Suppr超能文献

进一步描述 NFIB 相关表型:两例新病例报告。

Further characterization of NFIB-associated phenotypes: Report of two new individuals.

机构信息

Department of Developmental Neuroscience, IRCCS Stella Maris Foundation, Calambrone, Pisa, Italy.

Department of Clinical and Experimental Medicine, University of Pisa, Pisa, Pisa, Italy.

出版信息

Am J Med Genet A. 2023 Feb;191(2):540-545. doi: 10.1002/ajmg.a.63018. Epub 2022 Nov 2.

Abstract

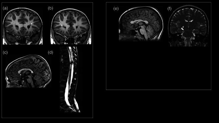
Nuclear Factor I B (NFIB) haploinsufficiency has recently been identified as a cause of intellectual disability (ID) and macrocephaly. Here we report on two new individuals carrying a microdeletion in the chromosomal region 9p23-p22.3 containing NFIB. The first is a 7-year 9-month old boy with developmental delays, ID, definite facial anomalies, and brain and spinal cord magnetic resonance imaging findings including periventricular nodular heterotopia, hypoplasia of the corpus callosum, arachnoid cyst in the left middle cranial fossa, syringomyelia in the thoracic spinal cord and distal tract of the conus medullaris, and a stretched appearance of the filum terminale. The second is a 32-year-old lady (the proband' mother) with dysmorphic features, and a history of learning disability, hypothyroidism, poor growth, left inguinal hernia, and panic attacks. Her brain magnetic resonance imaging findings include a dysmorphic corpus callosum, and a small cyst in the left choroidal fissure that marks the hippocampal head. Array-based comparative genomic hybridization identified, in both, a 232 Kb interstitial deletion at 9p23p22.3 including several exons of NFIB and no other known genes. Our two individuals add to the knowledge of this rare disorder through the addition of new brain and spinal cord MRI findings and dysmorphic features. We propose that NFIB haploinsufficiency causes a clinically recognizable malformation-ID syndrome.

摘要

核因子 I B(NFIB)杂合性不足最近被确定为智力障碍(ID)和大头畸形的原因。在这里,我们报告了两个新的个体,他们在包含 NFIB 的染色体区域 9p23-p22.3 中携带微缺失。第一个是一个 7 岁 9 个月大的男孩,有发育迟缓、ID、明确的面部异常以及脑和脊髓磁共振成像发现,包括脑室周围结节性异位、胼胝体发育不全、左中颅窝蛛网膜囊肿、胸髓和圆锥末端的脊髓空洞症以及终丝拉长。第二个是一个 32 岁的女士(先证者的母亲),有畸形特征,有学习障碍、甲状腺功能减退、生长不良、左侧腹股沟疝和惊恐发作的病史。她的脑磁共振成像发现包括胼胝体畸形和左侧脉络膜裂的小囊肿,标志着海马头部。基于阵列的比较基因组杂交在两个个体中均发现了 9p23p22.3 处的 232 Kb 间质缺失,包括 NFIB 的几个外显子和其他已知基因。我们的两个个体通过添加新的脑和脊髓 MRI 发现和畸形特征,增加了对这种罕见疾病的认识。我们提出 NFIB 杂合性不足导致可识别的临床畸形-ID 综合征。

https://cdn.ncbi.nlm.nih.gov/pmc/blobs/8200/10091694/f1205e94319c/AJMG-191-540-g003.jpg

文献AI研究员

20分钟写一篇综述,助力文献阅读效率提升50倍。

立即体验

用中文搜PubMed

大模型驱动的PubMed中文搜索引擎

马上搜索

文档翻译

学术文献翻译模型,支持多种主流文档格式。

立即体验