Suppr超能文献

促分泌素和促性腺激素释放激素激动剂对圈养黄条鰤产卵的影响

Effects of Secretoneurin and Gonadotropin-Releasing Hormone Agonist on the Spawning of Captive Greater Amberjack ().

作者信息

Yanlong Song, Yinjun Jiang, Ji Chen, Binbin Tao, Wen Xu, Yang Huang, Guangli Li, Zhu Chunhua, Wei Hu

机构信息

Southern Marine Science and Engineering Guangdong Laboratory (Zhanjiang), Zhanjiang 524013, China.

Guangdong Laboratory for Lingnan Modem Agriculture, Guangzhou 510642, China.

出版信息

Life (Basel). 2022 Sep 19;12(9):1457. doi: 10.3390/life12091457.

Abstract

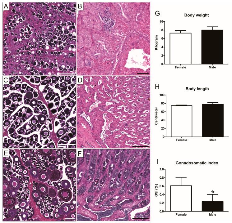
The greater amberjack (), a pelagic marine species with a global distribution, has considerable worldwide potential as an aquaculture species. However, difficulties have been encountered in inducing spontaneous spawning in cultured fish stocks. In this study, we analysed the key regulatory factors, secretoneurin (SN) and gonadotropin-releasing hormone (GnRH), in greater amberjack. Active peptides of SN and GnRH, SdSNa, and SdGnRH, respectively, were obtained by comparative analysis of homologous proteins from different species. Amino acid substitutions of the SdGnRH decapeptide at position 6 with a dextrorotatory (D) amino acid and at position 10 with an ethylamide group yielded a super-active agonist (SdGnRHa). The injection of SdSNa and SdGnRHa elevated luteinizing hormone, thyroid-stimulating hormone, and oxytocin levels in the sera of sexually mature fish, whereas it reduced the level of follicle-stimulating hormone. Furthermore, in response to the SdSNa and SdGnRHa injections, we detected an increase in the expression of genes associated with oocyte development and spermatogenesis. We established that the greater amberjack cultured along the southern coast of China reached sexual maturity at three years of age, and its reproductive season extended from February to April. Spawning of the cultured greater amberjack was successfully induced with a single injection of SdGnRHa/SdSN/DOM/HCG. Our findings indicate that similar to GnRHa, SNa is a potential stimulator of reproduction that can be used to artificially induce spawning in marine fish.

摘要

大西洋大耳鲹()是一种分布于全球的远洋海洋物种,作为水产养殖物种在全球具有相当大的潜力。然而,在诱导养殖鱼群自然产卵方面遇到了困难。在本研究中,我们分析了大西洋大耳鲹中的关键调节因子,即分泌神经素(SN)和促性腺激素释放激素(GnRH)。通过对不同物种同源蛋白的比较分析,分别获得了SN和GnRH的活性肽SdSNa和SdGnRH。SdGnRH十肽在第6位氨基酸被右旋(D)氨基酸取代,在第10位氨基酸被乙酰胺基取代,产生了一种超活性激动剂(SdGnRHa)。注射SdSNa和SdGnRHa可提高性成熟鱼血清中促黄体生成素、促甲状腺激素和催产素的水平,而降低促卵泡激素的水平。此外,在注射SdSNa和SdGnRHa后,我们检测到与卵母细胞发育和精子发生相关的基因表达增加。我们确定在中国南部沿海养殖的大西洋大耳鲹在3岁时达到性成熟,其繁殖季节从2月延长至4月。单次注射SdGnRHa/SdSN/DOM/HCG成功诱导了养殖大西洋大耳鲹的产卵。我们的研究结果表明,与GnRHa类似,SNa是一种潜在的繁殖刺激剂,可用于人工诱导海水鱼产卵。

https://cdn.ncbi.nlm.nih.gov/pmc/blobs/e7bc/9505948/5bab3a9a3610/life-12-01457-g001.jpg

文献AI研究员

20分钟写一篇综述,助力文献阅读效率提升50倍。

立即体验

用中文搜PubMed

大模型驱动的PubMed中文搜索引擎

马上搜索

文档翻译

学术文献翻译模型,支持多种主流文档格式。

立即体验