Suppr超能文献

利用磷酸化组蛋白 H3(PHH3)抗体与苏木精和伊红复染,提高有丝分裂细胞计数的准确性和效率,作为乳腺癌分级的一部分。

Improving mitotic cell counting accuracy and efficiency using phosphohistone-H3 (PHH3) antibody counterstained with haematoxylin and eosin as part of breast cancer grading.

机构信息

Academic Unit for Translational Medical Sciences, School of Medicine, University of Nottingham Biodiscovery Institute, University Park, Nottingham, UK.

Histopathology department, Faculty of Medicine, Suez Canal University, Ismailia, Egypt.

出版信息

Histopathology. 2023 Feb;82(3):393-406. doi: 10.1111/his.14837. Epub 2022 Nov 18.

Abstract

BACKGROUND

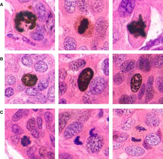
Mitotic count in breast cancer is an important prognostic marker. Unfortunately, substantial inter- and intraobserver variation exists when pathologists manually count mitotic figures. To alleviate this problem, we developed a new technique incorporating both haematoxylin and eosin (H&E) and phosphorylated histone H3 (PHH3), a marker highly specific to mitotic figures, and compared it to visual scoring of mitotic figures using H&E only.

METHODS

Two full-face sections from 97 cases were cut, one stained with H&E only, and the other was stained with PHH3 and counterstained with H&E (PHH3-H&E). Counting mitoses using PHH3-H&E was compared to traditional mitoses scoring using H&E in terms of reproducibility, scoring time, and the ability to detect mitosis hotspots. We assessed the agreement between manual and image analysis-assisted scoring of mitotic figures using H&E and PHH3-H&E-stained cells. The diagnostic performance of PHH3 in detecting mitotic figures in terms of sensitivity and specificity was measured. Finally, PHH3 replaced the mitosis score in a multivariate analysis to assess its significance.

RESULTS

Pathologists detected significantly higher mitotic figures using the PHH3-H&E (median ± SD, 20 ± 33) compared with H&E alone (median ± SD, 16 ± 25), P < 0.001. The concordance between pathologists in identifying mitotic figures was highest when using the dual PHH3-H&E technique; in addition, it highlighted mitotic figures at low power, allowing better agreement on choosing the hotspot area (k = 0.842) in comparison with standard H&E (k = 0.625). A better agreement between image analysis-assisted software and the human eye was observed for PHH3-stained mitotic figures. When the mitosis score was replaced with PHH3 in a Cox regression model with other grade components, PHH3 was an independent predictor of survival (hazard ratio [HR] 5.66, 95% confidence interval [CI] 1.92-16.69; P = 0.002), and even showed a more significant association with breast cancer-specific survival (BCSS) than mitosis (HR 3.63, 95% CI 1.49-8.86; P = 0.005) and Ki67 (P = 0.27).

CONCLUSION

Using PHH3-H&E-stained slides can reliably be used in routine scoring of mitotic figures and integrating both techniques will compensate for each other's limitations and improve diagnostic accuracy, quality, and precision.

摘要

背景

乳腺癌有丝分裂计数是一个重要的预后标志物。不幸的是,当病理学家手动计数有丝分裂时,存在大量的观察者间和观察者内的差异。为了解决这个问题,我们开发了一种新的技术,结合了苏木精和伊红(H&E)和磷酸化组蛋白 H3(PHH3),这是一种高度特异性的有丝分裂标志物,并将其与仅使用 H&E 进行有丝分裂评分进行了比较。

方法

对 97 例全脸切片进行了 2 次切割,一次仅用 H&E 染色,另一次用 PHH3 和 H&E 复染(PHH3-H&E)。使用 PHH3-H&E 计数有丝分裂与传统的 H&E 有丝分裂评分相比,在可重复性、评分时间和检测有丝分裂热点的能力方面进行了比较。我们评估了使用 H&E 和 PHH3-H&E 染色的细胞进行手动和图像分析辅助的有丝分裂评分之间的一致性。测量了 PHH3 在检测有丝分裂中的敏感性和特异性的诊断性能。最后,用 PHH3 代替有丝分裂评分,进行多变量分析,以评估其意义。

结果

病理学家使用 PHH3-H&E(中位数±标准差,20±33)比单独使用 H&E(中位数±标准差,16±25)检测到更高的有丝分裂,P<0.001。当使用双 PHH3-H&E 技术时,病理学家在识别有丝分裂方面的一致性最高;此外,它在低倍镜下突出了有丝分裂,在选择热点区域时可以更好地达成一致(k=0.842),与标准 H&E(k=0.625)相比。观察到使用 PHH3 染色的有丝分裂时,图像分析辅助软件与肉眼之间的一致性更好。当有丝分裂评分被 PHH3 取代,在 Cox 回归模型中与其他分级成分一起,PHH3 是生存的独立预测因子(危险比[HR]5.66,95%置信区间[CI]1.92-16.69;P=0.002),并且与乳腺癌特异性生存(BCSS)的相关性甚至比有丝分裂(HR 3.63,95%CI 1.49-8.86;P=0.005)和 Ki67(P=0.27)更显著。

结论

使用 PHH3-H&E 染色的幻灯片可以可靠地用于有丝分裂的常规评分,并且整合这两种技术将相互弥补各自的局限性,提高诊断的准确性、质量和精度。

https://cdn.ncbi.nlm.nih.gov/pmc/blobs/9dfe/10100421/5a951cc2b79b/HIS-82-393-g009.jpg

文献AI研究员

20分钟写一篇综述,助力文献阅读效率提升50倍。

立即体验

用中文搜PubMed

大模型驱动的PubMed中文搜索引擎

马上搜索

文档翻译

学术文献翻译模型,支持多种主流文档格式。

立即体验