Suppr超能文献

意料之外的情况:一例早产儿硬脑膜动静脉瘘自发性血栓形成病例,并进行文献复习。

Expect the unexpected: a case of spontaneous thrombosis of a pial arteriovenous fistula in a preterm newborn with review of the literature.

机构信息

University of Padua, Department of Women's and Children's Health, Padova University Hospital, Unit of Neonatal Intensive Care Unit, Division Women's and Children's Health , Padua, Italy.

Neuroradiology Unit, Padova University Hospital, Padua, Italy.

出版信息

Childs Nerv Syst. 2023 Mar;39(3):793-799. doi: 10.1007/s00381-022-05652-y. Epub 2022 Sep 26.

Abstract

INTRODUCTION

Pial arteriovenous fistulas (pAVF) are rare vascular malformations, especially in children and newborns. In neonates, the most common symptom is congestive heart failure.

CASE PRESENTATION

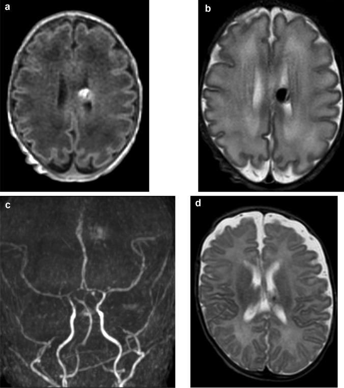
We report a case of an asymptomatic preterm newborn incidentally diagnosed with pAVF during a routine cranial ultrasound (cUS) on the third day of life. Cerebral magnetic resonance (MRI) confirmed the diagnosis. A wait-and-see approach was chosen by the multidisciplinary team. The cUS and the MRI on day 14 of life showed the spontaneous resolution of the lesion.

CONCLUSIONS

This case underlines the challenges in identifying pAVF in the first weeks of life and demonstrates a possible positive outcome for affected neonates.

摘要

简介

脑表面动静脉瘘(pAVF)是一种罕见的血管畸形,尤其在儿童和新生儿中更为少见。在新生儿中,最常见的症状是充血性心力衰竭。

病例介绍

我们报告了一例无症状早产儿病例,该患儿在生后第 3 天行常规头颅超声(cUS)时偶然被诊断为 pAVF。脑磁共振(MRI)证实了该诊断。多学科团队选择了等待观察的方法。在生后第 14 天行 cUS 和 MRI 显示病变自发消退。

结论

本病例强调了在生命最初几周识别 pAVF 的挑战,并表明受影响的新生儿可能有良好的结局。

https://cdn.ncbi.nlm.nih.gov/pmc/blobs/871d/10024657/be3ce5a17826/381_2022_5652_Fig1_HTML.jpg

文献AI研究员

20分钟写一篇综述,助力文献阅读效率提升50倍。

立即体验

用中文搜PubMed

大模型驱动的PubMed中文搜索引擎

马上搜索

文档翻译

学术文献翻译模型,支持多种主流文档格式。

立即体验