Suppr超能文献

直接雷击后的神经元沙漠化:一例报告。

Neuronal desertification after a direct lightning strike: a case report.

机构信息

Department of Surgical Medical and Health Sciences, University of Trieste, Trieste, Italy.

Department of Anesthesia and Intensive Care, Integrated University Health Authority of Trieste, Trieste, Italy.

出版信息

J Med Case Rep. 2022 Oct 21;16(1):391. doi: 10.1186/s13256-022-03500-w.

Abstract

BACKGROUND

Lightning strike is a rare but dramatic cause of injury. Patients admitted to intensive care units (ICUs) with lightning strike frequently have a high mortality and significant long-term morbidity related to a direct brain injury or induced cardiac arrest (CA).

CASE PRESENTATION

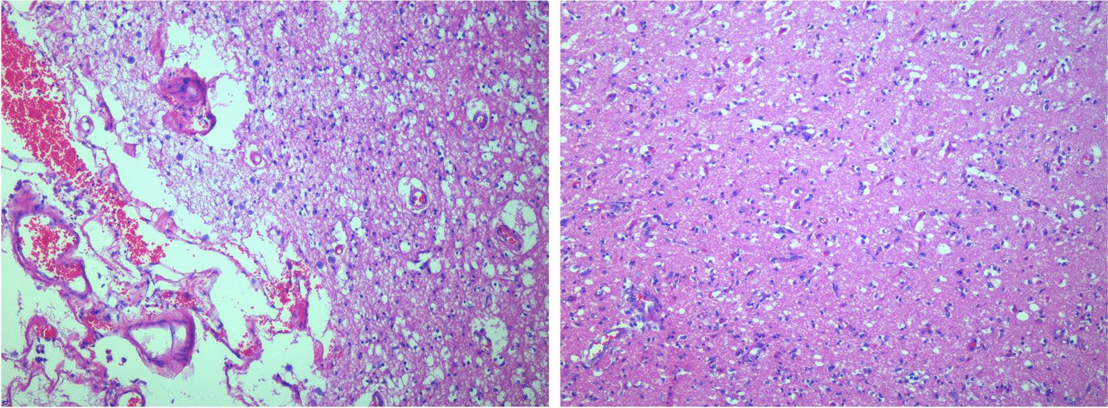
A 50-year-old Caucasian man was admitted to our hospital after being struck by lightning resulting in immediate CA. Spontaneous circulation was initially restored, and the man was admitted to the ICU, but ultimately died while in hospital due to neurological injury. The computer tomography scan revealed a massive loss of grey-white matter differentiation at the fronto-temporal lobes bilaterally. Somatosensory-evoked potentials demonstrated bilateral absence of the cortical somatosensory N20-potential, and the electroencephalogram recorded minimal cerebral electrical activity. The patient died on day 10 and a post-mortem study revealed a widespread loss of neurons.

CONCLUSION

This case study illustrates severe brain injury caused by a direct lighting strike, with the patient presenting an extraordinary microscopic pattern of neuronal desertification.

摘要

背景

闪电袭击是一种罕见但极具戏剧性的伤害原因。因闪电袭击而被送往重症监护病房(ICU)的患者通常死亡率较高,并且与直接脑损伤或诱发的心脏骤停(CA)相关的长期发病率显著。

病例介绍

一名 50 岁的白人男性被闪电击中后被送往我院,导致其立即发生 CA。最初恢复了自主循环,该男子被收治到 ICU,但最终因神经损伤而在住院期间死亡。计算机断层扫描显示双侧额颞叶的灰白质分界大面积丧失。体感诱发电位显示双侧皮质体感 N20 电位缺失,脑电图记录到最小的脑电活动。患者于第 10 天死亡,尸检显示广泛的神经元缺失。

结论

本病例研究说明了直接闪电袭击引起的严重脑损伤,患者呈现出非同寻常的神经元荒漠样微观模式。

https://cdn.ncbi.nlm.nih.gov/pmc/blobs/77fa/9585841/c60c0a4f5ea2/13256_2022_3500_Fig1_HTML.jpg

文献AI研究员

20分钟写一篇综述,助力文献阅读效率提升50倍。

立即体验

用中文搜PubMed

大模型驱动的PubMed中文搜索引擎

马上搜索

文档翻译

学术文献翻译模型,支持多种主流文档格式。

立即体验