Suppr超能文献

克朗凯特-加拿大综合征:一例伴有外胚层改变的慢性腹泻罕见病例。

Cronkhite-Canada Syndrome: A Rare Case of Chronic Diarrhea With Ectodermal Changes.

作者信息

Chaisidhivej Natapat, Maneerattanaporn Monthira, Pongpaibul Ananya, Trongtorsak Angkawipa, Kinnucan Jami

机构信息

Department of Medicine, Einstein Medical Center Philadelphia, Jefferson Health, Philadelphia, USA.

Division of Gastroenterology, Department of Medicine, Faculty of Medicine Siriraj Hospital, Mahidol University, Bangkok, THA.

出版信息

Cureus. 2022 Sep 18;14(9):e29298. doi: 10.7759/cureus.29298. eCollection 2022 Sep.

Abstract

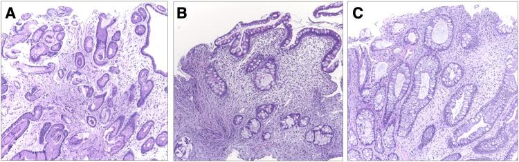
Cronkhite-Canada syndrome (CCS) is a rare cause of chronic diarrhea and malabsorption where patients develop multiple polyps throughout the gastrointestinal (GI) tract, accompanied by ectodermal changes. Due to its rarity, early detection and diagnosis are challenging for physicians, inevitably leading to high mortality. CCS patients have a higher prevalence of GI cancer compared to the general population. Therefore, a follow-up endoscopy is necessary. We report a new case of CCS in an 85-year-old male who presented with chronic watery diarrhea, weight loss, and skin changes including alopecia, nail dystrophy, and hyperpigmentation. Laboratory results showed anemia and hypoalbuminemia. He underwent an endoscopy that found diffuse edematous polyposis in the stomach, duodenum, terminal ileum, and large intestine. The biopsy result confirmed the diagnosis of CCS. The patient received supportive treatment with total parenteral nutrition with improvement in his symptoms. He was placed on corticosteroid taper and azathioprine upon discharge. At the one-year follow-up, he was found in endoscopic remission.

摘要

克朗凯特-加拿大综合征(CCS)是慢性腹泻和吸收不良的一种罕见病因,患者会在整个胃肠道出现多发性息肉,并伴有外胚层改变。由于其罕见性,医生很难做到早期发现和诊断,这不可避免地导致了高死亡率。与普通人群相比,CCS患者患胃肠道癌症的几率更高。因此,进行随访内镜检查很有必要。我们报告了一例85岁男性CCS新病例,该患者表现为慢性水样腹泻、体重减轻以及包括脱发、指甲营养不良和色素沉着在内的皮肤改变。实验室检查结果显示贫血和低白蛋白血症。他接受了内镜检查,发现胃、十二指肠、回肠末端和大肠存在弥漫性水肿性息肉病。活检结果确诊为CCS。患者接受了全胃肠外营养支持治疗,症状有所改善。出院时给他使用了逐渐减量的皮质类固醇和硫唑嘌呤。在一年的随访中,发现他在内镜检查中处于缓解状态。

https://cdn.ncbi.nlm.nih.gov/pmc/blobs/f8cd/9578680/e18aa4ba4e92/cureus-0014-00000029298-i01.jpg

文献AI研究员

20分钟写一篇综述,助力文献阅读效率提升50倍。

立即体验

用中文搜PubMed

大模型驱动的PubMed中文搜索引擎

马上搜索

文档翻译

学术文献翻译模型,支持多种主流文档格式。

立即体验