Suppr超能文献

婴儿期至青春期克氏综合征患儿的睾丸微石症:睾丸退行性变过程的早期开始——初步结果。

Testicular microlithiasis in paediatric patients with Klinefelter syndrome from infancy till adolescence: early start of degenerative process in the testes-preliminary results.

机构信息

Department of Paediatric and Adolescent Endocrinology, Chair of Paediatrics, Institute of Paediatrics, Jagiellonian University Medical College, Wielicka St. 265, 30-663, Krakow, Poland.

Department of Paediatric and Adolescent Endocrinology, University Children's Hospital, Krakow, Poland.

出版信息

Eur J Pediatr. 2023 Jan;182(1):225-235. doi: 10.1007/s00431-022-04663-w. Epub 2022 Oct 25.

Abstract

UNLABELLED

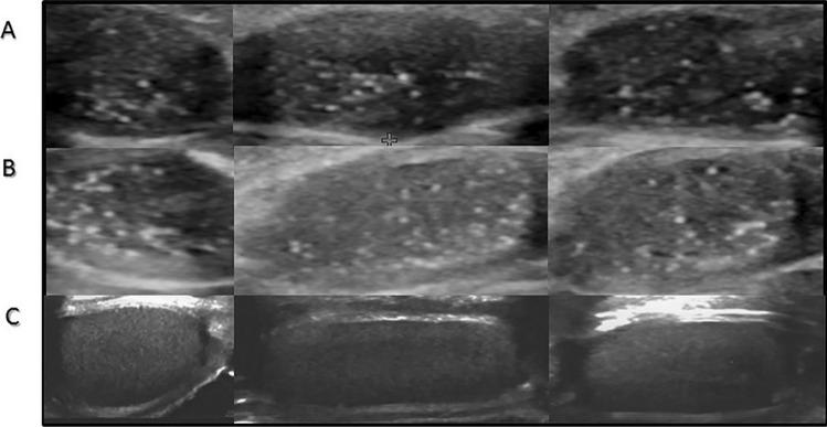
To present the results of testicular ultrasonography supported by clinical and hormonal aspects in paediatric patients with Klinefelter syndrome (KS). Prospective analysis of medical files of 20 patients diagnosed with KS between 2016 and 2022. Assessed data included analysis of causes of referral, ultrasound, and clinical characterisation with hormonal evaluation of serum FSH, LH, testosterone, inhibin B, and anti-Müllerian hormone. Non-mosaic Klinefelter syndrome (47, XXY) was diagnosed in 65% of cases (13/20) by the geneticist (including 7 cases prenatally), in 25% (5/20) by the endocrinologist and in 10% (2/20) by the hematologist. Ultrasound assessment revealed bilateral testicular microlithiasis (TM) in all patients. The youngest KS patient with TM was 3 months old. TM patterns have not changed during follow-ups of up to 6 years in any of the patients. In all KS patients markedly reduced echogenicity and in pubertal KS patients, also irregular echostructure of the testes was observed. The hormonal patterns observed in the study group were typical for those already described in KS. Sertoli and Leydig cell function was intact in prepubertal patients and deteriorated after the start of puberty.

CONCLUSION

Although the degenerative process in the testicular tissue starts very early in the testes in KS and is reflected in morphological changes seen in ultrasonography, Sertoli and Leydig cell hormonal function is normal in prepubertal KS patients.

WHAT IS KNOWN

• So far, normal Leydig and Sertoli cell function was observed in infants and prepubertal KS patients.

WHAT IS NEW

• The morphological changes in the testes in KS may already be seen in early infancy.

摘要

目的

介绍伴有临床和激素表现的儿童克氏综合征(KS)患者的睾丸超声结果。

方法

对 2016 年至 2022 年间诊断为 KS 的 20 例患者的病历进行前瞻性分析。评估的数据包括转介原因分析、超声检查以及血清 FSH、LH、睾酮、抑制素 B 和抗苗勒管激素的激素评估的临床特征。遗传学家诊断出非嵌合型克氏综合征(47,XXY)占 65%(13/20),包括 7 例产前病例,内分泌学家诊断出 25%(5/20),血液学家诊断出 10%(2/20)。所有患者的双侧睾丸微石症(TM)均经超声检查证实。最小的 KS 伴 TM 患者仅 3 个月大。在任何患者的长达 6 年的随访中,TM 模式均未发生变化。所有 KS 患者的睾丸回声均明显降低,青春期 KS 患者的睾丸回声结构也不规则。研究组观察到的激素模式与 KS 中已描述的典型模式一致。青春期前患者的支持细胞和间质细胞功能完整,青春期后功能下降。

结论

尽管 KS 睾丸组织中的退行性过程在睾丸中很早就开始,并反映在超声检查所见的形态变化中,但青春期前 KS 患者的支持细胞和间质细胞的激素功能正常。

已知情况

• 迄今为止,在婴儿和青春期前 KS 患者中观察到正常的间质细胞和支持细胞功能。

新发现

• KS 睾丸中的形态变化可能在婴儿期早期就已经出现。

https://cdn.ncbi.nlm.nih.gov/pmc/blobs/2e22/9829623/75a19327b6b7/431_2022_4663_Fig1_HTML.jpg

文献AI研究员

20分钟写一篇综述,助力文献阅读效率提升50倍。

立即体验

用中文搜PubMed

大模型驱动的PubMed中文搜索引擎

马上搜索

文档翻译

学术文献翻译模型,支持多种主流文档格式。

立即体验