Suppr超能文献

戈米辛 A 通过抑制卵巢癌细胞氧化应激增强紫杉醇的抗肿瘤作用。

Gomisin A enhances the antitumor effect of paclitaxel by suppressing oxidative stress in ovarian cancer.

机构信息

Department of Gynaecology and Obstetrics, The Second Hospital, Jilin University, Changchun, Jilin 130021, P.R. China.

Department of Rehabilitation, School of Nursing, Jilin University, Changchun, Jilin 130022, P.R. China.

出版信息

Oncol Rep. 2022 Nov;48(5). doi: 10.3892/or.2022.8417. Epub 2022 Sep 28.

Abstract

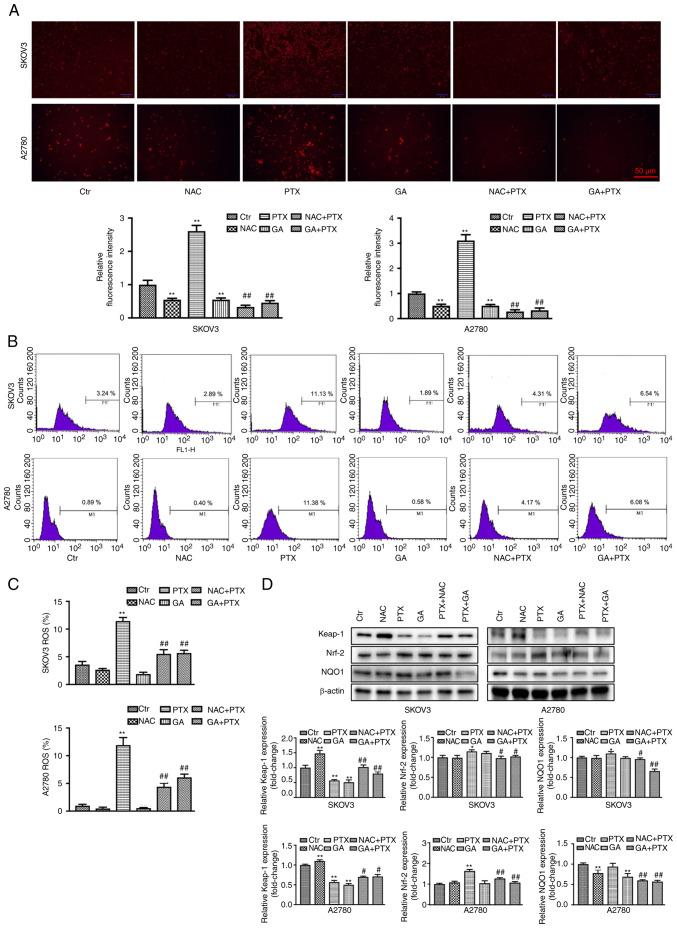
Gomisin A (GA) is an effective component of . The crude extracts of and its active ingredients have been shown to inhibit multidrug resistance in tumour cells. Reactive oxygen species (ROS) have different roles in cancer and may contribute to therapy resistance. The human ovarian cancer (OC) cell lines SKOV3 and A2780, and a mouse model of OC, were used in the present study. MTT assay, colony formation assay, flow cytometry, western blot analysis, and haematoxylin and eosin (H&E) staining were performed to determine the antitumor effect of GA and paclitaxel (PTX) and . The ROS inhibitor N‑acetyl cysteine (NAC) was used to assess the mechanism underlying the chemosensitizing effects of GA. Notably, the proliferation of OC cells was inhibited by PTX, which could be enhanced by the ROS inhibitor NAC or GA. Treatment with NAC + PTX or GA + PTX enhanced the cell cycle arrest, but not apoptosis, induced by PTX. Moreover, the molecular mechanism underlying this effect may be that GA decreases the levels of ROS in ovarian cancer cells and inhibits cell cycle progression by downregulating the expression of the cell cycle proteins cyclin‑dependent kinase 4 and cyclin B1. In conclusion, the combination of PTX and the ROS inhibitor GA may be a novel strategy in OC chemotherapy.

摘要

GA 是一种有效的成分。的粗提物及其活性成分已被证明能抑制肿瘤细胞的多药耐药性。活性氧 (ROS) 在癌症中有不同的作用,可能与治疗耐药性有关。本研究采用人卵巢癌细胞系 SKOV3 和 A2780 及小鼠卵巢癌模型。采用 MTT assay、集落形成 assay、流式细胞术、western blot 分析和苏木精和伊红 (H&E) 染色来确定 GA 和紫杉醇 (PTX) 及 的抗肿瘤作用。ROS 抑制剂 N-乙酰半胱氨酸 (NAC) 用于评估 GA 化学增敏作用的机制。值得注意的是,PTX 抑制 OC 细胞的增殖,ROS 抑制剂 NAC 或 GA 可增强其抑制作用。用 NAC + PTX 或 GA + PTX 处理可增强 PTX 诱导的细胞周期阻滞,但不诱导细胞凋亡。此外,这种作用的分子机制可能是 GA 降低卵巢癌细胞中的 ROS 水平,并通过下调细胞周期蛋白依赖性激酶 4 和细胞周期蛋白 B1 的表达来抑制细胞周期进程。综上所述,PTX 与 ROS 抑制剂 GA 的联合应用可能是 OC 化疗的一种新策略。

https://cdn.ncbi.nlm.nih.gov/pmc/blobs/22fc/9551658/42181e762620/or-48-05-08417-g00.jpg

文献AI研究员

20分钟写一篇综述,助力文献阅读效率提升50倍。

立即体验

用中文搜PubMed

大模型驱动的PubMed中文搜索引擎

马上搜索

文档翻译

学术文献翻译模型,支持多种主流文档格式。

立即体验