Suppr超能文献

肌肉减少症作为儿童慢性肝病患者预后预测指标的研究视角

Perspectives on Sarcopenia as a Predictor for Outcomes in Pediatric Patients with Chronic Liver Disease.

作者信息

Chen Connie, Ayers Mary, Squires Judy H, Squires James E

机构信息

Division of Gastroenterology, Hepatology and Nutrition, UPMC Children's Hospital of Pittsburgh, Pittsburgh, PA, USA.

Department of Radiology, UPMC Children's Hospital of Pittsburgh, Pittsburgh, PA, USA.

出版信息

Hepat Med. 2022 Oct 26;14:173-183. doi: 10.2147/HMER.S348888. eCollection 2022.

Abstract

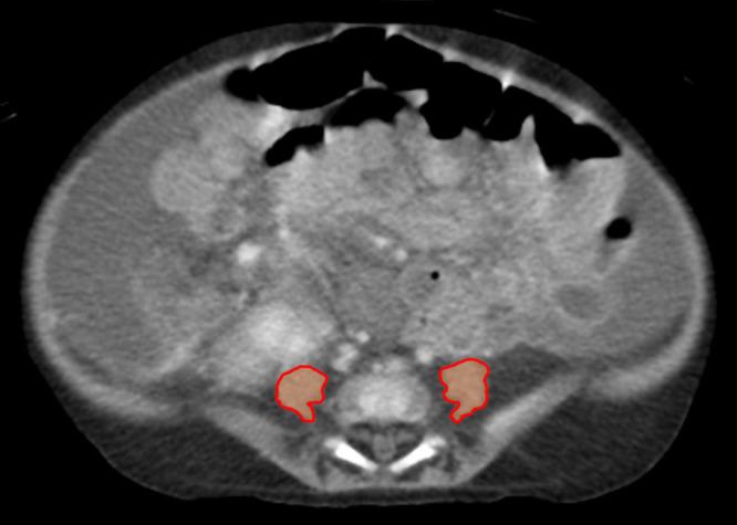
Sarcopenia, a pathologic deficiency of muscle mass and function, has emerged as an important secondary feature of many chronic disease states. For adults with end stage liver disease, there are multiple mechanisms which contribute to sarcopenia and its presence has proven to be an important predictor of morbidity and mortality. In children, there are only a limited number of reports which investigate the role of sarcopenia in liver disease. These studies, which are discussed and summarized in this review, report small, single-center analyses with dissimilar study cohorts and varying clinical definitions. Still, children meeting the study entry criteria have sarcopenia with a reported prevalence of 24-70%. When assessed, sarcopenia appears to be associated with more severe disease but is independent of the Pediatric End-Stage Liver Disease (PELD) score and does not correlate with age, gender, or traditional anthropometric measures such as weight, height, weight-for-height, or body mass index (BMI). While individual studies may identify sarcopenia as a statistically significant risk factor for certain post-transplant outcomes such as longer ICU stay, longer duration of intubation, repeat operation, development of serious infection, longer hospital stay, death, or long-term growth failure, such associations are not consistently replicated across studies. Finally, although various methods of muscle mass quantification are utilized, the most reported is the total psoas muscle surface area (tPMSA) on computed tomography. This method, along with others such as skeletal muscle area and skeletal muscle index, have had normative values recently defined and these collective efforts should enable researchers a common basis of comparison when delineating sarcopenia, and its impact, across various study populations in future investigations - including in children with liver disease.

摘要

肌肉减少症是一种肌肉质量和功能的病理性缺乏,已成为许多慢性疾病状态的重要次要特征。对于终末期肝病成人患者,有多种机制导致肌肉减少症,其存在已被证明是发病率和死亡率的重要预测指标。在儿童中,仅有有限数量的报告研究了肌肉减少症在肝病中的作用。本综述中讨论并总结的这些研究报告了小型单中心分析,研究队列不同,临床定义也各异。尽管如此,符合研究纳入标准的儿童存在肌肉减少症,报告的患病率为24%至70%。经评估,肌肉减少症似乎与更严重的疾病相关,但与儿童终末期肝病(PELD)评分无关,且与年龄、性别或传统人体测量指标如体重、身高、身高体重比或体重指数(BMI)均无关联。虽然个别研究可能将肌肉减少症确定为某些移植后结局的统计学显著风险因素,如重症监护病房(ICU)停留时间延长、插管时间延长、再次手术、发生严重感染、住院时间延长、死亡或长期生长发育不良,但这些关联在不同研究中并未得到一致重复。最后,尽管采用了各种肌肉质量量化方法,但报道最多的是计算机断层扫描上的腰大肌总面积(tPMSA)。这种方法以及其他方法如骨骼肌面积和骨骼肌指数,最近都有了规范值,这些共同努力应能使研究人员在未来研究中,包括在肝病儿童中,在界定肌肉减少症及其影响时,有一个共同的比较基础。

https://cdn.ncbi.nlm.nih.gov/pmc/blobs/f6d3/9618237/1c2f9b627a29/HMER-14-173-g0001.jpg

文献AI研究员

20分钟写一篇综述,助力文献阅读效率提升50倍。

立即体验

用中文搜PubMed

大模型驱动的PubMed中文搜索引擎

马上搜索

文档翻译

学术文献翻译模型,支持多种主流文档格式。

立即体验