawa Takahiko, Okumura Yuka, Hase Tetsunari, Ohka Fumiharu, Motomura Kazuya, Takeuchi Kazuhito, Nagata Yuichi, Nakahara Norimoto, Hashimoto Naozumi, Saito Ryuta

机构信息

Department of Neurosurgery, Nagoya University Graduate School of Medicine.

Division of Molecular Oncology, Aichi Cancer Center Research Institute.

出版信息

Surg Neurol Int. 2022 Aug 19;13:372. doi: 10.25259/SNI_264_2022. eCollection 2022.

Abstract

BACKGROUND

Imaging with 18F-fluorodeoxyglucose (FDG)-positron emission tomography (PET) and C-methionine (MET)-PET can delineate primary and metastatic brain tumors. Lesion size affects the sensitivity of both scans and histopathological features can also influence FDG-PET, but the effects on MET-PET have not been elucidated.

CASE DESCRIPTION

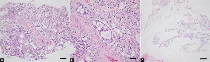
We report an unusual case of metastatic brain tumors without accumulation of FDG or MET, contrasting with high FDG uptake in the primary lung lesion. The brain lesions were identified as adenocarcinoma with a more mucus-rich background, contributing to the indistinct accumulation of both FDG and MET.

CONCLUSION

Histopathological characteristics can affect both MET and FDG accumulation, leading to findings contradicting those of the primary lesion.

摘要

背景

18F-氟脱氧葡萄糖(FDG)正电子发射断层扫描(PET)和C-蛋氨酸(MET)PET成像可描绘原发性和转移性脑肿瘤。病变大小会影响两种扫描的敏感性,组织病理学特征也会影响FDG-PET,但对MET-PET的影响尚未阐明。

病例描述

我们报告了一例不寻常的转移性脑肿瘤病例,FDG和MET均无积聚,而原发性肺病变中FDG摄取较高。脑病变被鉴定为腺癌,背景黏液较多,导致FDG和MET的积聚不明显。

结论

组织病理学特征可影响MET和FDG的积聚,导致与原发性病变结果相矛盾的发现。

https://cdn.ncbi.nlm.nih.gov/pmc/blobs/38d0/9479527/a576fc22b7c6/SNI-13-372-g001.jpg

文献AI研究员

20分钟写一篇综述,助力文献阅读效率提升50倍。

立即体验

用中文搜PubMed

大模型驱动的PubMed中文搜索引擎

马上搜索

文档翻译

学术文献翻译模型,支持多种主流文档格式。

立即体验