Suppr超能文献

髂骨柄杯在肿瘤切除术后髋臼缺损重建中的应用:文献系统评价。

The iliac stemmed cup in reconstruction of the acetabular defects secondary to tumor resection: a systematic review of literature.

机构信息

Department of Anatomical, Histological, Forensic Medicine and Orthopaedic Science, University of Rome, Piazzale Aldo Moro 5, 00185, Rome, Italy.

Oncological Orthopaedics Department, IRCCS - Regina Elena National Cancer Institute, Via Elio Chianesi 53, Rome, Italy.

出版信息

Arch Orthop Trauma Surg. 2023 Jun;143(6):3659-3667. doi: 10.1007/s00402-022-04639-3. Epub 2022 Oct 1.

Abstract

INTRODUCTION

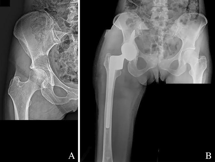
Stemmed acetabular cups are suitable for reconstruction in case of important bone loss. Nevertheless, their use is not so common, because generally judged very invasive and technically difficult to implant. The aim of the present review is to verify the results of their use and to evaluate indications and complications.

MATERIALS AND METHODS

Literature research was performed in the main healthcare databases; indications, surgical technique, related complications, functional results and implant survival were valued and analyzed for every selected paper.

RESULTS

13 studies were selected, for a population of 424 patients and 428 hips. The main indication was reconstruction after tumor removal; the primary non-oncologic indication was revision for aseptic loosening. The most frequent complications were aseptic loosening and implant failure (16.2%), followed by deep infection (11.3%) and dislocation (9.8%). The average MSTS score was 65.9%; while data regarding functional results for degenerative cases are quite fragmented. The 5-years implant survival was 73.6%.

CONCLUSIONS

Data regarding SAC prostheses are quite rare in the literature; no prospective studies with comparisons with other reconstruction techniques are available so their use is mainly based on the experience of single centers. While data for tumors are more consistent and supported by studies, information on revisions of hip prosthesis implanted for degenerative problems is quite scarce. Preliminary results on the SAC prosthesis as a valid alternative both for tumoral and degenerative revision cases are encouraging. Prospective randomized studies are advocated to value results compared to alternative techniques.

摘要

简介

带柄髋臼杯适用于严重骨量丢失的重建。然而,它们的使用并不常见,因为一般认为它们具有很强的侵袭性,且植入技术难度较大。本综述旨在验证其使用效果,并评估其适应证和并发症。

材料与方法

在主要的医疗保健数据库中进行了文献检索;对每一篇选定的论文进行适应证、手术技术、相关并发症、功能结果和植入物存活率的评估和分析。

结果

共选择了 13 项研究,涉及 424 例患者和 428 髋。主要适应证为肿瘤切除后重建;主要非肿瘤性适应证为无菌性松动翻修。最常见的并发症是无菌性松动和植入物失败(16.2%),其次是深部感染(11.3%)和脱位(9.8%)。平均 MSTS 评分为 65.9%;而关于退行性疾病功能结果的数据则相当分散。5 年植入物存活率为 73.6%。

结论

关于 SAC 假体的文献数据相当罕见;没有与其他重建技术进行比较的前瞻性研究,因此其使用主要基于单个中心的经验。虽然肿瘤方面的数据更为一致,并得到了研究的支持,但关于髋关节假体退行性问题翻修的数据却相当匮乏。SAC 假体作为肿瘤和退行性病变翻修的有效替代方法,初步结果令人鼓舞。建议进行前瞻性随机研究,以评估与替代技术相比的结果。

https://cdn.ncbi.nlm.nih.gov/pmc/blobs/9341/10191932/6d13600eb4ab/402_2022_4639_Fig1_HTML.jpg

文献AI研究员

20分钟写一篇综述,助力文献阅读效率提升50倍。

立即体验

用中文搜PubMed

大模型驱动的PubMed中文搜索引擎

马上搜索

文档翻译

学术文献翻译模型,支持多种主流文档格式。

立即体验