• 文献检索
  • 文档翻译
  • 深度研究
  • 学术资讯
  • Suppr Zotero 插件Zotero 插件
  • 邀请有礼
  • 套餐&价格
  • 历史记录
应用&插件
Suppr Zotero 插件Zotero 插件浏览器插件Mac 客户端Windows 客户端微信小程序
定价
高级版会员购买积分包购买API积分包
服务
文献检索文档翻译深度研究API 文档MCP 服务
关于我们
关于 Suppr公司介绍联系我们用户协议隐私条款
关注我们

Suppr 超能文献

核心技术专利:CN118964589B侵权必究
粤ICP备2023148730 号-1Suppr @ 2026

文献检索

告别复杂PubMed语法,用中文像聊天一样搜索,搜遍4000万医学文献。AI智能推荐,让科研检索更轻松。

立即免费搜索

文件翻译

保留排版,准确专业,支持PDF/Word/PPT等文件格式,支持 12+语言互译。

免费翻译文档

深度研究

AI帮你快速写综述,25分钟生成高质量综述,智能提取关键信息,辅助科研写作。

立即免费体验

一名年轻男性患者小肠嗜酸性粒细胞性胃肠炎酷似嗜酸性肉芽肿性多血管炎

Eosinophilic Gastroenteritis in the Small Intestine Mimicking Eosinophilic Granulomatosis With Polyangiitis in a Young Male Patient.

作者信息

Hayashi Maika, Ohta Ryuichi, Yamane Fumiko, Mishiro Tsuyoshi, Sano Chiaki

机构信息

Family Medicine, Shimane University Faculty of Medicine, Izumo, JPN.

Community Care, Unnan City Hospital, Unnan, JPN.

出版信息

Cureus. 2022 Oct 1;14(10):e29813. doi: 10.7759/cureus.29813. eCollection 2022 Oct.

DOI:10.7759/cureus.29813
PMID:36337807
原文链接:https://pmc.ncbi.nlm.nih.gov/articles/PMC9621689/
Abstract

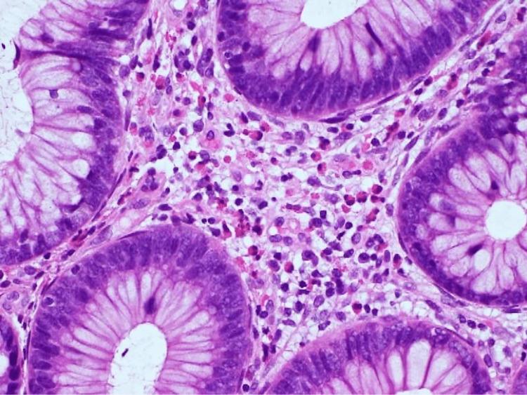
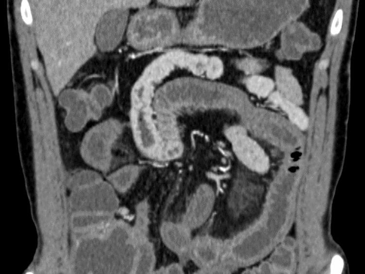
Eosinophilic gastroenteritis (EGE) is a disease involving the gastrointestinal tract that involves the invasion of eosinophils into the lumen of the tract. Invasion of eosinophils in the tract causes edema and inflammation of the wall, resulting in acute or chronic diarrhea and abdominal pain. EGE can cause chronic inflammation in the small intestine, thereby mimicking chronic vasculitis. We report the case of a 24-year-old male patient with the chief complaint of acute progressive abdominal pain. Endoscopic findings of the small intestine were chronic and similar to those of polyangiitis (eosinophilic granulomatosis with polyangiitis). This case shows the presence of various clinical courses of EGE and the discrepancy between the symptoms and endoscopic appearance of vasculitis. Physicians should focus not only on acute symptoms but also on chronic phases of the disease to prevent disease progression and modify patients' help-seeking behaviors according to their symptoms.

摘要

嗜酸性粒细胞性胃肠炎(EGE)是一种累及胃肠道的疾病,其特征为嗜酸性粒细胞侵入胃肠道管腔。嗜酸性粒细胞的侵入会导致肠壁水肿和炎症,进而引发急性或慢性腹泻及腹痛。EGE可导致小肠慢性炎症,从而类似慢性血管炎。我们报告一例以急性进行性腹痛为主诉的24岁男性患者。小肠内镜检查结果为慢性,与多血管炎(嗜酸性肉芽肿性多血管炎)相似。该病例显示了EGE存在多种临床病程,以及血管炎症状与内镜表现之间的差异。医生不仅应关注急性症状,还应关注疾病的慢性阶段,以防止疾病进展,并根据患者症状调整其就医行为。

https://cdn.ncbi.nlm.nih.gov/pmc/blobs/5216/9621689/84736b48abcc/cureus-0014-00000029813-i03.jpg
https://cdn.ncbi.nlm.nih.gov/pmc/blobs/5216/9621689/780afbae799f/cureus-0014-00000029813-i01.jpg
https://cdn.ncbi.nlm.nih.gov/pmc/blobs/5216/9621689/3729dd0a672a/cureus-0014-00000029813-i02.jpg
https://cdn.ncbi.nlm.nih.gov/pmc/blobs/5216/9621689/84736b48abcc/cureus-0014-00000029813-i03.jpg
https://cdn.ncbi.nlm.nih.gov/pmc/blobs/5216/9621689/780afbae799f/cureus-0014-00000029813-i01.jpg
https://cdn.ncbi.nlm.nih.gov/pmc/blobs/5216/9621689/3729dd0a672a/cureus-0014-00000029813-i02.jpg
https://cdn.ncbi.nlm.nih.gov/pmc/blobs/5216/9621689/84736b48abcc/cureus-0014-00000029813-i03.jpg

相似文献

1
Eosinophilic Gastroenteritis in the Small Intestine Mimicking Eosinophilic Granulomatosis With Polyangiitis in a Young Male Patient.一名年轻男性患者小肠嗜酸性粒细胞性胃肠炎酷似嗜酸性肉芽肿性多血管炎
Cureus. 2022 Oct 1;14(10):e29813. doi: 10.7759/cureus.29813. eCollection 2022 Oct.
2
Eosinophilic Granulomatosis with Polyangiitis Initially Diagnosed as Eosinophilic Gastroenteritis.最初被诊断为嗜酸性胃肠炎的嗜酸性肉芽肿性多血管炎
Intern Med. 2020 Apr 15;59(8):1029-1033. doi: 10.2169/internalmedicine.3391-19. Epub 2019 Dec 26.
3
Multiple ulcerations and perforation in the small intestine after steroid treatment in eosinophilic granulomatosis with polyangiitis: a case report and literature review.嗜酸性肉芽肿性多血管炎(EGPA)患者在接受类固醇治疗后出现小肠多发性溃疡和穿孔:病例报告及文献复习。
Cardiovasc Pathol. 2020 Jul-Aug;47:107193. doi: 10.1016/j.carpath.2019.107193. Epub 2019 Dec 18.
4
Eosinophilic granulomatosis with polyangiitis (Churg-Strauss syndrome) presenting as diffuse myositis.表现为弥漫性肌炎的嗜酸性肉芽肿性多血管炎(变应性肉芽肿性血管炎)
BMC Musculoskelet Disord. 2014 Nov 21;15:388. doi: 10.1186/1471-2474-15-388.
5
Diagnosis of eosinophilic gastroenteritis is easily missed.嗜酸粒细胞性胃肠炎的诊断容易被忽视。
World J Gastroenterol. 2017 May 21;23(19):3556-3564. doi: 10.3748/wjg.v23.i19.3556.
6
An Autopsy Case of a 5-Year-Old Child with Acute Pancreatitis Caused by Eosinophilic Granulomatosis with Polyangiitis-like Necrotizing Vasculitis.一例5岁儿童因嗜酸性肉芽肿性多血管炎样坏死性血管炎导致急性胰腺炎的尸检病例。
Case Rep Rheumatol. 2019 Sep 2;2019:9053747. doi: 10.1155/2019/9053747. eCollection 2019.
7
Eosinophilic gastroenteritis: a rare case report.嗜酸性胃肠炎:一例罕见病例报告。
N Am J Med Sci. 2012 Aug;4(8):367-8. doi: 10.4103/1947-2714.99522.
8
Torasemide-induced Vascular Purpura in the Course of Eosinophilic Granulomatosis with Polyangiitis.托拉塞米致嗜酸性肉芽肿伴多血管炎血管性紫癜。
Acta Dermatovenerol Croat. 2022 Sep;30(2):116-118.
9
Autoimmune Vasculitis Causing Acute Bilateral Lower Limb Paralysis.自身免疫性血管炎导致急性双侧下肢瘫痪。
Cureus. 2022 Aug 3;14(8):e27651. doi: 10.7759/cureus.27651. eCollection 2022 Aug.
10
Eosinophilic ascites as an uncommon presentation of eosinophilic gastroenteritis: A case report.嗜酸性腹水作为嗜酸性胃肠炎的一种不常见表现:病例报告。
Arab J Gastroenterol. 2021 Jun;22(2):184-186. doi: 10.1016/j.ajg.2021.02.002. Epub 2021 Jun 2.

引用本文的文献

1
Similarities and differences of clinical manifestations and prognosis between eosinophilic gastroenteritis and eosinophilic granulomatosis with polyangiitis complicating gastrointestinal involvement.嗜酸性粒细胞性胃肠炎与嗜酸性肉芽肿性多血管炎合并胃肠道受累的临床表现及预后的异同
Clin Rheumatol. 2025 Mar;44(3):1259-1268. doi: 10.1007/s10067-024-07286-8. Epub 2025 Jan 17.

本文引用的文献

1
Autoimmune Vasculitis Causing Acute Bilateral Lower Limb Paralysis.自身免疫性血管炎导致急性双侧下肢瘫痪。
Cureus. 2022 Aug 3;14(8):e27651. doi: 10.7759/cureus.27651. eCollection 2022 Aug.
2
Mortality and cancer in eosinophilic gastrointestinal disorders distal to the esophagus: nationwide cohort study 1990-2017.嗜酸性粒细胞性胃肠道疾病在食管以下的死亡率和癌症:1990-2017 年全国队列研究。
J Gastroenterol. 2022 Oct;57(10):735-747. doi: 10.1007/s00535-022-01904-5. Epub 2022 Jul 19.
3
Follow-Up of a Rare Case of Eosinophilic Gastroenteritis Associated with Persistent Blood Eosinophilia and Multiple Food Allergies.
一例与持续性血液嗜酸性粒细胞增多和多种食物过敏相关的嗜酸性粒细胞性胃肠炎罕见病例的随访
Diagnostics (Basel). 2022 Jun 2;12(6):1381. doi: 10.3390/diagnostics12061381.
4
Older People's Help-Seeking Behaviors in Rural Contexts: A Systematic Review.老年人在农村环境中的求助行为:系统评价。
Int J Environ Res Public Health. 2022 Mar 9;19(6):3233. doi: 10.3390/ijerph19063233.
5
ANCA-associated vasculitis.抗中性粒细胞胞浆抗体相关性血管炎。
Nat Rev Dis Primers. 2020 Aug 27;6(1):71. doi: 10.1038/s41572-020-0204-y.
6
Eosinophilic Granulomatosis with Polyangiitis Initially Diagnosed as Eosinophilic Gastroenteritis.最初被诊断为嗜酸性胃肠炎的嗜酸性肉芽肿性多血管炎
Intern Med. 2020 Apr 15;59(8):1029-1033. doi: 10.2169/internalmedicine.3391-19. Epub 2019 Dec 26.
7
Eosinophilic gastroenteritis: diagnosis and clinical perspectives.嗜酸性胃肠炎:诊断与临床展望
Clin Exp Gastroenterol. 2019 Jun 5;12:239-253. doi: 10.2147/CEG.S173130. eCollection 2019.
8
Eosinophilic gastroenteritis: An unusual presentation of a rare disease.嗜酸性胃肠炎:一种罕见疾病的不寻常表现。
Rev Gastroenterol Mex (Engl Ed). 2019 Jan-Mar;84(1):116-118. doi: 10.1016/j.rgmx.2018.01.001. Epub 2018 Mar 17.
9
Eosinophilic gastroenteritis: Approach to diagnosis and management.嗜酸性胃肠炎:诊断与管理方法
World J Gastrointest Pharmacol Ther. 2016 Nov 6;7(4):513-523. doi: 10.4292/wjgpt.v7.i4.513.
10
Eosinophilic gastroenteritis: A state-of-the-art review.嗜酸性胃肠炎:最新综述
J Gastroenterol Hepatol. 2017 Jan;32(1):64-72. doi: 10.1111/jgh.13463.