Suppr超能文献

眼睑原发性上皮样血管内皮瘤:一例报告

Primary epithelioid hemangioendothelioma of the eyelid: A case report.

作者信息

Chen Lijiang, Han Feng, Yang Junjie, Huang Bin, Liu Hongsheng

机构信息

Department of Pathology, The First People's Hospital of Xiaoshan District, Hangzhou, Zhejiang 311200, P.R. China.

Department of Pathology, The Third People's Hospital of Xiaoshan District, Hangzhou, Zhejiang 311200, P.R. China.

出版信息

Oncol Lett. 2022 Sep 21;24(5):398. doi: 10.3892/ol.2022.13518. eCollection 2022 Nov.

Abstract

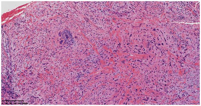
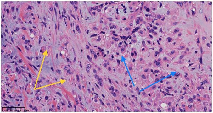
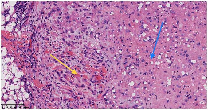
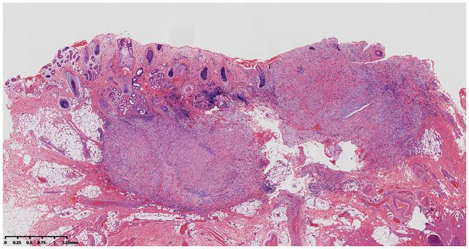
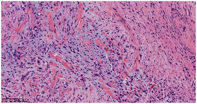
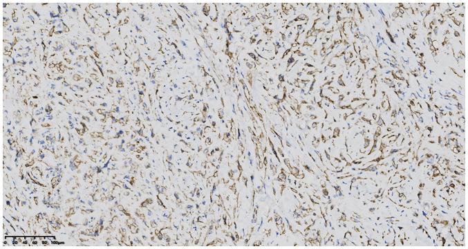
Eyelid epithelioid hemangioendothelioma (EHE) is uncommon. The present study reports the clinical, histopathological and immunohistochemical characteristics of a 10-year-old girl with EHE and reviews the related literature. The patient was admitted with a painless red mass on the left eyelid, which had been present for 6 months. Under the microscope, tumor cells from the surgical specimen were composed of epithelioid cells (70%) and spindle cells (30%). The cytoplasm was eosinophilic, and some areas of the cytoplasm showed signet ring-like or vacuolization changes. The presence of red blood cells could be seen in the luminal part of the primary blood vessel. Immunohistochemical results showed that the tumor cells were positive for CD34 and CD31, and the Ki-67 proliferation index was 3%. As the first resection margin was positive, recurrence occurred 3 months after surgery, Therefore, patients with such tumors should undergo full resections to ensure a negative margin to prevent recurrence.

摘要

眼睑上皮样血管内皮瘤(EHE)并不常见。本研究报告了一名患有EHE的10岁女孩的临床、组织病理学和免疫组化特征,并回顾了相关文献。该患者因左侧眼睑无痛性红色肿物入院,肿物已存在6个月。显微镜下,手术标本中的肿瘤细胞由上皮样细胞(70%)和梭形细胞(30%)组成。细胞质呈嗜酸性,部分细胞质区域呈印戒样或空泡样改变。在主要血管的管腔内可见红细胞。免疫组化结果显示肿瘤细胞CD34和CD31呈阳性,Ki-67增殖指数为3%。由于首次切除切缘阳性,术后3个月复发,因此,此类肿瘤患者应进行完整切除以确保切缘阴性,防止复发。

https://cdn.ncbi.nlm.nih.gov/pmc/blobs/6b58/9533656/da87e725eb90/ol-24-05-13518-g00.jpg

文献AI研究员

20分钟写一篇综述,助力文献阅读效率提升50倍。

立即体验

用中文搜PubMed

大模型驱动的PubMed中文搜索引擎

马上搜索

文档翻译

学术文献翻译模型,支持多种主流文档格式。

立即体验