• 文献检索
  • 文档翻译
  • 深度研究
  • 学术资讯
  • Suppr Zotero 插件Zotero 插件
  • 邀请有礼
  • 套餐&价格
  • 历史记录
应用&插件
Suppr Zotero 插件Zotero 插件浏览器插件Mac 客户端Windows 客户端微信小程序
定价
高级版会员购买积分包购买API积分包
服务
文献检索文档翻译深度研究API 文档MCP 服务
关于我们
关于 Suppr公司介绍联系我们用户协议隐私条款
关注我们

Suppr 超能文献

核心技术专利:CN118964589B侵权必究
粤ICP备2023148730 号-1Suppr @ 2026

文献检索

告别复杂PubMed语法,用中文像聊天一样搜索,搜遍4000万医学文献。AI智能推荐,让科研检索更轻松。

立即免费搜索

文件翻译

保留排版,准确专业,支持PDF/Word/PPT等文件格式,支持 12+语言互译。

免费翻译文档

深度研究

AI帮你快速写综述,25分钟生成高质量综述,智能提取关键信息,辅助科研写作。

立即免费体验

日粮大豆球蛋白对杂交黄颡鱼幼鱼肠道氧化损伤、细胞凋亡及紧密连接的影响。

Effects of Dietary Glycinin on Oxidative Damage, Apoptosis and Tight Junction in the Intestine of Juvenile Hybrid Yellow Catfish, ♀ × ♂.

机构信息

Key Lab of Freshwater Animal Breeding, Ministry of Agriculture, College of Fisheries, Huazhong Agricultural University, Wuhan 430070, China.

Shuangshui Shuanglu Institute, Huazhong Agricultural University, Wuhan 430070, China.

出版信息

Int J Mol Sci. 2022 Sep 23;23(19):11198. doi: 10.3390/ijms231911198.

DOI:10.3390/ijms231911198
PMID:36232502
原文链接:https://pmc.ncbi.nlm.nih.gov/articles/PMC9570327/
Abstract

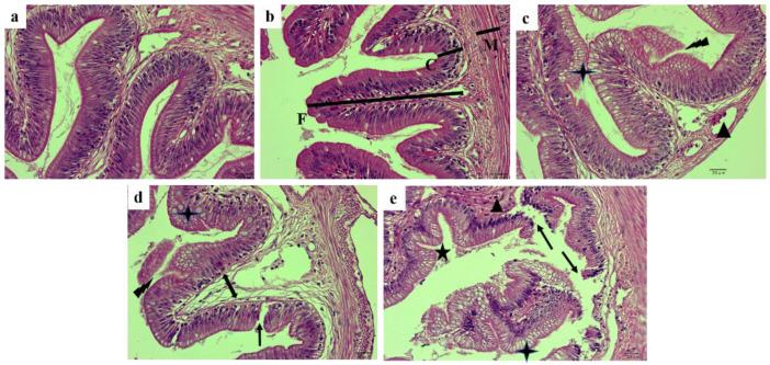
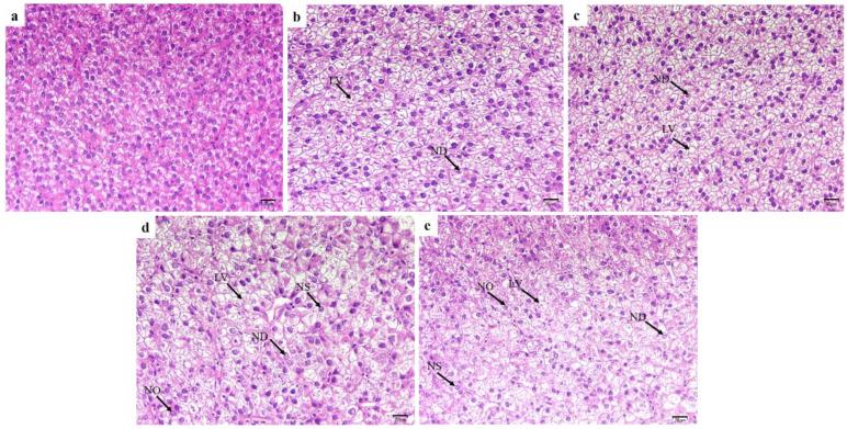
The objective of this study was to examine the influences of glycinin for growth and intestinal structural integrity related to oxidative damage, apoptosis and tight junction of juvenile hybrid yellow catfish ( ♀ × ♂). Fish (initial weight, 1.02 ± 0.01 g) were fed diets containing five different levels of glycinin at 0%, 2%, 4%, 6%, and 8% for 8 weeks. The results demonstrated that dietary glycinin levels had a negative correlation with final weight, feed intake, protein efficiency ratio and survival rate of the experiment fish. When the level of dietary glycinin exceeded 4%, the structural integrity of the posterior intestine was observably impaired, characterized by disordered and exfoliated margin of intestinal villi, blurred and broken boundaries of tight junctions, damaged organelles and cell vacuolation. Levels of 4-8% dietary glycinin depressed the total antioxidant capacity and total superoxide dismutase activities of posterior intestine. Furthermore, a high level of dietary glycinin linearly and quadratically down-regulated the mRNA expressions of Claudin-1, Occludin and ZO-1, while it linearly and significantly up-regulated the mRNA expressions of Bax, Cyt C, Caspase 3, Caspase 9 and p53 in the posterior intestine. In conclusion, dietary 4-8% glycinin impaired the morphological structure of the posterior intestine by inducing oxidative stress and cell apoptosis, and eventually impeded the growth performance of juvenile hybrid yellow catfish.

摘要

本研究旨在探讨大豆球蛋白对杂交黄颡鱼(♀×♂)生长和肠道结构完整性的影响,包括氧化损伤、细胞凋亡和紧密连接相关。将初始体重为 1.02±0.01g 的鱼随机分为 5 组,投喂含 0%、2%、4%、6%和 8%大豆球蛋白的等氮等能实验饲料 8 周。结果表明,随着饲料中大豆球蛋白水平的升高,鱼的末重、摄食率、特定生长率和成活率逐渐降低。当饲料中大豆球蛋白水平超过 4%时,后肠的结构完整性受到明显破坏,表现为肠绒毛边缘排列紊乱、脱落,紧密连接边界模糊、断裂,细胞器和细胞空泡化。4%-8%的饲料大豆球蛋白降低了后肠的总抗氧化能力和总超氧化物歧化酶活性。此外,高水平的饲料大豆球蛋白线性和二次下调了后肠 Claudin-1、Occludin 和 ZO-1 的 mRNA 表达,线性和显著地上调了 Bax、Cyt C、Caspase 3、Caspase 9 和 p53 的 mRNA 表达。综上所述,日粮 4%-8%的大豆球蛋白通过诱导氧化应激和细胞凋亡破坏了后肠的形态结构,最终阻碍了杂交黄颡鱼幼鱼的生长性能。

https://cdn.ncbi.nlm.nih.gov/pmc/blobs/2457/9570327/85fd1089941e/ijms-23-11198-g008.jpg
https://cdn.ncbi.nlm.nih.gov/pmc/blobs/2457/9570327/e6003cb99037/ijms-23-11198-g001.jpg
https://cdn.ncbi.nlm.nih.gov/pmc/blobs/2457/9570327/048a24550502/ijms-23-11198-g002.jpg
https://cdn.ncbi.nlm.nih.gov/pmc/blobs/2457/9570327/4f11964179a5/ijms-23-11198-g003.jpg
https://cdn.ncbi.nlm.nih.gov/pmc/blobs/2457/9570327/3775a773e659/ijms-23-11198-g004.jpg
https://cdn.ncbi.nlm.nih.gov/pmc/blobs/2457/9570327/55fee1b40af8/ijms-23-11198-g005.jpg
https://cdn.ncbi.nlm.nih.gov/pmc/blobs/2457/9570327/053b9356895b/ijms-23-11198-g006.jpg
https://cdn.ncbi.nlm.nih.gov/pmc/blobs/2457/9570327/f97d28ed65f9/ijms-23-11198-g007.jpg
https://cdn.ncbi.nlm.nih.gov/pmc/blobs/2457/9570327/85fd1089941e/ijms-23-11198-g008.jpg
https://cdn.ncbi.nlm.nih.gov/pmc/blobs/2457/9570327/e6003cb99037/ijms-23-11198-g001.jpg
https://cdn.ncbi.nlm.nih.gov/pmc/blobs/2457/9570327/048a24550502/ijms-23-11198-g002.jpg
https://cdn.ncbi.nlm.nih.gov/pmc/blobs/2457/9570327/4f11964179a5/ijms-23-11198-g003.jpg
https://cdn.ncbi.nlm.nih.gov/pmc/blobs/2457/9570327/3775a773e659/ijms-23-11198-g004.jpg
https://cdn.ncbi.nlm.nih.gov/pmc/blobs/2457/9570327/55fee1b40af8/ijms-23-11198-g005.jpg
https://cdn.ncbi.nlm.nih.gov/pmc/blobs/2457/9570327/053b9356895b/ijms-23-11198-g006.jpg
https://cdn.ncbi.nlm.nih.gov/pmc/blobs/2457/9570327/f97d28ed65f9/ijms-23-11198-g007.jpg
https://cdn.ncbi.nlm.nih.gov/pmc/blobs/2457/9570327/85fd1089941e/ijms-23-11198-g008.jpg

相似文献

1
Effects of Dietary Glycinin on Oxidative Damage, Apoptosis and Tight Junction in the Intestine of Juvenile Hybrid Yellow Catfish, ♀ × ♂.日粮大豆球蛋白对杂交黄颡鱼幼鱼肠道氧化损伤、细胞凋亡及紧密连接的影响。
Int J Mol Sci. 2022 Sep 23;23(19):11198. doi: 10.3390/ijms231911198.
2
Soyabean glycinin depresses intestinal growth and function in juvenile Jian carp (Cyprinus carpio var Jian): protective effects of glutamine.大豆球蛋白抑制建鲤幼鱼肠道生长和功能:谷氨酰胺的保护作用
Br J Nutr. 2015 Nov 28;114(10):1569-83. doi: 10.1017/S0007114515003219. Epub 2015 Sep 9.
3
Isoleucine improved growth performance, and intestinal immunological and physical barrier function of hybrid catfish Pelteobagrus vachelli × Leiocassis longirostris.异亮氨酸改善了杂交鲶鱼(瓦氏黄颡鱼×长吻鮠)的生长性能、肠道免疫和物理屏障功能。
Fish Shellfish Immunol. 2021 Feb;109:20-33. doi: 10.1016/j.fsi.2020.09.035. Epub 2020 Sep 28.
4
Dietary Leucine Improves Fish Intestinal Barrier Function by Increasing Humoral Immunity, Antioxidant Capacity, and Tight Junction.膳食亮氨酸通过提高体液免疫、抗氧化能力和紧密连接改善鱼类肠道屏障功能。
Int J Mol Sci. 2023 Mar 1;24(5):4716. doi: 10.3390/ijms24054716.
5
Vitamin D mitigates lipopolysaccharide-induced oxidative stress, tight junction damage and intestinal inflammatory response in yellow catfish, Pelteobagrus fulvidraco.维生素 D 可减轻黄颡鱼(Pelteobagrus fulvidraco)脂多糖诱导的氧化应激、紧密连接损伤和肠道炎症反应。
Comp Biochem Physiol C Toxicol Pharmacol. 2021 May;243:108982. doi: 10.1016/j.cbpc.2021.108982. Epub 2021 Jan 23.
6
Dietary zinc addition influenced zinc and lipid deposition in the fore- and mid-intestine of juvenile yellow catfish Pelteobagrus fulvidraco.添加膳食锌对幼年黄颡鱼(Pelteobagrus fulvidraco)前肠和中肠的锌及脂质沉积有影响。
Br J Nutr. 2017 Oct;118(8):570-579. doi: 10.1017/S0007114517002446. Epub 2017 Sep 26.
7
Dietary tryptophan affects growth performance, digestive and absorptive enzyme activities, intestinal antioxidant capacity, and appetite and GH-IGF axis-related gene expression of hybrid catfish (Pelteobagrus vachelli♀ × Leiocassis longirostris♂).日粮色氨酸影响杂交鲇(瓦氏黄颡鱼♀×长吻鮠♂)的生长性能、消化吸收酶活性、肠道抗氧化能力、摄食和 GH-IGF 轴相关基因表达。
Fish Physiol Biochem. 2019 Oct;45(5):1627-1647. doi: 10.1007/s10695-019-00651-4. Epub 2019 Jun 3.
8
Cloning of the gene encoding acyl-CoA thioesterase 11 and its functional characterization in hybrid yellow catfish (Pelteobagrus fulvidraco ♀ × Pelteobagrus vachelli ♂) under heat stress.热应激下杂交黄颡鱼(♀黄颡鱼×♂瓦氏黄颡鱼)酰基辅酶 A 硫酯酶 11 基因的克隆及其功能特征。
J Therm Biol. 2020 Oct;93:102681. doi: 10.1016/j.jtherbio.2020.102681. Epub 2020 Aug 13.
9
Deficiency of dietary pyridoxine disturbed the intestinal physical barrier function of young grass carp (Ctenopharyngodon idella).饮食中吡哆醇缺乏会破坏幼草鱼(Ctenopharyngodon idella)的肠道物理屏障功能。
Fish Shellfish Immunol. 2018 Mar;74:459-473. doi: 10.1016/j.fsi.2018.01.015. Epub 2018 Jan 12.
10
Dietary High Glycinin Reduces Growth Performance and Impairs Liver and Intestinal Health Status of Orange-Spotted Grouper ().日粮中高含量的大豆球蛋白会降低点带石斑鱼的生长性能,并损害其肝脏和肠道健康状况。
Animals (Basel). 2023 Aug 12;13(16):2605. doi: 10.3390/ani13162605.

引用本文的文献

1
Integrative RNA, miRNA, and 16S rRNA sequencing reveals immune-related regulation network for glycinin-induced enteritis in hybrid yellow catfish, ♀ × ♂.整合RNA、miRNA和16S rRNA测序揭示了杂交黄颡鱼(♀×♂)中大豆球蛋白诱导肠炎的免疫相关调控网络。
Front Immunol. 2025 Jan 15;15:1475195. doi: 10.3389/fimmu.2024.1475195. eCollection 2024.
2
Screening and Stability Analysis of Reference Genes for Gene Expression Normalization in Hybrid Yellow Catfish ( ♀ ×  ♂) Fed Diets Containing Different Soybean Meal Levels.杂交黄颡鱼(♀×♂)投喂不同豆粕水平饲料时用于基因表达标准化的内参基因筛选及稳定性分析
Aquac Nutr. 2023 Sep 22;2023:1232518. doi: 10.1155/2023/1232518. eCollection 2023.
3

本文引用的文献

1
Structural Characteristics of the 5'-Terminal Region of Mouse p53 mRNA and Identification of Proteins That Bind to This mRNA Region.鼠 p53 mRNA 5'端区域的结构特征及其与该 mRNA 区域结合蛋白的鉴定。
Int J Mol Sci. 2022 Aug 26;23(17):9709. doi: 10.3390/ijms23179709.
2
An identified PfHMGB1 promotes microcystin-LR-induced liver injury of yellow catfish (Pelteobagrus fulvidraco).一种鉴定的 PfHMGB1 促进了微囊藻毒素-LR 诱导的黄颡鱼(Pelteobagrus fulvidraco)肝损伤。
Ecotoxicol Environ Saf. 2021 Jan 1;207:111266. doi: 10.1016/j.ecoenv.2020.111266. Epub 2020 Sep 9.
3
The Role of Mitochondria in Inflammation: From Cancer to Neurodegenerative Disorders.
Dietary High Glycinin Reduces Growth Performance and Impairs Liver and Intestinal Health Status of Orange-Spotted Grouper ().
日粮中高含量的大豆球蛋白会降低点带石斑鱼的生长性能,并损害其肝脏和肠道健康状况。
Animals (Basel). 2023 Aug 12;13(16):2605. doi: 10.3390/ani13162605.
4
Dietary α-ketoglutarate alleviates glycinin and β-conglycinin induced damage in the intestine of mirror carp ().日粮 α-酮戊二酸缓解了大豆球蛋白和β-伴大豆球蛋白对鲫鱼()肠道的损伤。
Front Immunol. 2023 Apr 28;14:1140012. doi: 10.3389/fimmu.2023.1140012. eCollection 2023.
线粒体在炎症中的作用:从癌症到神经退行性疾病
J Clin Med. 2020 Mar 9;9(3):740. doi: 10.3390/jcm9030740.
4
Effect of the complete replacement of dietary fish meal by soybean meal on histopathology and immune response of the hindgut in grass carp (Ctenopharyngodon idellus).用豆粕完全替代饲料中的鱼粉对草鱼(Ctenopharyngodon idellus)后肠组织病理学和免疫反应的影响。
Vet Immunol Immunopathol. 2020 Mar;221:110009. doi: 10.1016/j.vetimm.2020.110009. Epub 2020 Jan 8.
5
Soybean glycinin decreased growth performance, impaired intestinal health, and amino acid absorption capacity of juvenile grass carp (Ctenopharyngodon idella).大豆球蛋白降低了草鱼幼鱼的生长性能,损害了其肠道健康和氨基酸吸收能力。
Fish Physiol Biochem. 2019 Oct;45(5):1589-1602. doi: 10.1007/s10695-019-00648-z. Epub 2019 Jun 29.
6
Effects of glycinin and β-conglycinin on growth performance and intestinal health in juvenile Chinese mitten crabs (Eriocheir sinensis).大豆球蛋白和β-伴大豆球蛋白对幼龄中华绒螯蟹(Eriocheir sinensis)生长性能和肠道健康的影响。
Fish Shellfish Immunol. 2019 Jan;84:269-279. doi: 10.1016/j.fsi.2018.10.013. Epub 2018 Oct 6.
7
Dietary soybean antigen impairs growth and health through stress-induced non-specific immune responses in Pacific white shrimp, Litopenaeus vannamei.膳食大豆抗原通过应激诱导的非特异性免疫反应损害太平洋白对虾(Litopenaeus vannamei)的生长和健康。
Fish Shellfish Immunol. 2019 Jan;84:124-129. doi: 10.1016/j.fsi.2018.09.062. Epub 2018 Sep 24.
8
Effects of protein sources on growth, immunity and antioxidant capacity of juvenile pearl oyster Pinctada fucata martensii.蛋白质来源对马氏珠母贝稚贝生长、免疫及抗氧化能力的影响。
Fish Shellfish Immunol. 2017 Aug;67:411-418. doi: 10.1016/j.fsi.2017.06.037. Epub 2017 Jun 15.
9
Cell Biology of Tight Junction Barrier Regulation and Mucosal Disease.紧密连接屏障调节与黏膜疾病的细胞生物学
Cold Spring Harb Perspect Biol. 2018 Jan 2;10(1):a029314. doi: 10.1101/cshperspect.a029314.
10
Optimal dietary protein level improved growth, disease resistance, intestinal immune and physical barrier function of young grass carp (Ctenopharyngodon idella).最佳膳食蛋白质水平可提高幼草鱼(Ctenopharyngodon idella)的生长、抗病能力、肠道免疫和物理屏障功能。
Fish Shellfish Immunol. 2016 Aug;55:64-87. doi: 10.1016/j.fsi.2016.05.021. Epub 2016 May 20.