Suppr超能文献

Myd88/BCL2 驱动的侵袭性淋巴瘤具有独特的遗传起源,为靶向治疗干预策略提供了理论依据。

Distinct Genetically Determined Origins of Myd88/BCL2-Driven Aggressive Lymphoma Rationalize Targeted Therapeutic Intervention Strategies.

机构信息

Department I of Internal Medicine, Center for Integrated Oncology, Aachen Bonn Cologne Duesseldorf, University of Cologne, Faculty of Medicine and University Hospital Cologne, Cologne, Germany.

Center for Molecular Medicine, University of Cologne, Cologne, Germany.

出版信息

Blood Cancer Discov. 2023 Jan 6;4(1):78-97. doi: 10.1158/2643-3230.BCD-22-0007.

Abstract

UNLABELLED

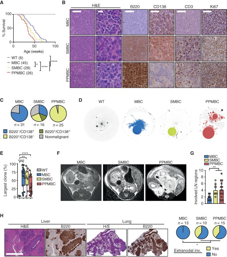
Genomic profiling revealed the identity of at least 5 subtypes of diffuse large B-cell lymphoma (DLBCL), including the MCD/C5 cluster characterized by aberrations in MYD88, BCL2, PRDM1, and/or SPIB. We generated mouse models harboring B cell-specific Prdm1 or Spib aberrations on the background of oncogenic Myd88 and Bcl2 lesions. We deployed whole-exome sequencing, transcriptome, flow-cytometry, and mass cytometry analyses to demonstrate that Prdm1- or Spib-altered lymphomas display molecular features consistent with prememory B cells and light-zone B cells, whereas lymphomas lacking these alterations were enriched for late light-zone and plasmablast-associated gene sets. Consistent with the phenotypic evidence for increased B cell receptor signaling activity in Prdm1-altered lymphomas, we demonstrate that combined BTK/BCL2 inhibition displays therapeutic activity in mice and in five of six relapsed/refractory DLBCL patients. Moreover, Prdm1-altered lymphomas were immunogenic upon transplantation into immuno-competent hosts, displayed an actionable PD-L1 surface expression, and were sensitive to antimurine-CD19-CAR-T cell therapy, in vivo.

SIGNIFICANCE

Relapsed/refractory DLBCL remains a major medical challenge, and most of these patients succumb to their disease. Here, we generated mouse models, faithfully recapitulating the biology of MYD88-driven human DLBCL. These models revealed robust preclinical activity of combined BTK/BCL2 inhibition. We confirmed activity of this regimen in pretreated non-GCB-DLBCL patients. See related commentary by Leveille et al., p. 8. This article is highlighted in the In This Issue feature, p. 1.

摘要

未加标签

基因组分析揭示了至少 5 种弥漫性大 B 细胞淋巴瘤 (DLBCL)亚型的特征,包括以 MYD88、BCL2、PRDM1 和/或 SPIB 异常为特征的 MCD/C5 簇。我们构建了在致癌性 Myd88 和 Bcl2 病变背景下具有 B 细胞特异性 Prdm1 或 Spib 异常的小鼠模型。我们采用全外显子组测序、转录组、流式细胞术和质谱细胞术分析,证明 Prdm1 或 Spib 改变的淋巴瘤具有与前记忆 B 细胞和光区 B 细胞一致的分子特征,而缺乏这些改变的淋巴瘤富含晚期光区和浆母细胞相关基因集。与 Prdm1 改变的淋巴瘤中 B 细胞受体信号活性增加的表型证据一致,我们证明 BTK/BCL2 联合抑制在小鼠和五名复发性/难治性 DLBCL 患者中的具有治疗活性。此外,Prdm1 改变的淋巴瘤在移植到免疫功能正常的宿主中具有免疫原性,显示出可操作的 PD-L1 表面表达,并对抗鼠 CD19-CAR-T 细胞治疗敏感,体内实验结果一致。

意义

复发性/难治性 DLBCL 仍然是一个主要的医学挑战,大多数患者都死于该疾病。在这里,我们构建了忠实再现 MYD88 驱动的人类 DLBCL 生物学的小鼠模型。这些模型显示出联合 BTK/BCL2 抑制的强大的临床前活性。我们在预处理的非 GCB-DLBCL 患者中证实了该方案的活性。见 Leveille 等人的相关评论,第 8 页。本文在本期特色文章中重点介绍,第 1 页。

https://cdn.ncbi.nlm.nih.gov/pmc/blobs/7d2d/9816818/761095f049dd/78fig1.jpg

文献AI研究员

20分钟写一篇综述,助力文献阅读效率提升50倍。

立即体验

用中文搜PubMed

大模型驱动的PubMed中文搜索引擎

马上搜索

文档翻译

学术文献翻译模型,支持多种主流文档格式。

立即体验