Suppr超能文献

传统影像学检查中两种不同技术对争议性腰椎间盘突出症的诊断价值:三维双回波稳态序列(3D-DESS)与CT平扫对比

Diagnostic values of 2 different techniques for controversial lumbar disc herniation by conventional imaging examination: 3D-DESS vs. CT plain scan.

作者信息

Liu Wei, Chen Jinhua, Zhang Yanan, Wang Xu, Zheng Junwen, Huang Aibing, Chen Chunmao, Bian Jian, Yang Lei, Li Haijun

机构信息

Department of Rehabilitation, Taizhou People's Hospital, Nanjing Medical University, Taizhou, China.

Department of Diagnostic Radiology, Taizhou People's Hospital, Nanjing Medical University, Taizhou, China.

出版信息

Front Physiol. 2022 Sep 14;13:953423. doi: 10.3389/fphys.2022.953423. eCollection 2022.

Abstract

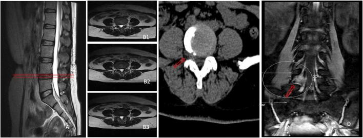
The aim of this study was to explore the significance of three-dimensional double-echo steady-state (3D-DESS) sequence and multidetector computed tomography (CT) plain scan in the diagnosis of lumbar disc herniation (LDH) remaining controversial in conventional magnetic resonance imaging (MRI), and to compare the efficiency between 3D-DESS and CT in diagnosing controversial patients by conventional MRI. A total of 61 patients with controversial LDH diagnosed by conventional MRI were collected. Before operation, the disease of these patients was further confirmed by 3D-DESS sequences and continuous CT plain scan from L3 to S1. Finally, for patients whose postoperative curative effect was marked and symptoms were obviously alleviated, the sensitivity, specificity and accuracy. Among, 59 patients with remarkably relieved symptoms after operation were included, and 2 patients with varying degrees of non-remission of pain and partial dysfunction after operation were excluded. The sensitivity, specificity and accuracy of 3D-DESS were 94.6, 100 and 94.9%, respectively, and those of CT were 75.0, 33.3 and 72.9%, respectively. 3D-DESS is a very useful diagnostic method for patients with some special types of LDH that remain controversial in conventional imaging diagnostic methods. Through 3D-DESS, the morphology of lumbosacral nerve roots can be directly observed, which is conducive to the improvement of the sensitivity, specificity and accuracy, thus further reducing the misdiagnosis rate. Moreover, 3D-DESS plays a guiding role in the formulation of operative methods.

摘要

本研究旨在探讨三维双回波稳态(3D-DESS)序列和多排螺旋计算机断层扫描(CT)平扫在常规磁共振成像(MRI)中仍存在争议的腰椎间盘突出症(LDH)诊断中的意义,并比较3D-DESS和CT在通过常规MRI诊断存在争议患者方面的效率。共收集了61例经常规MRI诊断为存在争议的LDH患者。术前,通过3D-DESS序列以及从L3至S1的连续CT平扫对这些患者的病情进行进一步确认。最后,对于术后疗效显著且症状明显缓解的患者,评估其敏感性、特异性和准确性。其中,纳入了59例术后症状明显缓解的患者,排除了2例术后疼痛不同程度未缓解且存在部分功能障碍的患者。3D-DESS的敏感性、特异性和准确性分别为94.6%、100%和94.9%,CT的敏感性、特异性和准确性分别为75.0%、33.3%和72.9%。对于一些在传统影像诊断方法中仍存在争议的特殊类型LDH患者,3D-DESS是一种非常有用的诊断方法。通过3D-DESS,可以直接观察腰骶神经根的形态,有利于提高敏感性、特异性和准确性,从而进一步降低误诊率。此外,3D-DESS在手术方法的制定中发挥着指导作用。

https://cdn.ncbi.nlm.nih.gov/pmc/blobs/c369/9515955/7ad43c119337/fphys-13-953423-g001.jpg

文献AI研究员

20分钟写一篇综述,助力文献阅读效率提升50倍。

立即体验

用中文搜PubMed

大模型驱动的PubMed中文搜索引擎

马上搜索

文档翻译

学术文献翻译模型,支持多种主流文档格式。

立即体验