Suppr超能文献

种皮的解剖结构包含番樱桃亚族(桃金娘科,桃金娘族)中的鉴别特征。

The anatomy of the seed-coat includes diagnostic characters in the subtribe Eugeniinae (Myrteae, Myrtaceae).

作者信息

Sbais Patricia Gonçalves, Machado Nayara Carreira, Valdemarin Karinne Sampaio, Thadeo Marcela, Mazine Fiorella Fernanda, Mourão Káthia Socorro Mathias

机构信息

Programa de Pós-graduação em Biologia Comparada, Universidade Estadual de Maringá (UEM), Centro de Ciências Biológicas, Maringá, Brazil.

Programa de Pós-graduação em Biologia Vegetal, Instituto de Biologia, Universidade Estadual de Campinas (UNICAMP), Campinas, Brazil.

出版信息

Front Plant Sci. 2022 Oct 5;13:981884. doi: 10.3389/fpls.2022.981884. eCollection 2022.

Abstract

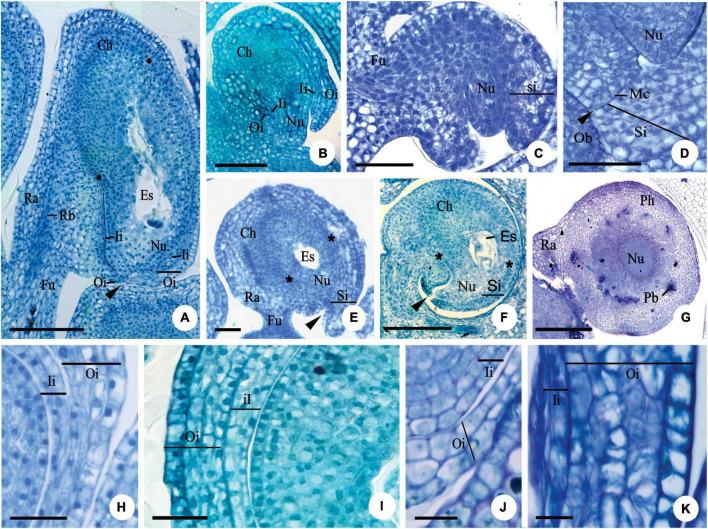
The subtribe Eugeniinae comprises of two genera, (ca. 1,100 species) and (ca. 40 species). is the largest genus of neotropical Myrtaceae and its latest classification proposes 11 sections. This study describes the seed anatomy of forty-one species of Eugeniinae in order to provide possible diagnostic characteristics. Following standard anatomical techniques, flower buds, flowers, and fruits were processed and analyzed using microtome sections and light microscopy. The phylogeny used the regions ITS, , and , following recent studies in the group. Ancestral character reconstruction uncovered that: (1) the ancestral ovule in Eugeniinae was campylotropous (98.9% probability), bitegmic (98.5% probability), and unitegmic ovules arose on more than one lineage independently within ; (2) the pachychalazal seed-coat appeared with a 92% probability of being the ancestral type; (3) non-lignified seed-coat (24,5% probability) and aerenchymatous mesotesta (45.8% probability) are diagnostic characters in (aerenchymatous mesotesta present in the developing seed-coat) and in the species of sect. until the species of sect. and it is the type of seed-coat that predominates in most basal sections on the tree; (4) the partial sclerification (only in the exotesta-exotestal seed-coat) is mainly observed in species of sect. . sect. (group X), and . sect. (22.2% probability); (5) and in the species of the recent lineages of , with a probability of 27.2%, predominate the exomesotestal or testal construction of the seed-coat [character observed in almost all species analyzed of . sect. (group Y) and . sect. ]. A dehiscent fruit is considered as a plesiomorphic state in Myrtaceae; the ancestor of this family had seeds with a completely sclerified testa, and the other testa types described for the current species with dehiscent and indehiscent fruits are simplified versions of this ancestral type. Perhaps, this means that the sclerified layers in the seed-coat have remained in whole or in part as a plesiomorphic condition for taxa with a capsule and bacca. Maintaining the plesiomorphic condition may have represented a selective advantage at some point in the evolutionary history of the family and its groups.

摘要

番樱桃亚族由两个属组成,(约1100种)和(约40种)。是新热带桃金娘科中最大的属,其最新分类提出了11个组。本研究描述了41种番樱桃亚族植物的种子解剖结构,以提供可能的诊断特征。按照标准解剖技术,对花芽、花和果实进行处理,并使用切片机切片和光学显微镜进行分析。系统发育分析采用了ITS、和区域,遵循该类群最近的研究。祖先性状重建发现:(1)番樱桃亚族的祖先胚珠是弯生的(概率为98.9%),具双珠被(概率为98.5%),单珠被胚珠在中独立地出现在多个谱系上;(2)厚珠心种皮出现的概率为92%,是祖先类型;(3)非木质化种皮(概率为24.5%)和通气组织中种皮(概率为45.8%)是和组植物(发育中的种皮中存在通气组织中种皮)以及组直到组植物的诊断特征,并且它是该属树木大多数基部组中占主导地位的种皮类型;(4)部分硬化(仅在外种皮-外种皮种皮中)主要在组植物中观察到。组(X组)和组(概率为22.2%);(5)在的最近谱系的植物中,种皮的外中种皮或种皮结构占主导地位的概率为27.2%[在组(Y组)和组几乎所有分析的物种中都观察到了这一特征]。在桃金娘科中,开裂果实被认为是一个近祖性状状态;该科的祖先种子具有完全硬化的种皮,目前描述的具有开裂和不开裂果实的物种的其他种皮类型是这种祖先类型的简化版本。也许,这意味着种皮中的硬化层在具有蒴果和浆果的类群中全部或部分保留为近祖性状状态。在该科及其类群的进化历史的某个时刻,维持近祖性状状态可能代表了一种选择优势。

https://cdn.ncbi.nlm.nih.gov/pmc/blobs/dc45/9580042/f0a6b29e33b8/fpls-13-981884-g001.jpg

文献AI研究员

20分钟写一篇综述,助力文献阅读效率提升50倍。

立即体验

用中文搜PubMed

大模型驱动的PubMed中文搜索引擎

马上搜索

文档翻译

学术文献翻译模型,支持多种主流文档格式。

立即体验