Suppr超能文献

侧卧位腹腔镜手术后臀肌间室综合征:一例报告

Gluteal compartment syndrome after laparoscopic surgery in lateral jackknife position: a case report.

作者信息

Watabe Daisuke, Nishino Tomofumi, Mishima Hajime, Yamazaki Masashi

机构信息

Department of Orthopaedic Surgery, Faculty of Medicine, University of Tsukuba, Tsukuba, Ibaraki, Japan.

Department of Orthopaedic Surgery, Ichihara Hospital, Tsukuba, Ibaraki, Japan.

出版信息

J Surg Case Rep. 2022 Oct 19;2022(10):rjac477. doi: 10.1093/jscr/rjac477. eCollection 2022 Oct.

Abstract

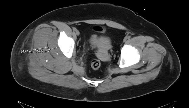
We present a case of a 42-year-old obese female with a body mass index of 38.4 kg/m. Laparoscopic tumor resection of a left nonfunctioning adrenal tumor was performed in the lateral jackknife position, and the operative time was over 5 h. After awakening, she complained right buttock pain, and we suspected bursitis due to the surgical position and decided to follow up the patient. On the second postoperative day, spontaneous pain worsened, and the computed tomography scan of the hip showed significant swelling of the gluteal muscles, which led us to suspect a gluteal compartment syndrome. Intramuscular compartment pressure was measured under general anesthesia at 72 mmHg, and a fasciotomy was performed. The symptoms improved promptly after surgery and completely disappeared 2 months after surgery. Although the gluteal compartment syndrome is a rare condition in which circulation is impaired by compression of the gluteal muscles, treatment should be initiated promptly before serious complications arise.

摘要

我们报告一例42岁肥胖女性病例,其体重指数为38.4kg/m²。在侧卧位折刀位进行了左侧无功能肾上腺肿瘤的腹腔镜肿瘤切除术,手术时间超过5小时。苏醒后,她主诉右臀部疼痛,我们怀疑是手术体位导致的滑囊炎,并决定对患者进行随访。术后第二天,自发疼痛加剧,髋部计算机断层扫描显示臀肌明显肿胀,这使我们怀疑是臀肌间室综合征。在全身麻醉下测量肌间室压力为72mmHg,并进行了筋膜切开术。术后症状迅速改善,术后2个月完全消失。尽管臀肌间室综合征是一种罕见的疾病,因臀肌受压导致循环受损,但应在严重并发症出现之前及时开始治疗。

https://cdn.ncbi.nlm.nih.gov/pmc/blobs/e1bc/9581502/b3ec120b916f/rjac477f1.jpg

文献AI研究员

20分钟写一篇综述,助力文献阅读效率提升50倍。

立即体验

用中文搜PubMed

大模型驱动的PubMed中文搜索引擎

马上搜索

文档翻译

学术文献翻译模型,支持多种主流文档格式。

立即体验