Suppr超能文献

根治性膀胱切除术和回肠导管转流术后的造口旁疝。

Parastomal hernias after radical cystectomy and ileal conduit diversion.

机构信息

Department of Surgery, Memorial Sloan Kettering Cancer Center, New York, NY, USA.

出版信息

Investig Clin Urol. 2016 Jul;57(4):240-8. doi: 10.4111/icu.2016.57.4.240. Epub 2016 Jul 5.

Abstract

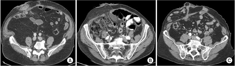
Parastomal hernia, defined as an "incisional hernia related to an abdominal wall stoma", is a frequent complication after conduit urinary diversion that can negatively impact quality of life and present a clinically significant problem for many patients. Parastomal hernia (PH) rates may be as high as 65% and while many patients are asymptomatic, in some series up to 30% of patients require surgical intervention due to pain, leakage, ostomy appliance problems, urinary obstruction, and rarely bowel obstruction or strangulation. Local tissue repair, stoma relocation, and mesh repairs have been performed to correct PH, however, long-term results have been disappointing with recurrence rates of 30%-76% reported after these techniques. Due to high recurrence rates and the potential morbidity of PH repair, efforts have been made to prevent PH development at the time of the initial surgery. Randomized trials of circumstomal prophylactic mesh placement at the time of colostomy and ileostomy stoma formation have shown significant reductions in PH rates with acceptably low complication profiles. We have placed prophylactic mesh at the time of ileal conduit creation in patients at high risk for PH development and found it to be safe and effective in reducing the PH rates over the short-term. In this review, we describe the clinical and radiographic definitions of PH, the clinical impact and risk factors associated with its development, and the use of prophylactic mesh placement for patients undergoing ileal conduit urinary diversion with the intent of reducing PH rates.

摘要

肠造口旁疝,定义为“与腹壁造口相关的切口疝”,是肠管尿流改道后常见的并发症,可降低生活质量,并给许多患者带来严重的临床问题。肠造口旁疝(PH)的发生率可能高达 65%,虽然许多患者无症状,但在一些研究中,高达 30%的患者因疼痛、渗漏、造口器具问题、尿路梗阻,且罕见的肠梗阻或绞窄而需要手术干预。局部组织修复、造口移位和网片修复已用于纠正 PH,但这些技术的长期结果令人失望,复发率为 30%-76%。由于 PH 修复的高复发率和潜在的发病率,人们已努力在初次手术时预防 PH 的发生。预防性环绕造口网片放置术在结肠造口术和回肠造口术时的随机试验显示,PH 发生率显著降低,且并发症发生率可接受。我们对有发生 PH 高风险的患者在进行回肠通道造口术时预防性放置了网片,发现其在短期内安全且有效降低 PH 发生率。在这篇综述中,我们描述了 PH 的临床和影像学定义、其发生的临床影响和危险因素,以及预防性使用网片放置术来降低接受回肠通道尿流改道术患者的 PH 发生率。

https://cdn.ncbi.nlm.nih.gov/pmc/blobs/6a1b/4949695/9d20420ed344/icu-57-240-g001.jpg

文献检索

告别复杂PubMed语法,用中文像聊天一样搜索,搜遍4000万医学文献。AI智能推荐,让科研检索更轻松。

立即免费搜索

文件翻译

保留排版,准确专业,支持PDF/Word/PPT等文件格式,支持 12+语言互译。

免费翻译文档

深度研究

AI帮你快速写综述,25分钟生成高质量综述,智能提取关键信息,辅助科研写作。

立即免费体验