Suppr超能文献

血浆α1-抗糜蛋白酶升高可作为疟疾患者的生物标志物候选物。

Elevated plasma α1-antichymotrypsin is a biomarker candidate for malaria patients.

机构信息

Department of Biotechnology, College of Biomedical and Health Science; Research Institute for Biomedical & Health Science, Konkuk University, Chungju 27478, Korea.

Department of Biotechnology, College of Biomedical and Health Science, Konkuk University, Chungju 27478, Korea.

出版信息

BMB Rep. 2022 Nov;55(11):571-576. doi: 10.5483/BMBRep.2022.55.11.126.

Abstract

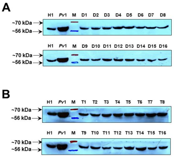
Advancements in the field of proteomics have provided opportunities to develop diagnostic and therapeutic strategies against various diseases. About half of the world's population remains at risk of malaria. Caused by protozoan parasites of the genus Plasmodium, malaria is one of the oldest and largest risk factors responsible for the global burden of infectious diseases with an estimated 3.2 billion persons at risk of infection. For epidemiological surveillance and appropriate treatment of individuals infected with Plasmodium spp., timely detection is critical. In this study, we used combinations of depletion of abundant plasma proteins, 2-dimensional gel electrophoresis (2-DE), image analysis, LC-MS/MS and western blot analysis on the plasma of healthy donors (100 individuals) and vivax and falciparum malaria patients (100 vivax malaria patients and 8 falciparum malaria patients). These analyses revealed that α1-antichymotrypsin (AACT) protein levels were elevated in vivax malaria patient plasma samples (mean fold-change ± standard error: 2.83 ± 0.11, based on band intensities), but not in plasma from patients with other mosquito-borne infectious diseases. The results of AACT immunoblot analyses showed that AACT protein was significantly elevated in vivax and falciparum malaria patient plasma samples (≥ 2-fold) compared to healthy control donor plasma samples, which has not been previously reported. [BMB Reports 2022; 55(11): 571-576].

摘要

蛋白质组学领域的进展为开发针对各种疾病的诊断和治疗策略提供了机会。大约一半的世界人口仍然面临疟疾的风险。疟疾是由疟原虫属原生动物引起的,是导致传染病全球负担的最古老和最大的危险因素之一,估计有 32 亿人面临感染风险。为了对感染疟原虫的个体进行流行病学监测和适当治疗,及时检测至关重要。在这项研究中,我们使用了组合方法,即大量血浆蛋白的耗竭、二维凝胶电泳(2-DE)、图像分析、LC-MS/MS 和对健康供体(100 人)和间日疟和恶性疟患者(100 名间日疟患者和 8 名恶性疟患者)的血浆进行 Western blot 分析。这些分析表明,α1-抗胰蛋白酶(AACT)蛋白水平在间日疟患者的血浆样本中升高(基于条带强度的平均倍数变化±标准误差:2.83±0.11),但在其他由蚊子传播的传染病患者的血浆中没有升高。AACT 免疫印迹分析的结果表明,AACT 蛋白在间日疟和恶性疟患者的血浆样本中显著升高(≥2 倍),与健康对照供体的血浆样本相比,这是以前没有报道过的。[BMB 报告 2022;55(11): 571-576]。

https://cdn.ncbi.nlm.nih.gov/pmc/blobs/4e3b/9712706/a3c20b1f1742/bmb-55-11-571-f1.jpg

文献AI研究员

20分钟写一篇综述,助力文献阅读效率提升50倍。

立即体验

用中文搜PubMed

大模型驱动的PubMed中文搜索引擎

马上搜索

文档翻译

学术文献翻译模型,支持多种主流文档格式。

立即体验