Suppr超能文献

[包皮平滑肌肉瘤:一例报告]

[Foreskin leiomyosarcoma: a case report].

作者信息

Szlabi Susana, Cremonezzi David

机构信息

Universidad Nacional de Córdoba. Facultad de Ciencias Médicas.

出版信息

Rev Fac Cien Med Univ Nac Cordoba. 2022 Sep 16;79(3):294-297. doi: 10.31053/1853.0605.v79.n3.34628.

Abstract

INTRODUCTION

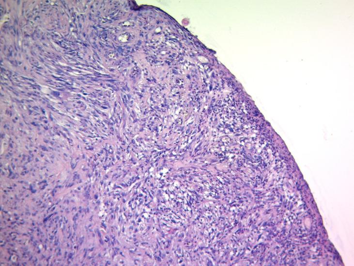
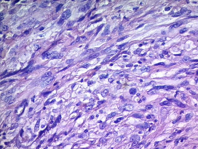
Primary skin leiomyosarcomas are infrequent neoplasms. They correspond to 2-3% of skin sarcomas and are most frequently located on the lower extremities, trunk and genitals.

METHODS

We present a case of a 73-year-old man with a 4-month evolution of foreskin leiomyosarcoma. The lesion was biopsied for histopathological study with HE and immunohistochemistry with smooth muscle actin, specific muscle actin, CD34, p63 and S-100 (-).

RESULTS

We observed a leiomyosarcoma of high histological grade and mitotic count. It was positive by immunohistochemistry for smooth muscle actin, while the other markers were negative. Surgical limits were compromised so a reoperation with wide margins of healthy tissue was necessary.

CONCLUSION

The skin lesions should be removed all, without exception, since they can be neoplasms of variable biological behavior. The histological study must be complemented with immunohistochemistry to differentiate them from other neoplasms. For the prognosis, the histological grade, size, location and the possibility of resection with wide margins must be taken into account.

摘要

引言

原发性皮肤平滑肌肉瘤是罕见的肿瘤。它们占皮肤肉瘤的2%-3%,最常发生于下肢、躯干和生殖器。

方法

我们报告一例73岁男性包皮平滑肌肉瘤,病程4个月。对病变进行活检,行苏木精-伊红(HE)染色及平滑肌肌动蛋白、特异性肌动蛋白、CD34、p63和S-100(-)免疫组化的组织病理学研究。

结果

我们观察到一个高组织学分级和高有丝分裂计数的平滑肌肉瘤。免疫组化显示平滑肌肌动蛋白呈阳性,而其他标志物呈阴性。手术切缘不足,因此需要再次手术,切除足够宽度的健康组织。

结论

所有皮肤病变均应切除,因为它们可能是具有不同生物学行为的肿瘤。组织学研究必须辅以免疫组化,以将它们与其他肿瘤区分开来。对于预后,必须考虑组织学分级、大小、位置以及进行宽切缘切除的可能性。

https://cdn.ncbi.nlm.nih.gov/pmc/blobs/8e30/9590819/dbb050c208e0/1853-0605-79-3-294-g001.jpg

文献检索

告别复杂PubMed语法,用中文像聊天一样搜索,搜遍4000万医学文献。AI智能推荐,让科研检索更轻松。

立即免费搜索

文件翻译

保留排版,准确专业,支持PDF/Word/PPT等文件格式,支持 12+语言互译。

免费翻译文档

深度研究

AI帮你快速写综述,25分钟生成高质量综述,智能提取关键信息,辅助科研写作。

立即免费体验