Suppr超能文献

一例胆囊穿孔并发造口旁疝的病例。

A Case of Perforated Cholecystitis into a Parastomal Hernia.

作者信息

Seang Sereibanndith, Hort Amy, Gosal Preet K S, Richardson Mark

机构信息

Department of General Surgery, Nepean Hospital, New South Wales, Australia.

出版信息

Case Rep Surg. 2022 Oct 3;2022:2058051. doi: 10.1155/2022/2058051. eCollection 2022.

Abstract

INTRODUCTION

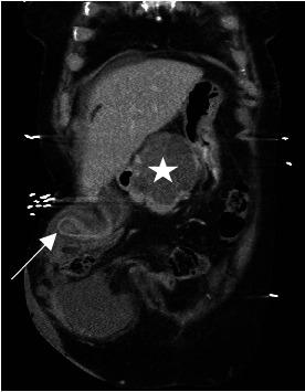
Parastomal hernia is a common complication following an enterostomy. Gallbladder herniation into parastomal hernia is rare and may become symptomatic and inflamed and very rarely can lead to gallbladder perforation. We present the first case of gallbladder perforation inside a parastomal hernia with a unique skin change. . In this report, an 87-year-old female with a history of previous open cystectomy and ileal conduit formation, presented with right upper quadrant pain and worsening parastomal swelling. A computed tomography scan showed a parastomal herniation of the gallbladder, cholelithiasis, and possible early acute cholecystitis. Within 12 hours of admission, bile staining skin changes developed around her urostomy site which raised our suspicion of a perforated gallbladder. Biliary peritonitis was confirmed on laparoscopy the same day. We proceeded with an open midline cholecystectomy without hernia repair. The patient was well at her last follow-up. . A literature review found 14 published cases of incarcerated gallbladder hernia. This uncommon condition mainly affects elderly females. Ten cases were managed operatively, and four cases were managed nonoperatively, with good outcomes. Currently, no consensus on treatment guidelines exists. In a frail elderly patient, a nonoperative approach may be suitable. Operative management was indicated in this case due to clinical concerns of perforation due to developing skin changes. This cutaneous sign has not been previously documented in the literature.

CONCLUSION

While rare, the gallbladder can herniate and become incarcerated inside a parastomal hernia. Bile staining of the skin should raise clinical suspicion of perforation. Management options depend on patient and pathology factors and can be nonoperative or operative, with or without hernia repair.

摘要

引言

造口旁疝是肠造口术后的常见并发症。胆囊疝入造口旁疝较为罕见,可能出现症状并发生炎症,极少情况下可导致胆囊穿孔。我们报告首例造口旁疝内胆囊穿孔并伴有独特皮肤改变的病例。在本报告中,一名87岁女性,既往有开放性膀胱切除术及回肠代膀胱术史,出现右上腹疼痛及造口旁肿胀加重。计算机断层扫描显示胆囊造口旁疝、胆结石及可能的早期急性胆囊炎。入院后12小时内,其造口周围皮肤出现胆汁染色改变,这引起我们对胆囊穿孔的怀疑。同日腹腔镜检查证实为胆汁性腹膜炎。我们进行了开放性中线胆囊切除术,未行疝修补术。患者最后一次随访时情况良好。文献综述发现14例已发表的嵌顿性胆囊疝病例。这种罕见情况主要影响老年女性。10例接受手术治疗,4例接受非手术治疗,均取得良好效果。目前对于治疗指南尚无共识。对于体弱的老年患者,非手术方法可能合适。由于出现皮肤改变担心穿孔,本病例采用了手术治疗。这种皮肤体征此前文献中未见记载。

结论

虽然罕见,但胆囊可疝入并嵌顿于造口旁疝内。皮肤胆汁染色应引起对穿孔的临床怀疑。治疗方案取决于患者和病理因素,可采用非手术或手术治疗,是否进行疝修补。

https://cdn.ncbi.nlm.nih.gov/pmc/blobs/99f3/9550486/d20198258340/CRIS2022-2058051.001.jpg

文献AI研究员

20分钟写一篇综述,助力文献阅读效率提升50倍。

立即体验

用中文搜PubMed

大模型驱动的PubMed中文搜索引擎

马上搜索

文档翻译

学术文献翻译模型,支持多种主流文档格式。

立即体验