• 文献检索
  • 文档翻译
  • 深度研究
  • 学术资讯
  • Suppr Zotero 插件Zotero 插件
  • 邀请有礼
  • 套餐&价格
  • 历史记录
应用&插件
Suppr Zotero 插件Zotero 插件浏览器插件Mac 客户端Windows 客户端微信小程序
定价
高级版会员购买积分包购买API积分包
服务
文献检索文档翻译深度研究API 文档MCP 服务
关于我们
关于 Suppr公司介绍联系我们用户协议隐私条款
关注我们

Suppr 超能文献

核心技术专利:CN118964589B侵权必究
粤ICP备2023148730 号-1Suppr @ 2026

文献检索

告别复杂PubMed语法,用中文像聊天一样搜索,搜遍4000万医学文献。AI智能推荐,让科研检索更轻松。

立即免费搜索

文件翻译

保留排版,准确专业,支持PDF/Word/PPT等文件格式,支持 12+语言互译。

免费翻译文档

深度研究

AI帮你快速写综述,25分钟生成高质量综述,智能提取关键信息,辅助科研写作。

立即免费体验

后踝骨折中的嵌插碎片:发生率、治疗意义以及在基于 CT 的分类系统中的分布。

Intercalary fragments in posterior malleolar fractures: incidence, treatment implications, and distribution within CT-based classification systems.

机构信息

Department of Trauma and Orthopaedic Surgery, University Medical Center Hamburg-Eppendorf, Martinistr. 52, 20246, Hamburg, Germany.

University Center of Orthopaedics, Trauma and Plastic Surgery, University Hospital Carl Gustav Carus at TU Dresden, Dresden, Germany.

出版信息

Eur J Trauma Emerg Surg. 2023 Apr;49(2):851-858. doi: 10.1007/s00068-022-02119-2. Epub 2022 Nov 4.

DOI:10.1007/s00068-022-02119-2
PMID:36331574
原文链接:https://pmc.ncbi.nlm.nih.gov/articles/PMC10175417/
Abstract

INTRODUCTION

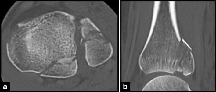
Complex ankle fractures frequently include the posterior malleolus (PM). Despite advances in diagnostic and treatment strategies, PM fracture involvement still predisposes to worse outcomes. While not incorporated into the most common PM fracture classifications, the presence of an intercalary fragment (ICF) complicates treatment. This study aims to describe the incidence, morphology, and location of ICFs in PM fractures.

MATERIALS AND METHODS

A total of 135 patients with a mean age of 54.4 (SD ± 18.9) years and PM fractures were analyzed for the presence of an ICF. Patients with an ICF were compared to those without in terms of age, gender, and treatment received. Characteristics of the ICFs in terms of location and size were assessed. Furthermore, the presence of an ICF in relation to the PM fracture classification according to Haraguchi et al., Bartoníček/Rammelt et al., and Mason et al. was investigated.

RESULTS

ICFs presented in 55 (41%) of the 135 patients. Patients with an ICF were younger, and the PM was more often operatively treated when compared to patients without an ICF. A posterolateral approach was used significantly more often in patients with an ICF. Almost all ICFs were found in the posterolateral (58%) and posterocentral (35%) regions. The majority of fragments were found in Bartoníček/Rammelt type 2 fractures, the most common fracture type. Bartoníček/Rammelt type 3 fractures had the highest relative frequency of ICFs.

CONCLUSION

ICFs are frequently found in PM fractures; however, they are not incorporated into any of the common classifications. They are generally found in younger patients and associated with more complex PM fractures. As they can complicate reduction of the main fragment and may require direct exposure to restore joint congruency, ICFs should be considered in PM fracture classifications. Due to their location, the majority of ICFs are able to be accessed using a posterolateral approach.

摘要

简介

复杂的踝关节骨折常包括后踝(PM)。尽管在诊断和治疗策略方面取得了进展,但 PM 骨折的累及仍然会导致预后更差。尽管在最常见的 PM 骨折分类中没有纳入,但存在间插骨块(ICF)会使治疗变得复杂。本研究旨在描述 PM 骨折中 ICF 的发生率、形态和位置。

材料和方法

共分析了 135 名平均年龄为 54.4(SD±18.9)岁的 PM 骨折患者是否存在 ICF。比较了有 ICF 的患者和无 ICF 的患者在年龄、性别和治疗方面的差异。评估了 ICF 在位置和大小方面的特征。此外,还研究了 ICF 的存在与 Haraguchi 等人、Bartoníček/Rammelt 等人和 Mason 等人的 PM 骨折分类之间的关系。

结果

在 135 名患者中,55 名(41%)存在 ICF。与无 ICF 的患者相比,有 ICF 的患者年龄更小,PM 更常接受手术治疗。当存在 ICF 时,更常采用后外侧入路。几乎所有的 ICF 都位于后外侧(58%)和后中央(35%)区域。大多数骨块位于 Bartoníček/Rammelt 类型 2 骨折中,这是最常见的骨折类型。Bartoníček/Rammelt 类型 3 骨折中 ICF 的相对频率最高。

结论

ICF 常存在于 PM 骨折中,但未纳入任何常见分类。它们通常存在于年轻患者中,并与更复杂的 PM 骨折相关。由于它们可以使主要骨块的复位复杂化,并且可能需要直接暴露来恢复关节的一致性,因此在 PM 骨折分类中应考虑 ICF。由于其位置,大多数 ICF 可以通过后外侧入路进行处理。

https://cdn.ncbi.nlm.nih.gov/pmc/blobs/75a8/10175417/be2e5f84bf6c/68_2022_2119_Fig4_HTML.jpg
https://cdn.ncbi.nlm.nih.gov/pmc/blobs/75a8/10175417/9a51bf6690ca/68_2022_2119_Fig1_HTML.jpg
https://cdn.ncbi.nlm.nih.gov/pmc/blobs/75a8/10175417/b64303bb67a6/68_2022_2119_Fig2_HTML.jpg
https://cdn.ncbi.nlm.nih.gov/pmc/blobs/75a8/10175417/f6ebd7cb2562/68_2022_2119_Fig3_HTML.jpg
https://cdn.ncbi.nlm.nih.gov/pmc/blobs/75a8/10175417/be2e5f84bf6c/68_2022_2119_Fig4_HTML.jpg
https://cdn.ncbi.nlm.nih.gov/pmc/blobs/75a8/10175417/9a51bf6690ca/68_2022_2119_Fig1_HTML.jpg
https://cdn.ncbi.nlm.nih.gov/pmc/blobs/75a8/10175417/b64303bb67a6/68_2022_2119_Fig2_HTML.jpg
https://cdn.ncbi.nlm.nih.gov/pmc/blobs/75a8/10175417/f6ebd7cb2562/68_2022_2119_Fig3_HTML.jpg
https://cdn.ncbi.nlm.nih.gov/pmc/blobs/75a8/10175417/be2e5f84bf6c/68_2022_2119_Fig4_HTML.jpg

相似文献

1
Intercalary fragments in posterior malleolar fractures: incidence, treatment implications, and distribution within CT-based classification systems.后踝骨折中的嵌插碎片:发生率、治疗意义以及在基于 CT 的分类系统中的分布。
Eur J Trauma Emerg Surg. 2023 Apr;49(2):851-858. doi: 10.1007/s00068-022-02119-2. Epub 2022 Nov 4.
2
Computed tomography-based classifications of posterior malleolar fractures and their inter- and intraobserver reliability: a comparison of the Haraguchi, Bartoníček/Rammelt, and Mason classifications.基于计算机断层扫描的后踝骨折分类及其观察者间和观察者内可靠性:与 Haraguchi、Bartoníček/Rammelt 和 Mason 分类的比较。
Arch Orthop Trauma Surg. 2022 Dec;142(12):3895-3902. doi: 10.1007/s00402-021-04315-y. Epub 2022 Jan 30.
3
Characteristics of intercalary fragment in posterior malleolus fractures.后踝骨折中节间骨折块的特征
Foot Ankle Surg. 2020 Apr;26(3):289-294. doi: 10.1016/j.fas.2019.03.011. Epub 2019 Apr 9.
4
Posterolateral approach for posterior malleolus fixation in ankle fractures: functional and radiological outcome based on Bartonicek classification.后踝骨折后外侧入路固定:基于 Bartonicek 分类的功能和影像学结果。
Arch Orthop Trauma Surg. 2023 Jul;143(7):4099-4109. doi: 10.1007/s00402-022-04620-0. Epub 2022 Oct 2.
5
Posterior Malleolar Fracture Assessment: An Independent Interobserver and Intraobserver Validation of Three Computed Tomography-Based Classifications.后踝骨折评估:三种基于计算机断层扫描的分类方法的独立观察者和观察者内验证。
J Am Acad Orthop Surg Glob Res Rev. 2023 Jan 9;7(1). doi: 10.5435/JAAOSGlobal-D-22-00258. eCollection 2023 Jan 1.
6
Posterior malleolar fracture morphology determines outcome in rotational type ankle fractures.后踝骨折形态决定旋转型踝关节骨折的预后。
Injury. 2019 Jul;50(7):1392-1397. doi: 10.1016/j.injury.2019.06.003. Epub 2019 Jun 3.
7
How to address the posterior malleolus in ankle fractures? A decision-making model based on the computerised tomography findings.如何处理踝关节骨折中的后踝?基于 CT 检查结果的决策模型。
Int Orthop. 2020 Jun;44(6):1177-1185. doi: 10.1007/s00264-020-04481-5. Epub 2020 Feb 4.
8
Ankle fractures involving the posterior malleolus: patient characteristics and 7-year results in 100 cases.涉及后踝的踝关节骨折:100 例患者特征和 7 年随访结果。
Arch Orthop Trauma Surg. 2022 Aug;142(8):1823-1834. doi: 10.1007/s00402-021-03875-3. Epub 2021 Apr 9.
9
Posterior malleolus fractures in Bosworth fracture-dislocations. A combination not to be missed.Bosworth 骨折脱位中的后踝骨折。一种不容错过的组合。
Injury. 2020 Feb;51(2):537-541. doi: 10.1016/j.injury.2019.10.088. Epub 2019 Oct 31.
10
The Intercalary Fragment in Posterior Malleolus Fractures: Characterization and Significance.后踝骨折中的嵌插骨块:特征与意义。
J Foot Ankle Surg. 2022 Sep-Oct;61(5):1060-1064. doi: 10.1053/j.jfas.2022.01.018. Epub 2022 Jan 23.

引用本文的文献

1
Reduction and outcome of posterior pilon fractures with intercalary fragments: a retrospective cohort study comparing the transfibular and posteromedial approaches.伴有中间骨折块的后踝骨折的复位及预后:一项比较经腓骨入路和后内侧入路的回顾性队列研究
J Orthop Traumatol. 2025 May 29;26(1):34. doi: 10.1186/s10195-025-00851-0.
2
[Fractures of the upper ankle joint].[踝关节上关节骨折]
Chirurgie (Heidelb). 2025 Mar;96(3):254-268. doi: 10.1007/s00104-024-02229-0. Epub 2025 Feb 14.
3
Reduction Quality in Posterior Malleolar Fractures Using a Modified Posteromedial Ankle Approach.

本文引用的文献

1
Visualization of the distal tibial plafond articular surface using four established approaches and the efficacy of instrumented distraction: a cadaveric study.采用四种既定方法可视化距骨下关节面和使用仪器分离的疗效:尸体研究。
Eur J Trauma Emerg Surg. 2022 Oct;48(5):4031-4041. doi: 10.1007/s00068-022-01927-w. Epub 2022 Mar 17.
2
Minifragment plating of the fibula in unstable ankle fractures.腓骨小骨片钢板固定术治疗不稳定踝关节骨折。
Arch Orthop Trauma Surg. 2023 Mar;143(3):1499-1504. doi: 10.1007/s00402-022-04397-2. Epub 2022 Feb 28.
3
Visualization of complicated fractures by 3D-printed models for teaching and surgery: hands-on transitional fractures of the ankle.
采用改良后内侧踝关节入路治疗后踝骨折的复位质量
Foot Ankle Orthop. 2024 Oct 30;9(4):24730114241290201. doi: 10.1177/24730114241290201. eCollection 2024 Oct.
4
Injury to the posterior malleolus in Maisonneuve fractures.Maisonneuve 骨折中后踝骨的损伤。
Eur J Trauma Emerg Surg. 2024 Jun;50(3):1007-1014. doi: 10.1007/s00068-023-02394-7. Epub 2023 Dec 2.
通过 3D 打印模型对复杂骨折进行可视化处理,用于教学和手术:踝关节过渡性骨折的实践操作。
Eur J Trauma Emerg Surg. 2022 Oct;48(5):3923-3931. doi: 10.1007/s00068-022-01879-1. Epub 2022 Feb 5.
4
Computed tomography-based classifications of posterior malleolar fractures and their inter- and intraobserver reliability: a comparison of the Haraguchi, Bartoníček/Rammelt, and Mason classifications.基于计算机断层扫描的后踝骨折分类及其观察者间和观察者内可靠性:与 Haraguchi、Bartoníček/Rammelt 和 Mason 分类的比较。
Arch Orthop Trauma Surg. 2022 Dec;142(12):3895-3902. doi: 10.1007/s00402-021-04315-y. Epub 2022 Jan 30.
5
Morphological analysis of posterior malleolar fractures with intra-articular impacted fragment in computed tomography scans.CT 扫描中伴有关节内嵌顿碎骨块的后踝骨折的形态学分析。
J Orthop Traumatol. 2021 Dec 10;22(1):52. doi: 10.1186/s10195-021-00615-6.
6
Trends of incidence and treatment strategies for operatively treated distal fibula fractures from 2005 to 2019: a nationwide register analysis.2005 年至 2019 年手术治疗腓骨远端骨折的发病趋势和治疗策略:全国登记分析。
Arch Orthop Trauma Surg. 2022 Dec;142(12):3771-3777. doi: 10.1007/s00402-021-04232-0. Epub 2021 Nov 7.
7
Posterior Locking Plate Fixation of Bartoníček Type IV Posterior Malleolar Fracture: A Focus on Die-Punch Fragment Size.后锁定钢板固定 Bartoníček Ⅳ型后踝骨折:关注压痕碎片大小。
J Foot Ankle Surg. 2022 Jan-Feb;61(1):109-116. doi: 10.1053/j.jfas.2020.08.036. Epub 2021 Jun 23.
8
Outcomes of posterior malleolar fractures with intra-articular impacted fragment.伴有关节内嵌插骨折块的后踝骨折的治疗结果
Arch Orthop Trauma Surg. 2023 Jan;143(1):141-147. doi: 10.1007/s00402-021-04002-y. Epub 2021 Jul 1.
9
Ankle fractures involving the posterior malleolus: patient characteristics and 7-year results in 100 cases.涉及后踝的踝关节骨折:100 例患者特征和 7 年随访结果。
Arch Orthop Trauma Surg. 2022 Aug;142(8):1823-1834. doi: 10.1007/s00402-021-03875-3. Epub 2021 Apr 9.
10
Can treatment of posterior malleolus fractures with tibio-fibular instability be usefully addressed by Bartonicek classification?后踝骨折伴下胫腓联合不稳定的 Bartonicek 分类治疗是否有效?
Foot Ankle Surg. 2022 Jan;28(1):126-133. doi: 10.1016/j.fas.2021.02.009. Epub 2021 Feb 23.