Suppr超能文献

由子宫肌瘤引起的完全性非产后子宫内翻:附 1 例报告。

Complete non-puerperal uterine inversion caused by uterine hemangioma: about a case report.

机构信息

University of Sousse, Faculty of Medicine of Sousse, 4000, Sousse, Tunisia.

Farhat Hached University Hospital of Sousse, Department of Obstetric Gynecology, 4000, Sousse, Tunisia.

出版信息

Pan Afr Med J. 2022 Jun 27;42:156. doi: 10.11604/pamj.2022.42.156.35583. eCollection 2022.

Abstract

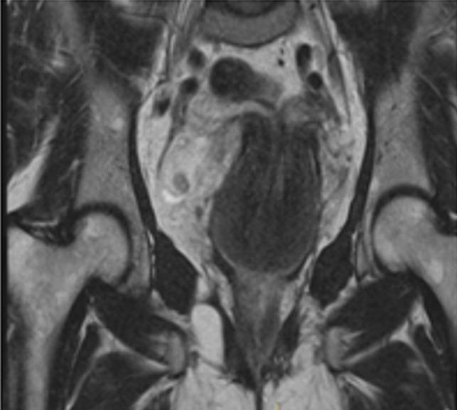
Uterine inversion is a rare postpartum complication. It is a rare condition in which the internal surface of the uterus protrudes through the vagina. Non-puerperal uterine inversion (NPUI) is extremely rare. In most instances, it is linked to uterine tumors. Among these tumors, leiomyoma is the most frequent cause reported in data. This condition may not be noticed until time of surgery. Malignancy is suspected in most cases. Nevertheless, uterine inversion can be diagnosed preoperatively using radiology. Difficulties in diagnosing NPUI makes this clinical case a challenge in gynaecology and not commonly reported in literature. We report our experience in the diagnosis and treatment of a complete non-puerperal uterine inversion associated with uterine angioleiomyoma. The patient's age was 44, gravida 2 para 1 presented with intermittent vaginal bleeding for four months and an acute abdominal cramping pain. On examination, a large mass lesion was observed which occupies the vaginal cavity and the contour of the uterine cervix could not be reached. Biopsies and Immunohistochemistry matched with an angioleiomyoma. She underwent a transvaginal surgical reposition technique: Spinelli's. It is important to diagnose accurate non-puerperal uterine inversion. Surgery provides good prognosis and it is necessary. We report a case of NPUI caused by angioleiomyoma. Nevertheless, malignancy must be eliminated in first place.

摘要

子宫内翻是一种罕见的产后并发症。它是一种罕见的情况,即子宫内部表面通过阴道突出。非产后性子宫内翻(NPUI)极为罕见。在大多数情况下,它与子宫肿瘤有关。在这些肿瘤中,平滑肌瘤是数据中最常见的报告原因。这种情况可能直到手术时才被发现。大多数情况下怀疑为恶性肿瘤。然而,放射学可用于术前诊断子宫内翻。NPUI 的诊断困难使得这种妇科临床病例成为一种挑战,并且在文献中并不常见。我们报告了我们在诊断和治疗与子宫血管平滑肌瘤相关的完全非产后性子宫内翻方面的经验。患者年龄为 44 岁,孕 2 产 1,间歇性阴道出血 4 个月,伴有急性腹痛。检查时,发现阴道腔内有一个大的肿块,触及不到子宫颈的轮廓。活检和免疫组织化学与血管平滑肌瘤相符。她接受了经阴道复位手术:Spinelli 技术。准确诊断非产后性子宫内翻非常重要。手术提供了良好的预后,这是必要的。我们报告了一例由血管平滑肌瘤引起的 NPUI。然而,首先必须排除恶性肿瘤。

https://cdn.ncbi.nlm.nih.gov/pmc/blobs/2545/9482224/075a7bba38b8/PAMJ-42-156-g001.jpg

文献AI研究员

20分钟写一篇综述,助力文献阅读效率提升50倍。

立即体验

用中文搜PubMed

大模型驱动的PubMed中文搜索引擎

马上搜索

文档翻译

学术文献翻译模型,支持多种主流文档格式。

立即体验