Suppr超能文献

心脏手术后大血管闭塞性急性缺血性脑卒中的血管内血栓切除术。

Endovascular thrombectomy for large vessel occlusion acute ischemic stroke after cardiac surgery.

机构信息

Discipline of Surgery, Royal Adelaide Hospital, University of Adelaide, Adelaide, South Australia, Australia.

Stroke Unit, Royal Adelaide Hospital, Adelaide, South Australia, Australia.

出版信息

J Card Surg. 2022 Dec;37(12):4562-4570. doi: 10.1111/jocs.17082. Epub 2022 Nov 6.

Abstract

INTRODUCTION

Acute ischemic stroke (AIS) can be a catastrophic complication of cardiac surgery previously without effective treatment. Endovascular thrombectomy (EVT) is a potentially life-saving intervention. We examined patients at our institution who had EVT to treat AIS post cardiac surgery.

METHODS

We retrospectively reviewed a stroke database from January 1, 2016 to October 31, 2021 to identify patients who had undergone EVT to treat AIS following cardiac surgery. Demographic data, operation type, stroke severity, imaging features, management and outcomes (mortality and modified Rankin Score (mRS)) were assessed.

RESULTS

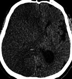
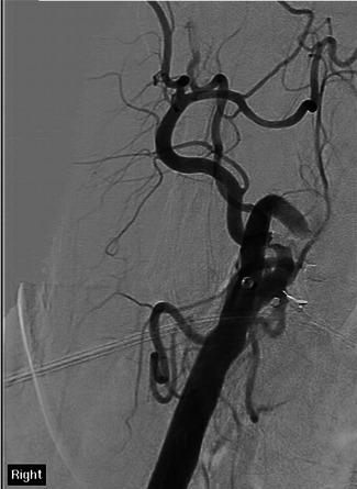
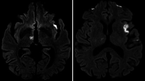
Of 5022 consecutive patients with AIS, 870 underwent EVT. Seven patients (0.8%) had EVT following cardiac surgery. Operations varied: two coronary artery bypass grafting (CABG), two transcatheter AVR, one redo surgical aortic valve replacement (AVR), one mitral valve repair and one patient with combined aortic and mitral valve replacements and CABG. Meantime postsurgery to stroke symptoms onset was 3 days (range 0-9 days). Median NIHSS was 26 (range 10-32). Five patients had middle cerebral artery occlusion and two internal carotid artery (n = 2). Median time between onset of symptoms and recanalization was 157 min (range 97-263). Two patients received Intra-arterial Thrombolysis. All patients survived and were discharged to another hospital (n = 3), home (n = 2), or rehabilitation facility (n = 2). Median 3-month mRS was 3 (range 0-6).

CONCLUSION

We report the largest case series of EVT after cardiac surgery. EVT can be associated with excellent outcomes in these patients. Close neurological monitoring postoperatively to identify patients who may benefit from intervention is key.

摘要

介绍

急性缺血性脑卒中(AIS)以前是心脏手术后的一种灾难性并发症,目前尚无有效的治疗方法。血管内血栓切除术(EVT)是一种有潜在救生作用的干预措施。我们检查了在我院接受 EVT 治疗心脏手术后 AIS 的患者。

方法

我们回顾性地审查了 2016 年 1 月 1 日至 2021 年 10 月 31 日的卒中数据库,以确定接受 EVT 治疗心脏手术后 AIS 的患者。评估人口统计学数据、手术类型、卒中严重程度、影像学特征、管理和结果(死亡率和改良 Rankin 评分(mRS))。

结果

在 5022 例连续 AIS 患者中,870 例行 EVT。7 例(0.8%)在心脏手术后行 EVT。手术类型多样:2 例冠状动脉旁路移植术(CABG)、2 例经导管主动脉瓣置换术(AVR)、1 例再次外科主动脉瓣置换术(AVR)、1 例二尖瓣修复术和 1 例主动脉瓣和二尖瓣置换术联合 CABG。同时,术后至卒中症状发作时间为 3 天(范围 0-9 天)。NIHSS 中位数为 26(范围 10-32)。5 例患者大脑中动脉闭塞,2 例颈内动脉闭塞(n=2)。症状发作至再通的中位时间为 157 分钟(范围 97-263)。2 例患者接受了动脉内溶栓治疗。所有患者均存活并出院至另一家医院(n=3)、家中(n=2)或康复设施(n=2)。中位 3 个月 mRS 为 3(范围 0-6)。

结论

我们报告了心脏手术后 EVT 最大的病例系列。EVT 可使这些患者获得良好的结局。术后密切进行神经监测以识别可能受益于干预的患者是关键。

https://cdn.ncbi.nlm.nih.gov/pmc/blobs/9eb1/10100038/09ac8e708c6d/JOCS-37-4562-g003.jpg

文献AI研究员

20分钟写一篇综述,助力文献阅读效率提升50倍。

立即体验

用中文搜PubMed

大模型驱动的PubMed中文搜索引擎

马上搜索

文档翻译

学术文献翻译模型,支持多种主流文档格式。

立即体验