Suppr超能文献

使用新型支架(科马内奇)装置对复杂性肾动脉瘤进行弹簧圈栓塞——病例报告

Coil embolization of a complex renal artery aneurysm using a new scaffold (Comaneci) device - A case report.

作者信息

Hargis Paige Ashley, Fletcher Austin, Bhat Ambarish

机构信息

University of Missouri-Columbia School of Medicine, University of Missouri, Columbia, Missouri, United States.

Department of Radiology, School of Medicine, University of Missouri, Columbia, Missouri, United States.

出版信息

J Clin Imaging Sci. 2022 Sep 27;12:55. doi: 10.25259/JCIS_57_2022. eCollection 2022.

Abstract

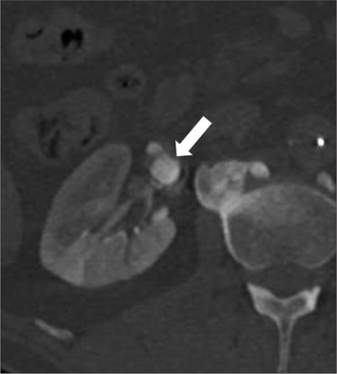
Advances in endovascular approaches have resulted in increasing utilization of minimally invasive techniques to treat visceral artery aneurysms including renal artery aneurysms (RAAs), with high rates of success. The basic endovascular approach to treating RAAs includes stent graft exclusion or coil embolization. Treatment of RAAs with wide necks or at the bifurcation of the main vessel is facilitated by scaffolding techniques, which have been previously described. These techniques have their limitations and cannot be used in all situations. We describe a scaffolding technique using the Comaneci device (Rapid Medical, Israel), a retrievable mesh device meant for intracranial treatment of wide neck or bifurcation aneurysms that we used to safely and successfully treat a 2 cm RAA.

摘要

血管内治疗方法的进展使得包括肾动脉动脉瘤(RAA)在内的内脏动脉瘤的微创技术使用率不断提高,成功率很高。治疗RAA的基本血管内方法包括支架移植物置入术或弹簧圈栓塞术。先前已描述过的支架技术有助于治疗颈部较宽或位于主血管分叉处的RAA。这些技术有其局限性,并非适用于所有情况。我们描述了一种使用科马内奇装置(以色列快速医疗公司)的支架技术,该装置是一种可回收的网状装置,用于颅内宽颈或分叉动脉瘤的治疗,我们用它安全、成功地治疗了一例2厘米的RAA。

https://cdn.ncbi.nlm.nih.gov/pmc/blobs/868f/9610415/6c2a7967d1ff/JCIS-12-55-g001.jpg

文献AI研究员

20分钟写一篇综述,助力文献阅读效率提升50倍。

立即体验

用中文搜PubMed

大模型驱动的PubMed中文搜索引擎

马上搜索

文档翻译

学术文献翻译模型,支持多种主流文档格式。

立即体验