Suppr超能文献

经细针穿刺诊断为垂体癌肝转移的细胞形态学:1例罕见病例报告及文献复习

Cytomorphology of pituitary carcinoma metastatic to liver diagnosed by fine-needle aspiration: A rare case report and review of literature.

作者信息

Srivastava Pallavi, Gupta Anurag, Malhotra Kiran Preet, Husain Nuzhat

机构信息

Department of Pathology, Dr. Ram Manohar Lohia Institute of Medical Sciences, Lucknow, Uttar Pradesh, India.

出版信息

Cytojournal. 2022 Sep 5;19:51. doi: 10.25259/Cytojournal_6_2021. eCollection 2022.

Abstract

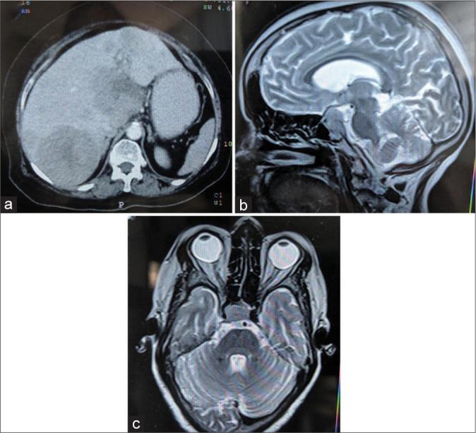
Pituitary carcinomas (PCs) are rare entities constituting about 0.1-0.2% of all pituitary neoplasms. They are diagnosed by the presence of craniospinal or systemic metastasis in pituitary adenomas (PAs). The distant metastatic sites include liver, followed by bone, lung, and lymph nodes. The diagnosis of PC is rarely made on fine-needle aspiration cytology (FNAC) with only six cases reported till date; hence, the cytologic features are not well defined. Herein, we report a case of PA having high Ki-67 proliferation index and p53 expression, presenting with liver lesion 6 weeks post-surgery and diagnosed on FNA. Detailed cytomorphologic features are defined and compared. We emphasize that FNAC, along with clinic-radiologic correlation, is a cost-effective, safe, and diagnostically accurate method of diagnosing PC metastases.

摘要

垂体癌(PCs)是罕见的实体肿瘤,约占所有垂体肿瘤的0.1 - 0.2%。它们通过垂体腺瘤(PAs)中出现颅脊髓或全身转移来诊断。远处转移部位包括肝脏,其次是骨骼、肺部和淋巴结。垂体癌的诊断很少通过细针穿刺细胞学检查(FNAC)做出,迄今为止仅报道了6例;因此,细胞学特征尚未明确界定。在此,我们报告一例垂体腺瘤,其Ki-67增殖指数和p53表达较高,术后6周出现肝脏病变,并通过细针穿刺抽吸活检(FNA)确诊。详细的细胞形态学特征得以明确并进行了比较。我们强调,FNAC结合临床-放射学相关性,是一种经济有效、安全且诊断准确的诊断垂体癌转移的方法。

https://cdn.ncbi.nlm.nih.gov/pmc/blobs/7b3c/9479509/7ea24cf3f9b1/Cytojournal-19-51-g001.jpg

文献AI研究员

20分钟写一篇综述,助力文献阅读效率提升50倍。

立即体验

用中文搜PubMed

大模型驱动的PubMed中文搜索引擎

马上搜索

文档翻译

学术文献翻译模型,支持多种主流文档格式。

立即体验