Suppr超能文献

皮肤白细胞碎裂性血管病:术语和发病机制综述。

Livedoid vasculopathy: A review with focus on terminology and pathogenesis.

机构信息

Department of Medicine, Division of Hematology, University of North Carolina School of Medicine, Chapel Hill, NC, USA.

Department of Dermatology, University of North Carolina School of Medicine, Chapel Hill, NC, USA.

出版信息

Vasc Med. 2022 Dec;27(6):593-603. doi: 10.1177/1358863X221130380. Epub 2022 Oct 26.

Abstract

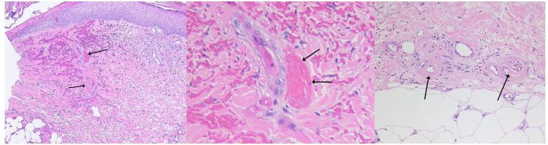
Livedoid vasculopathy (LV) is a rare thrombotic vasculopathy of the dermis characterized by painful, relapsing ulcers over the lower extremities. Diagnosis is challenging due to the overlap in clinical appearance and nomenclature with other skin disorders. Treatment selection is complicated by poor understanding of the pathogenesis of LV and lack of robust clinical trials evaluating therapy efficacy. The terminology and pathophysiology of LV are reviewed here, along with its epidemiology, clinical and histologic features, and treatment options. A diagnostic pathway is suggested to guide providers in evaluating for comorbidities, referring to appropriate specialists, and choosing from the available classes of therapy.

摘要

皮肤白细胞碎裂性血管病(LV)是一种罕见的真皮血栓性血管病,其特征是下肢出现疼痛性、复发性溃疡。由于其临床表现和命名与其他皮肤疾病重叠,因此诊断具有挑战性。由于对 LV 发病机制的了解不足以及缺乏评估治疗效果的稳健临床试验,治疗选择也很复杂。本文回顾了 LV 的术语和病理生理学,以及其流行病学、临床和组织学特征和治疗选择。提出了一种诊断途径,以指导提供者评估合并症、转介给适当的专家,并从可用的治疗类别中进行选择。

https://cdn.ncbi.nlm.nih.gov/pmc/blobs/f43c/9732787/42b9039a2206/10.1177_1358863X221130380-fig1.jpg

相似文献

1
Livedoid vasculopathy: A review with focus on terminology and pathogenesis.
Vasc Med. 2022 Dec;27(6):593-603. doi: 10.1177/1358863X221130380. Epub 2022 Oct 26.
2
A comprehensive review on pathogenesis, associations, clinical findings, and treatment of livedoid vasculopathy.
Front Med (Lausanne). 2022 Dec 8;9:993515. doi: 10.3389/fmed.2022.993515. eCollection 2022.
3
Livedoid vasculopathy - A diagnostic and therapeutic challenge.
Front Med (Lausanne). 2022 Oct 3;9:1012178. doi: 10.3389/fmed.2022.1012178. eCollection 2022.
4
Livedoid vasculopathy: an in-depth analysis using a modified Delphi approach.
J Am Acad Dermatol. 2013 Dec;69(6):1033-1042.e1. doi: 10.1016/j.jaad.2013.07.019. Epub 2013 Sep 9.
5
Dermoscopic features of livedoid vasculopathy.
Medicine (Baltimore). 2017 Mar;96(11):e6284. doi: 10.1097/MD.0000000000006284.
6
Livedoid vasculopathy and recurrent thrombosis in a patient with lupus: seronegative antiphospholipid syndrome?
Lupus. 2010 Oct;19(11):1340-3. doi: 10.1177/0961203310373783. Epub 2010 Jul 21.
7
Penile Livedoid Vasculopathy: First Reported Case.
Case Rep Vasc Med. 2023 Jul 4;2023:6920383. doi: 10.1155/2023/6920383. eCollection 2023.
8
Pain Management Options in a Patient with Livedoid Vasculopathy and Peripheral Neuropathy.
Eur J Case Rep Intern Med. 2023 Jan 30;10(1):003727. doi: 10.12890/2023_003727. eCollection 2023.
10
Efficacy of new low-dose oral anticoagulants in recalcitrant livedoid vasculopathy.
BMJ Case Rep. 2017 Jul 24;2017:bcr-2017-219943. doi: 10.1136/bcr-2017-219943.

引用本文的文献

1
Successful healing of a chronic ulcer in livedoid vasculopathy using PuraPly: A case report.
JAAD Case Rep. 2025 Jun 28;63:158-161. doi: 10.1016/j.jdcr.2025.06.026. eCollection 2025 Sep.
2
A case report and literature review of livedoid vasculopathy in children.
Front Pediatr. 2025 May 14;13:1537133. doi: 10.3389/fped.2025.1537133. eCollection 2025.
4
Livedoid vasculopathy in hemoglobinopathy-associated chronic leg ulcers.
Ann Hematol. 2024 Dec;103(12):5235-5239. doi: 10.1007/s00277-024-06112-0. Epub 2024 Dec 7.
5
Identification of Challenging Diagnostic Factors in Livedoid Vasculopathy: A Retrospective Study.
Clin Cosmet Investig Dermatol. 2024 Aug 2;17:1747-1756. doi: 10.2147/CCID.S466449. eCollection 2024.
6
The muscle pump activator device: From evidence to lived experiences.
Int Wound J. 2024 Aug;21(8):e14949. doi: 10.1111/iwj.14949.
7
Anti-Interleukin 17A Biologic Therapy Attempts on Livedoid Vasculopathy: A Report of Case Series.
Clin Cosmet Investig Dermatol. 2024 May 9;17:1043-1048. doi: 10.2147/CCID.S455903. eCollection 2024.
8
Dermatologic manifestations of hematologic disorders.
Ann Hematol. 2024 Oct;103(10):3889-3903. doi: 10.1007/s00277-024-05761-5. Epub 2024 Apr 25.
9
The potential role of tumor necrosis factor-α in thrombosis in livedoid vasculopathy.
Arch Dermatol Res. 2024 Apr 18;316(5):124. doi: 10.1007/s00403-024-02857-w.
10
Healing refractory livedoid vasculopathy-related skin ulcers by ozone therapy: a case-based review.
Rheumatol Int. 2024 Feb;44(2):369-377. doi: 10.1007/s00296-023-05504-1. Epub 2023 Nov 24.

本文引用的文献

1
Vascular Disease Patient Information Page: Livedoid vasculopathy.
Vasc Med. 2022 Dec;27(6):609-612. doi: 10.1177/1358863X221128620. Epub 2022 Oct 26.
2
Hydroxyurea and fetal hemoglobin effect on leg ulcers in patients with sickle cell disease.
Ann Hematol. 2022 Mar;101(3):541-548. doi: 10.1007/s00277-021-04635-4. Epub 2022 Jan 18.
4
Raynaud's phenomenon and related vasospastic disorders.
Vasc Med. 2021 Feb;26(1):56-70. doi: 10.1177/1358863X20983455.
5
Recrudescence of livedoid vasculopathy induced by COVID-19.
Int J Dermatol. 2021 May;60(5):e185-e187. doi: 10.1111/ijd.15423. Epub 2021 Feb 2.
7
Sickle Cell Disease.
Ann Intern Med. 2021 Jan;174(1):ITC1-ITC16. doi: 10.7326/AITC202101190. Epub 2021 Jan 12.
8
Refractory ulcerations associated with livedoid vasculopathy successfully treated with tofacitinib.
Dermatol Ther. 2020 Nov;33(6):e14470. doi: 10.1111/dth.14470. Epub 2020 Nov 16.
9
Plasminogen activator inhibitor-1: a potential etiological role in livedoid vasculopathy.
Int Wound J. 2020 Dec;17(6):1902-1908. doi: 10.1111/iwj.13480. Epub 2020 Oct 11.
10
Direct immunofluorescence findings in livedoid vasculopathy: a 10-year study and literature review.
Clin Exp Dermatol. 2021 Apr;46(3):525-531. doi: 10.1111/ced.14464. Epub 2020 Oct 17.

文献AI研究员

20分钟写一篇综述,助力文献阅读效率提升50倍。

立即体验

用中文搜PubMed

大模型驱动的PubMed中文搜索引擎

马上搜索

文档翻译

学术文献翻译模型,支持多种主流文档格式。

立即体验