Suppr超能文献

[胸部免疫球蛋白G4相关性疾病:影像学表现与鉴别诊断]

[Immunoglobulin G4-Related Disease in the Thorax: Imaging Findings and Differential Diagnosis].

作者信息

Kim Yookyung, Choi Hye Young

出版信息

Taehan Yongsang Uihakhoe Chi. 2021 Jul;82(4):826-837. doi: 10.3348/jksr.2021.0078. Epub 2021 Jul 26.

Abstract

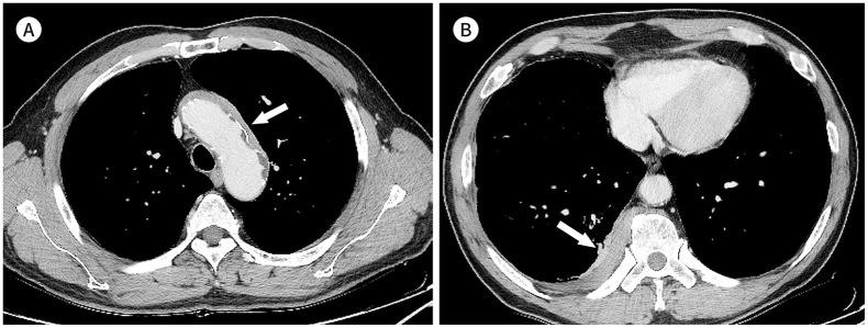
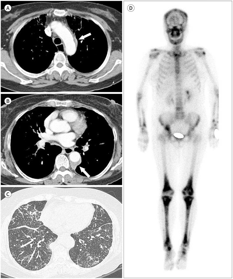
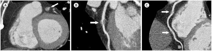
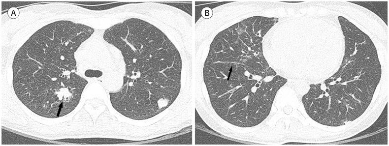
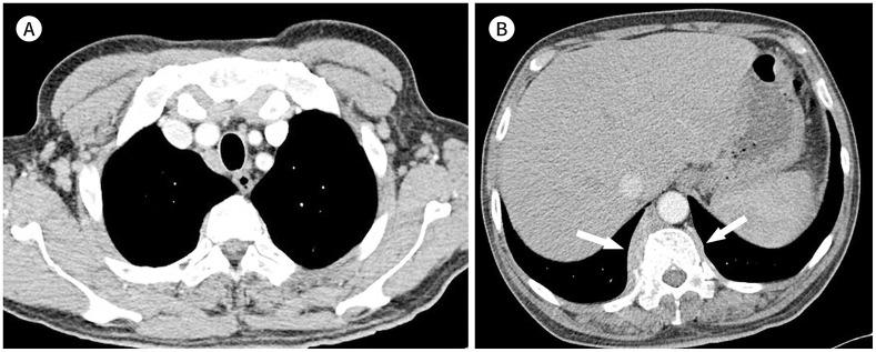
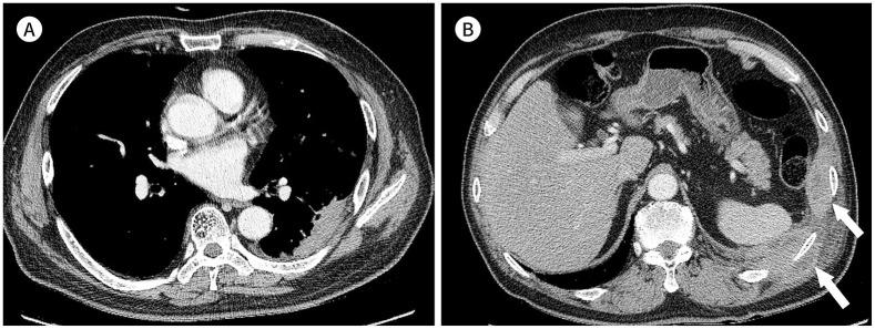
Immunoglobulin G4-related disease (IgG4-RD) is a chronic inflammatory condition involving multiple organs, including the salivary or lacrimal glands, orbit, pancreas, bile duct, liver, kidney, retroperitoneum, aorta, lung, and lymph nodes. It is histologically characterized by tissue infiltration with lymphocytes and IgG4-secreting plasma cells, storiform fibrosis, and obliterative phlebitis. In the thoracic involvement of IgG4-RD, mediastinal lymphadenopathy and perilymphangitic interstitial thickening of the lung are the most common findings. Peribronchovascular and septal thickening and paravertebral band-like soft tissue are characteristic findings of IgG4-RD. Other findings include pulmonary nodules or masses, ground-glass opacity, alveolar interstitial thickening, pleural effusion or thickening, mass in the chest wall or mediastinum, and arteritis involving the aorta and coronary artery. Radiologic differential diagnosis of various malignancies, infections, and inflammatory conditions is needed. In this review, we describe the imaging findings of IgG4-RD and the radiologic differential diagnoses in the thorax.

摘要

免疫球蛋白G4相关性疾病(IgG4-RD)是一种累及多个器官的慢性炎症性疾病,这些器官包括唾液腺或泪腺、眼眶、胰腺、胆管、肝脏、肾脏、腹膜后、主动脉、肺和淋巴结。其组织学特征为淋巴细胞和分泌IgG4的浆细胞浸润组织、席纹状纤维化和闭塞性静脉炎。在IgG4-RD累及胸部时,纵隔淋巴结肿大和肺淋巴管周围间质增厚是最常见的表现。支气管血管周围和小叶间隔增厚以及椎旁带状软组织是IgG4-RD的特征性表现。其他表现包括肺结节或肿块、磨玻璃影、肺泡间质增厚、胸腔积液或增厚、胸壁或纵隔肿块以及累及主动脉和冠状动脉的动脉炎。需要对各种恶性肿瘤、感染和炎症性疾病进行影像学鉴别诊断。在本综述中,我们描述了IgG4-RD的影像学表现以及胸部的影像学鉴别诊断。

https://cdn.ncbi.nlm.nih.gov/pmc/blobs/92b4/9514412/67250d74c6a1/jksr-82-826-g001.jpg

文献AI研究员

20分钟写一篇综述,助力文献阅读效率提升50倍。

立即体验

用中文搜PubMed

大模型驱动的PubMed中文搜索引擎

马上搜索

文档翻译

学术文献翻译模型,支持多种主流文档格式。

立即体验