Suppr超能文献

脂质体柔红霉素和阿糖胞苷,一种治疗原始浆细胞样树突状细胞瘤的潜在疗法。

Liposomal Daunorubicin and Cytarabine, a Potential Therapy for Blastic Plasmacytoid Dendritic Cell Neoplasm.

机构信息

SUNY Upstate University Hospital, Syracuse, USA.

出版信息

J Investig Med High Impact Case Rep. 2022 Jan-Dec;10:23247096221127114. doi: 10.1177/23247096221127114.

Abstract

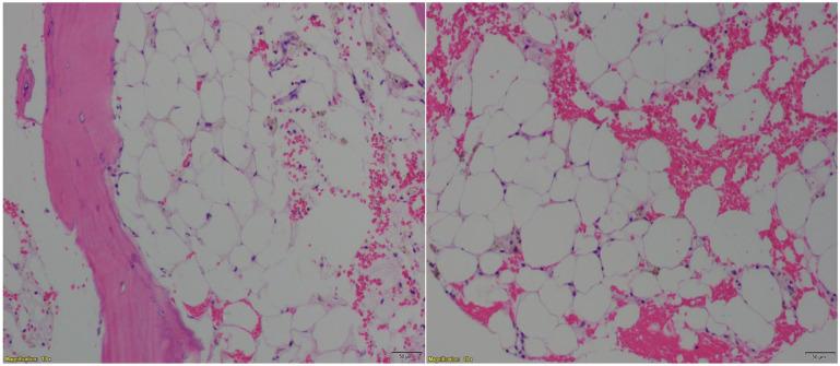
Blastic plasmacytoid dendritic cell neoplasm (BPDCN) is a rare aggressive malignancy with poor outcomes. Although novel options like tagraxofusp, a CD123-directed cytotoxin, has emerged and is promising, treatment options are very limited in the relapsed and recurrent setting. We present a case of refractory BPDCN in a 62-year-old man who showed a complete bone marrow response to liposomal daunorubicin and cytarabine (vyxeos).

摘要

原始滤泡性淋巴瘤伴 MYC 和 BCL2 重排,伴弥漫大 B 细胞转化

https://cdn.ncbi.nlm.nih.gov/pmc/blobs/3a76/9638685/e0a4b302ba7f/10.1177_23247096221127114-fig1.jpg

文献AI研究员

20分钟写一篇综述,助力文献阅读效率提升50倍。

立即体验

用中文搜PubMed

大模型驱动的PubMed中文搜索引擎

马上搜索

文档翻译

学术文献翻译模型,支持多种主流文档格式。

立即体验