Suppr超能文献

经阴道超声与磁共振成像诊断直肠-乙状结肠交界子宫内膜异位症病灶-肛提肌距离的前瞻性研究。

Lesion-to-anal-verge distance in rectosigmoid endometriosis on transvaginal sonography vs magnetic resonance imaging: prospective study.

机构信息

Department of Gynecology, Oslo University Hospital, Oslo, Norway.

Institute of Clinical Medicine, Faculty of Medicine, University of Oslo, Oslo, Norway.

出版信息

Ultrasound Obstet Gynecol. 2023 Feb;61(2):243-250. doi: 10.1002/uog.26083.

Abstract

OBJECTIVES

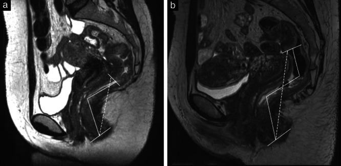
To compare transvaginal sonography (TVS) and magnetic resonance imaging (MRI) with intraoperative measurement (IOM) using a rectal probe in the estimation of the location of rectosigmoid endometriotic lesions, i.e. lesion-to-anal-verge distance (LAVD), and to compare two different MRI techniques for measuring LAVD.

METHODS

This was a prospective single-center observational study that included women undergoing surgery for symptomatic rectosigmoid endometriosis by discoid (DR) or segmental (SR) resection from December 2018 to December 2019. TVS and MRI were performed presurgically for each participant to evaluate LAVD, and the measurements on imaging were compared with IOM using a rectal probe. Clinically acceptable difference and limits of agreement (LoA) between TVS and MRI compared with IOM were set at ± 20 mm. Two different measuring methods for MRI, MRI and MRI , were proposed and evaluated, as there is currently no guideline to describe deep endometriosis on MRI. Bland-Altman plots and LoA were used to assess agreement of TVS and both MRI methods with IOM. Systematic and proportional biases were assessed using paired t-test and Bland-Altman plots.

RESULTS

Seventy-five women were eligible for inclusion. Twenty-eight women were excluded, leaving 47 women for the analysis. Twenty-three DR and 26 SR procedures were performed, with both procedures performed in two women. The Bland-Altman plots showed that there were no systematic differences between TVS or MRI when compared with IOM for all included participants. MRI systematically underestimated LAVD for lesions located further from the anal verge. TVS, MRI and MRI had LoA outside the preset clinically acceptable difference when compared with IOM. LAVD was within the clinically acceptable difference from IOM of ± 20 mm in 70% (33/47) of women on TVS, 72% (34/47) of women on MRI and 47% (22/47) of women on MRI .

CONCLUSIONS

TVS should be the preferred method to estimate the location of a rectosigmoid endometriotic lesion, i.e. LAVD, as it is more available, less expensive and has a similar accuracy to that of MRI. Estimating LAVD can be relevant for planning colorectal surgery for rectosigmoid endometriosis. © 2022 The Authors. Ultrasound in Obstetrics & Gynecology published by John Wiley & Sons Ltd on behalf of International Society of Ultrasound in Obstetrics and Gynecology.

摘要

目的

比较经阴道超声(TVS)和磁共振成像(MRI)与术中测量(IOM)直肠探头在估计直肠乙状结肠子宫内膜异位症病变位置中的应用,即病变至肛缘距离(LAVD),并比较两种不同的 MRI 技术测量 LAVD 的效果。

方法

这是一项前瞻性单中心观察性研究,纳入 2018 年 12 月至 2019 年 12 月因直肠乙状结肠子宫内膜异位症行碟形(DR)或节段性(SR)切除术的女性。每位参与者均在术前进行 TVS 和 MRI 检查以评估 LAVD,并使用直肠探头将影像学测量值与 IOM 进行比较。将 TVS 和 MRI 与 IOM 相比的临床可接受差异和一致性界限(LoA)设定为 ±20mm。由于目前尚无描述 MRI 中深部子宫内膜异位症的指南,因此提出并评估了两种不同的 MRI 测量方法,即 MRI 和 MRI 。使用 Bland-Altman 图和一致性界限(LoA)评估 TVS 和两种 MRI 方法与 IOM 的一致性。使用配对 t 检验和 Bland-Altman 图评估系统和比例偏差。

结果

75 名女性符合纳入标准。28 名女性被排除,47 名女性被纳入分析。共进行了 23 例 DR 和 26 例 SR 手术,其中 2 名女性同时进行了两种手术。Bland-Altman 图显示,对于所有纳入的参与者,与 IOM 相比,TVS 或 MRI 均无系统差异。MRI 对于距离肛缘较远的病变,系统地低估了 LAVD。与 IOM 相比,TVS、MRI 和 MRI 的 LoA 超出了预设的临床可接受差异。在 TVS 上,70%(33/47)的女性、MRI 上 72%(34/47)的女性和 MRI 上 47%(22/47)的女性的 LAVD 在 IOM 设定的±20mm 的临床可接受差异范围内。

结论

TVS 应该是估计直肠乙状结肠子宫内膜异位症病变位置(即 LAVD)的首选方法,因为它更方便、更便宜,且与 MRI 的准确性相似。估计 LAVD 可能与直肠乙状结肠子宫内膜异位症的结直肠手术计划相关。© 2022 作者。超声在妇产科由约翰威利父子公司代表国际妇产科超声学会出版。

https://cdn.ncbi.nlm.nih.gov/pmc/blobs/d81b/10107681/780c433b8568/UOG-61-243-g004.jpg

文献AI研究员

20分钟写一篇综述,助力文献阅读效率提升50倍。

立即体验

用中文搜PubMed

大模型驱动的PubMed中文搜索引擎

马上搜索

文档翻译

学术文献翻译模型,支持多种主流文档格式。

立即体验