Suppr超能文献

比较 K18-hACE2 小鼠和叙利亚金黄地鼠 SARS-CoV-2 感染模型的发病机制。

Comparison of the pathogenesis of SARS-CoV-2 infection in K18-hACE2 mouse and Syrian golden hamster models.

机构信息

Severance Biomedical Science Institute, Brain Korea 21 FOUR Project for Medical Science, Yonsei University College of Medicine, Seoul 03722, South Korea.

Department of Nuclear Medicine, Seoul National University Bundang Hospital, Seongnam 13488, South Korea.

出版信息

Dis Model Mech. 2022 Nov 1;15(11). doi: 10.1242/dmm.049632. Epub 2022 Nov 11.

Abstract

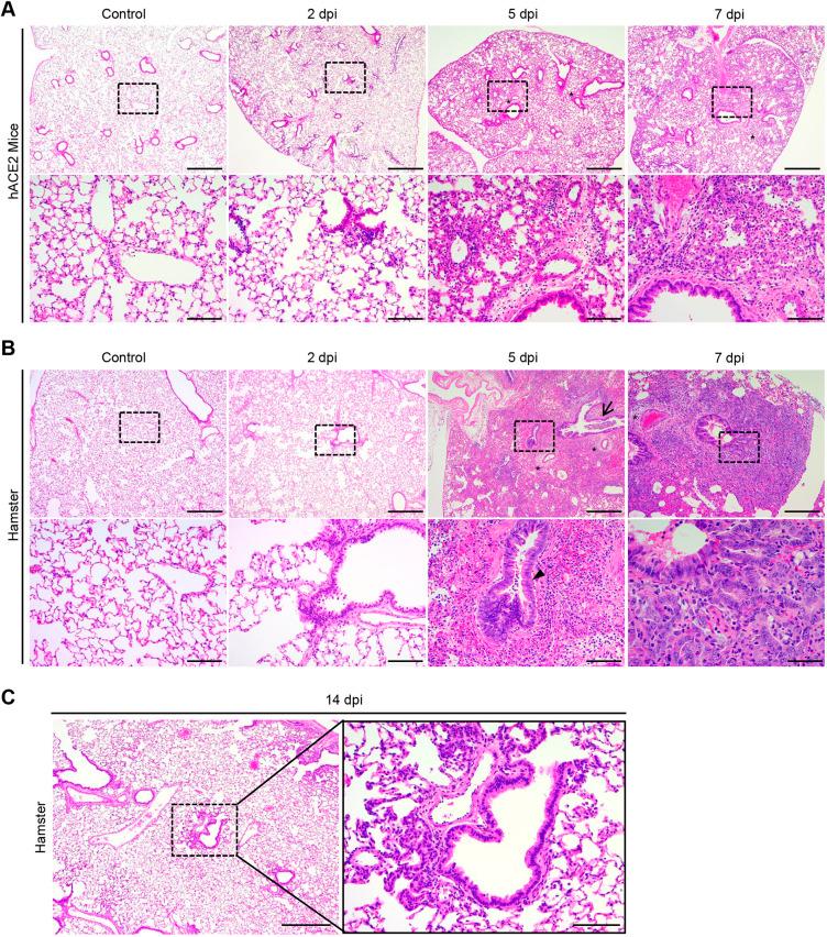
Severe acute respiratory syndrome coronavirus 2 (SARS-CoV-2), the etiological agent of COVID-19, causes life-threatening disease. This novel coronavirus enters host cells via the respiratory tract, promoting the formation of severe pulmonary lesions and systemic disease. Few animal models can simulate the clinical signs and pathology of COVID-19 patients. Diverse preclinical studies using K18-hACE2 mice and Syrian golden hamsters, which are highly permissive to SARS-CoV-2 in the respiratory tract, are emerging; however, the systemic pathogenesis and cellular tropism of these models remain obscure. We intranasally infected K18-hACE2 mice and Syrian golden hamsters with SARS-CoV-2, and compared the clinical features, pathogenesis, cellular tropism and infiltrated immune-cell subsets. In K18-hACE2 mice, SARS-CoV-2 persistently replicated in alveolar cells and caused pulmonary and extrapulmonary disease, resulting in fatal outcomes. Conversely, in Syrian golden hamsters, transient SARS-CoV-2 infection in bronchial cells caused reversible pulmonary disease, without mortality. Our findings provide comprehensive insights into the pathogenic spectrum of COVID-19 using preclinical models.

摘要

严重急性呼吸综合征冠状病毒 2(SARS-CoV-2)是 COVID-19 的病原体,可引起危及生命的疾病。这种新型冠状病毒通过呼吸道进入宿主细胞,促进严重的肺部病变和全身疾病的形成。少数动物模型可以模拟 COVID-19 患者的临床症状和病理学。目前正在出现使用 K18-hACE2 小鼠和叙利亚金黄地鼠进行的各种临床前研究,这些动物在呼吸道中对 SARS-CoV-2 高度易感;然而,这些模型的全身发病机制和细胞嗜性仍不清楚。我们通过鼻腔感染 K18-hACE2 小鼠和叙利亚金黄地鼠 SARS-CoV-2,并比较了临床特征、发病机制、细胞嗜性和浸润免疫细胞亚群。在 K18-hACE2 小鼠中,SARS-CoV-2 在肺泡细胞中持续复制,导致肺外和肺外疾病,导致死亡。相反,在叙利亚金黄地鼠中,支气管细胞中的 SARS-CoV-2 一过性感染导致可逆性肺部疾病,无死亡率。我们的研究结果使用临床前模型全面深入地了解了 COVID-19 的发病谱。

https://cdn.ncbi.nlm.nih.gov/pmc/blobs/eabb/9672931/4763b60cde3c/dmm-15-049632-g1.jpg

文献AI研究员

20分钟写一篇综述,助力文献阅读效率提升50倍。

立即体验

用中文搜PubMed

大模型驱动的PubMed中文搜索引擎

马上搜索

文档翻译

学术文献翻译模型,支持多种主流文档格式。

立即体验