Suppr超能文献

冠状动脉锁骨下动脉窃血综合征致急性冠状动脉综合征:一例报告

Coronary subclavian steal syndrome causing acute coronary syndrome: a case report.

作者信息

Carmona Adrien, Marchandot Benjamin, Sagnard Mylene, Morel Olivier

机构信息

Division of Cardiovascular Medicine, Nouvel Hopital Civil, Strasbourg University Hospital, 1 place de l'Hôpital, 67000 Strasbourg, France.

Division of Nephrology Critical Care and Transplant Nephrology, Nouvel Hopital Civil, Strasbourg University Hospital, 1 place de l'Hôpital, 67000 Strasbourg, France.

出版信息

Eur Heart J Case Rep. 2022 Sep 3;6(9):ytac367. doi: 10.1093/ehjcr/ytac367. eCollection 2022 Sep.

Abstract

BACKGROUND

Myocardial infarction on non-occluded coronary artery represents a very specific subset of acute coronary syndrome (ACS). Coronary subclavian steal syndrome (CSSS) is defined by a left subclavian artery stenosis in case of (i) left internal mammary artery (LIMA) used to bypass left anterior descending artery (LAD) and (ii) >75% stenosis of the left subclavian artery prior to the origin of the LIMA to LAD graft. Here we report the case of a CSSS causing ACS.

CASE SUMMARY

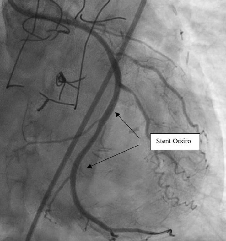
A 71-year-old man with history of LIMA to LAD coronary artery bypass surgery was admitted to the nephrology intensive care unit for acute kidney injury requiring dialysis. Due to rapid deterioration, altered left ventricular ejection fraction and elevated -troponin levels, an urgent coronary angiography was performed. It revealed a subtotal occlusion of the left subclavian artery prior to the origin of the LIMA to LAD graft. This was responsible for a severely altered coronary flow in the LIMA and LAD. Revascularization of the proximal left subclavian artery with a stent was performed, enabling instant recovery of distal coronary flows.

DISCUSSION

ACS due to CSSS in this report highlights the complexity of the cardio-renal interaction. Patients with coronary artery bypass graft and chronic kidney disease commonly exhibit a higher risk for severe progression of atherosclerosis at multiple sites. CSSS treatments include secondary prevention measures and revascularization (if indicated) such as an endovascular approach.

摘要

背景

非闭塞性冠状动脉心肌梗死是急性冠状动脉综合征(ACS)中一个非常特殊的亚型。冠状动脉锁骨下动脉窃血综合征(CSSS)的定义为:(i)左乳内动脉(LIMA)用于旁路移植左前降支动脉(LAD),且(ii)在LIMA至LAD移植起点之前左锁骨下动脉狭窄>75%。在此我们报告一例由CSSS导致ACS的病例。

病例摘要

一名有LIMA至LAD冠状动脉旁路移植手术史的71岁男性因急性肾损伤需要透析而入住肾病重症监护病房。由于病情迅速恶化、左心室射血分数改变及肌钙蛋白水平升高,遂进行了紧急冠状动脉造影。结果显示在LIMA至LAD移植起点之前左锁骨下动脉几乎完全闭塞。这导致了LIMA和LAD中冠状动脉血流严重改变。对左锁骨下动脉近端进行了支架血管重建,使冠状动脉远端血流立即恢复。

讨论

本报告中由CSSS导致的ACS突出了心肾相互作用的复杂性。接受冠状动脉旁路移植术和患有慢性肾病的患者通常在多个部位发生动脉粥样硬化严重进展的风险更高。CSSS的治疗包括二级预防措施和血管重建(如适用),例如血管内介入治疗。

https://cdn.ncbi.nlm.nih.gov/pmc/blobs/8c3b/9477207/0f4bb7cb0669/ytac367f1.jpg

相似文献

1
Coronary subclavian steal syndrome causing acute coronary syndrome: a case report.
Eur Heart J Case Rep. 2022 Sep 3;6(9):ytac367. doi: 10.1093/ehjcr/ytac367. eCollection 2022 Sep.
3
Coronary Subclavian Steal Syndrome: A Contemporary Review.
Cardiology. 2020;145(9):601-607. doi: 10.1159/000508652. Epub 2020 Jul 10.
4
Review of coronary subclavian steal syndrome.
J Cardiol. 2017 Nov;70(5):432-437. doi: 10.1016/j.jjcc.2017.02.012. Epub 2017 Apr 14.
5
A Case of Recurrent Coronary Subclavian Steal Syndrome.
Cureus. 2020 Aug 17;12(8):e9797. doi: 10.7759/cureus.9797.
6
Stealing from the Heart: A Rare Case of Chest Pain Post-Coronary Artery Bypass Grafting.
Methodist Debakey Cardiovasc J. 2023 Aug 9;19(1):49-54. doi: 10.14797/mdcvj.1239. eCollection 2023.
7
A Unique Case of STEMI STEALing the Flow.
JACC Case Rep. 2020 Nov 4;2(15):2419-2423. doi: 10.1016/j.jaccas.2020.09.020. eCollection 2020 Dec.
9
Coronary-subclavian steal syndrome. A case report.
Rev Port Cardiol. 2005 Feb;24(2):253-8.
10
Coronary subclavian steal syndrome due to thrombosis of the left subclavian artery aneurysm: a case report.
Eur Heart J Case Rep. 2023 Jan 11;7(1):ytad015. doi: 10.1093/ehjcr/ytad015. eCollection 2023 Jan.

引用本文的文献

1
Stealing from the Heart: A Rare Case of Chest Pain Post-Coronary Artery Bypass Grafting.
Methodist Debakey Cardiovasc J. 2023 Aug 9;19(1):49-54. doi: 10.14797/mdcvj.1239. eCollection 2023.

本文引用的文献

1
Chronic kidney disease measures for cardiovascular risk prediction.
Atherosclerosis. 2021 Oct;335:110-118. doi: 10.1016/j.atherosclerosis.2021.09.007. Epub 2021 Sep 9.
2
Coronary Subclavian Steal Syndrome: A Contemporary Review.
Cardiology. 2020;145(9):601-607. doi: 10.1159/000508652. Epub 2020 Jul 10.
3
Design and preliminary results of FRENSHOCK 2016: A prospective nationwide multicentre registry on cardiogenic shock.
Arch Cardiovasc Dis. 2019 May;112(5):343-353. doi: 10.1016/j.acvd.2019.02.001. Epub 2019 Apr 11.
5
Review of coronary subclavian steal syndrome.
J Cardiol. 2017 Nov;70(5):432-437. doi: 10.1016/j.jjcc.2017.02.012. Epub 2017 Apr 14.
8
Subclavian artery stenosis: prevalence, risk factors, and association with cardiovascular diseases.
J Am Coll Cardiol. 2004 Aug 4;44(3):618-23. doi: 10.1016/j.jacc.2004.04.044.

文献AI研究员

20分钟写一篇综述,助力文献阅读效率提升50倍。

立即体验

用中文搜PubMed

大模型驱动的PubMed中文搜索引擎

马上搜索

文档翻译

学术文献翻译模型,支持多种主流文档格式。

立即体验