Suppr超能文献

Cardiac Magnetic Resonance Imaging Midterm Follow Up of COVID-19 Vaccine-Associated Myocarditis.

作者信息

Cavalcante João L, Shaw Kirsten E, Gössl Mario

机构信息

Minneapolis Heart Institute at Abbott Northwestern Hospital, Minneapolis, Minnesota, USA.

Department of Graduate Medical Education, Abbott Northwestern Hospital, Minneapolis, Minnesota, USA.

出版信息

JACC Cardiovasc Imaging. 2022 Oct;15(10):1821-1824. doi: 10.1016/j.jcmg.2022.01.008. Epub 2022 Mar 16.

Abstract
摘要
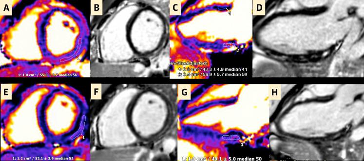
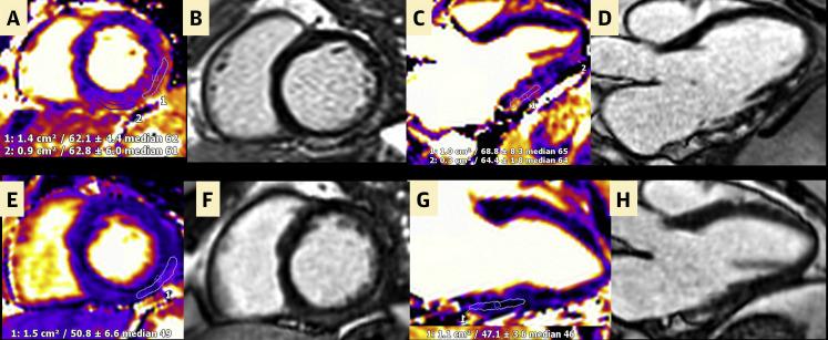
https://cdn.ncbi.nlm.nih.gov/pmc/blobs/711e/8925933/449908007dea/gr1_lrg.jpg

文献AI研究员

20分钟写一篇综述,助力文献阅读效率提升50倍。

立即体验

用中文搜PubMed

大模型驱动的PubMed中文搜索引擎

马上搜索

文档翻译

学术文献翻译模型,支持多种主流文档格式。

立即体验