• 文献检索
  • 文档翻译
  • 深度研究
  • 学术资讯
  • Suppr Zotero 插件Zotero 插件
  • 邀请有礼
  • 套餐&价格
  • 历史记录
应用&插件
Suppr Zotero 插件Zotero 插件浏览器插件Mac 客户端Windows 客户端微信小程序
定价
高级版会员购买积分包购买API积分包
服务
文献检索文档翻译深度研究API 文档MCP 服务
关于我们
关于 Suppr公司介绍联系我们用户协议隐私条款
关注我们

Suppr 超能文献

核心技术专利:CN118964589B侵权必究
粤ICP备2023148730 号-1Suppr @ 2026

文献检索

告别复杂PubMed语法,用中文像聊天一样搜索,搜遍4000万医学文献。AI智能推荐,让科研检索更轻松。

立即免费搜索

文件翻译

保留排版,准确专业,支持PDF/Word/PPT等文件格式,支持 12+语言互译。

免费翻译文档

深度研究

AI帮你快速写综述,25分钟生成高质量综述,智能提取关键信息,辅助科研写作。

立即免费体验

伴有多层菊形团的胚胎性肿瘤,其他部位未分类或分类改变:2018年至2022年17例儿童患者的临床病理特征、预后因素及结局

Embryonal tumors with multilayered rosettes, -altered or not elsewhere classified: Clinicopathological characteristics, prognostic factors, and outcomes of 17 children from 2018 to 2022.

作者信息

Xu Kailun, Sun Zhaoyun, Wang Lifeng, Guan Wenbin

机构信息

Department of Pathology, Xin Hua Hospital Affiliated to Shanghai Jiao Tong University School of Medicine, Shanghai, China.

Department of Cardiothoracic Surgery, Second Clinical Medical College, Nanjing Medical University, Nanjing, China.

出版信息

Front Oncol. 2022 Oct 24;12:1001959. doi: 10.3389/fonc.2022.1001959. eCollection 2022.

DOI:10.3389/fonc.2022.1001959
PMID:36353532
原文链接:https://pmc.ncbi.nlm.nih.gov/articles/PMC9638173/
Abstract

OBJECTIVE

Embryonal tumors with multilayered rosettes (ETMRs) are a histologically heterogeneous entity and gather embryonal tumors with abundant neuropil and true rosettes (ETANTRs), ependymoblastoma, and medulloepithelioma. ETMRs are highly aggressive and associated with poorer clinical courses. However, cases of this entity are rare, and advances in molecular genetics and therapy are minor. The purpose of our study was to retrospectively analyze the clinical, pathological features, and prognostic factors of ETMRs.

METHODS

Our cohort consisted of 17 patients diagnosed with ETMRs in our hospital from 2018 to 2022, and two of them were lost to follow-up. Clinical data were retrieved, and immunohistochemistry and genetic analyses were performed.

RESULTS

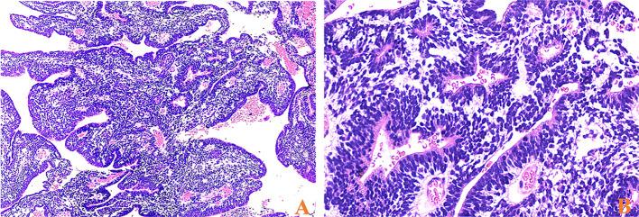
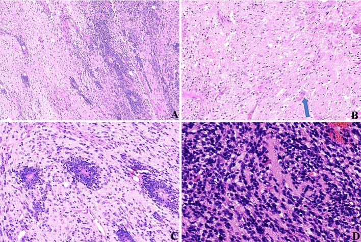
Among 17 cases, 16 were ETANTRs, and one was medulloepithelioma. Morphologically, tumor cells of ETANTRs could transform into anaplasia and lose the biphasic architecture during tumor progression. Immunohistochemistry of LIN28A revealed positive expression in 17 cases, and the expression of LIN28A was more intense and diffuse in the recurrent lesions than in primaries. The increased copy numbers were detected in the primary tumor and recurrence of patient 8. Moreover, the incidence of metastatic disease was 100% in patients aged > 4 years and 18% in the younger group. For patients receiving chemotherapy, the median overall survival time was 7.4 months, while that of those who didn't receive it was 1.2 months. Nevertheless, surgical approaches, radiotherapy, age at presentation, gender, tumor location, and metastatic status were not associated with independent prognosis.

CONCLUSION

ETANTR might not present as the typical morphologies during tumor progression, so analyses of amplification and Lin28A antibody are indispensable for diagnosing ETMRs accurately. Children aged > 4 years tend to have a higher rate of metastasis in ETMRs. Chemotherapy is the only prognostic factor for ETMRs patients with a favorable prognosis. The biological nature and clinical patterns for recurrent diseases need to be further demonstrated to predict prognosis and guide treatment.

摘要

目的

具有多层菊形团的胚胎性肿瘤(ETMRs)是一种组织学上异质性的实体,包括具有丰富神经毡和真性菊形团的胚胎性肿瘤(ETANTRs)、室管膜母细胞瘤和髓上皮瘤。ETMRs具有高度侵袭性,且临床病程较差。然而,该实体病例罕见,分子遗传学和治疗方面进展甚微。我们研究的目的是回顾性分析ETMRs的临床、病理特征及预后因素。

方法

我们的队列包括2018年至2022年在我院诊断为ETMRs的17例患者,其中2例失访。检索临床资料并进行免疫组化和基因分析。

结果

17例中,16例为ETANTRs,1例为髓上皮瘤。形态学上,ETANTRs的肿瘤细胞在肿瘤进展过程中可转变为间变并失去双相结构。LIN28A免疫组化显示17例均呈阳性表达,且LIN28A在复发病变中的表达比原发病变更强烈和弥漫。在患者8的原发肿瘤和复发灶中检测到拷贝数增加。此外,年龄>4岁患者的转移率为100%,较年轻组为18%。接受化疗的患者中位总生存时间为7.4个月,未接受化疗的患者为1.2个月。然而,手术方式、放疗、就诊年龄、性别、肿瘤部位和转移状态与独立预后无关。

结论

ETANTR在肿瘤进展过程中可能不表现为典型形态,因此扩增分析和Lin28A抗体检测对于准确诊断ETMRs不可或缺。年龄>4岁的儿童在ETMRs中转移率往往较高。化疗是ETMRs患者预后良好的唯一预后因素。复发性疾病的生物学特性和临床模式需要进一步阐明以预测预后并指导治疗。

https://cdn.ncbi.nlm.nih.gov/pmc/blobs/cfe6/9638173/56e21d834b96/fonc-12-1001959-g009.jpg
https://cdn.ncbi.nlm.nih.gov/pmc/blobs/cfe6/9638173/a9dd6a1d4452/fonc-12-1001959-g001.jpg
https://cdn.ncbi.nlm.nih.gov/pmc/blobs/cfe6/9638173/6457ca61784e/fonc-12-1001959-g002.jpg
https://cdn.ncbi.nlm.nih.gov/pmc/blobs/cfe6/9638173/f27cd6d8e92b/fonc-12-1001959-g003.jpg
https://cdn.ncbi.nlm.nih.gov/pmc/blobs/cfe6/9638173/bd0a732d5b55/fonc-12-1001959-g004.jpg
https://cdn.ncbi.nlm.nih.gov/pmc/blobs/cfe6/9638173/576818883284/fonc-12-1001959-g005.jpg
https://cdn.ncbi.nlm.nih.gov/pmc/blobs/cfe6/9638173/c48f59ddd59e/fonc-12-1001959-g006.jpg
https://cdn.ncbi.nlm.nih.gov/pmc/blobs/cfe6/9638173/53d897874d45/fonc-12-1001959-g007.jpg
https://cdn.ncbi.nlm.nih.gov/pmc/blobs/cfe6/9638173/ceb042eea238/fonc-12-1001959-g008.jpg
https://cdn.ncbi.nlm.nih.gov/pmc/blobs/cfe6/9638173/56e21d834b96/fonc-12-1001959-g009.jpg
https://cdn.ncbi.nlm.nih.gov/pmc/blobs/cfe6/9638173/a9dd6a1d4452/fonc-12-1001959-g001.jpg
https://cdn.ncbi.nlm.nih.gov/pmc/blobs/cfe6/9638173/6457ca61784e/fonc-12-1001959-g002.jpg
https://cdn.ncbi.nlm.nih.gov/pmc/blobs/cfe6/9638173/f27cd6d8e92b/fonc-12-1001959-g003.jpg
https://cdn.ncbi.nlm.nih.gov/pmc/blobs/cfe6/9638173/bd0a732d5b55/fonc-12-1001959-g004.jpg
https://cdn.ncbi.nlm.nih.gov/pmc/blobs/cfe6/9638173/576818883284/fonc-12-1001959-g005.jpg
https://cdn.ncbi.nlm.nih.gov/pmc/blobs/cfe6/9638173/c48f59ddd59e/fonc-12-1001959-g006.jpg
https://cdn.ncbi.nlm.nih.gov/pmc/blobs/cfe6/9638173/53d897874d45/fonc-12-1001959-g007.jpg
https://cdn.ncbi.nlm.nih.gov/pmc/blobs/cfe6/9638173/ceb042eea238/fonc-12-1001959-g008.jpg
https://cdn.ncbi.nlm.nih.gov/pmc/blobs/cfe6/9638173/56e21d834b96/fonc-12-1001959-g009.jpg

相似文献

1
Embryonal tumors with multilayered rosettes, -altered or not elsewhere classified: Clinicopathological characteristics, prognostic factors, and outcomes of 17 children from 2018 to 2022.伴有多层菊形团的胚胎性肿瘤,其他部位未分类或分类改变:2018年至2022年17例儿童患者的临床病理特征、预后因素及结局
Front Oncol. 2022 Oct 24;12:1001959. doi: 10.3389/fonc.2022.1001959. eCollection 2022.
2
LIN28A, a sensitive immunohistochemical marker for Embryonal Tumor with Multilayered Rosettes (ETMR), is also positive in a subset of Atypical Teratoid/Rhabdoid Tumor (AT/RT).LIN28A是具有多层玫瑰花结的胚胎性肿瘤(ETMR)的一种敏感免疫组化标志物,在一部分非典型畸胎样/横纹肌样肿瘤(AT/RT)中也呈阳性。
Childs Nerv Syst. 2017 Nov;33(11):1953-1959. doi: 10.1007/s00381-017-3551-6. Epub 2017 Jul 25.
3
Clinicopathological characteristics and outcomes in embryonal tumor with multilayered rosettes: A decade long experience from a tertiary care centre in North India.印度北部一家三级护理中心长达十年的经验:具有多层玫瑰花结的胚胎性肿瘤的临床病理特征和结局。
Ann Diagn Pathol. 2021 Aug;53:151745. doi: 10.1016/j.anndiagpath.2021.151745. Epub 2021 Apr 19.
4
Embryonal tumor with multilayered rosettes in a teenager.青少年的具有多层菊形团的胚胎性肿瘤。
Autops Case Rep. 2022 Apr 14;12:e2021373. doi: 10.4322/acr.2021.373. eCollection 2022.
5
Clinical Management of Embryonal Tumor with Multilayered Rosettes: The CCMC Experience.多层菊形团胚胎性肿瘤的临床管理:CCMC经验
Children (Basel). 2022 Oct 14;9(10):1560. doi: 10.3390/children9101560.
6
Embryonal tumor with abundant neuropil and true rosettes (ETANTR), ependymoblastoma, and medulloepithelioma share molecular similarity and comprise a single clinicopathological entity.伴有丰富神经毡和真性菊形团的胚胎性肿瘤(ETANTR)、室管膜母细胞瘤和髓上皮瘤具有分子相似性,构成一个单一的临床病理实体。
Acta Neuropathol. 2014 Aug;128(2):279-89. doi: 10.1007/s00401-013-1228-0. Epub 2013 Dec 14.
7
Embryonal tumor with multilayered rosettes of the fourth ventricle: case report.第四脑室多层菊形团胚胎性肿瘤:病例报告
J Neurosurg Pediatr. 2015 Nov;16(5):579-583. doi: 10.3171/2015.3.PEDS1525. Epub 2015 Aug 7.
8
C19MC amplification and expression of Lin28A and Olig2 in the classification of embryonal tumors of the central nervous system: A 14-year retrospective study from a tertiary care center.C19MC 扩增及 Lin28A、Olig2 的表达在中枢神经系统胚胎性肿瘤分类中的作用:一项来自三级医疗中心的 14 年回顾性研究。
Childs Nerv Syst. 2021 Apr;37(4):1067-1075. doi: 10.1007/s00381-020-04973-0. Epub 2020 Nov 24.
9
ETMR: a tumor entity in its infancy.ETMR:一种处于萌芽阶段的肿瘤实体。
Acta Neuropathol. 2020 Sep;140(3):249-266. doi: 10.1007/s00401-020-02182-2. Epub 2020 Jun 29.
10
Embryonal tumor with multilayered rosettes, C19MC-altered (ETMR): a newly defined pediatric brain tumor.伴有多层菊形团的胚胎性肿瘤,C19MC改变型(ETMR):一种新定义的儿童脑肿瘤。
Int J Clin Exp Pathol. 2019 Aug 1;12(8):3156-3163. eCollection 2019.

引用本文的文献

1
Evaluating the efficacy of radiotherapy in patients with embryonal tumor with multilayered rosettes: A systematic review and meta-analysis.评估多层菊形团胚胎性肿瘤患者放疗的疗效:一项系统评价和荟萃分析。
Neurooncol Pract. 2024 Nov 27;12(2):197-208. doi: 10.1093/nop/npae115. eCollection 2025 Apr.
2
Molecular mechanism and therapeutic strategies for embryonal tumors with multilayered rosettes in children (Review).儿童多层菊形团胚胎性肿瘤的分子机制与治疗策略(综述)
Mol Clin Oncol. 2025 Jan 27;22(3):30. doi: 10.3892/mco.2025.2825. eCollection 2025 Mar.
3
Genetic mutation and immune infiltration in embryonal tumor with multilayered rosettes.

本文引用的文献

1
Clinicopathological characteristics and outcomes in embryonal tumor with multilayered rosettes: A decade long experience from a tertiary care centre in North India.印度北部一家三级护理中心长达十年的经验:具有多层玫瑰花结的胚胎性肿瘤的临床病理特征和结局。
Ann Diagn Pathol. 2021 Aug;53:151745. doi: 10.1016/j.anndiagpath.2021.151745. Epub 2021 Apr 19.
2
ETMR: a tumor entity in its infancy.ETMR:一种处于萌芽阶段的肿瘤实体。
Acta Neuropathol. 2020 Sep;140(3):249-266. doi: 10.1007/s00401-020-02182-2. Epub 2020 Jun 29.
3
A C19MC-LIN28A-MYCN Oncogenic Circuit Driven by Hijacked Super-enhancers Is a Distinct Therapeutic Vulnerability in ETMRs: A Lethal Brain Tumor.
具有多层菊形团的胚胎性肿瘤中的基因突变和免疫浸润。
Childs Nerv Syst. 2024 Sep;40(9):2685-2696. doi: 10.1007/s00381-024-06461-1. Epub 2024 May 28.
C19MC-LIN28A-MYCN 致癌回路被劫持的超级增强子驱动,是 ETMR 中独特的治疗弱点:致命的脑肿瘤。
Cancer Cell. 2019 Jul 8;36(1):51-67.e7. doi: 10.1016/j.ccell.2019.06.002.
4
Embryonal Tumor with Multilayered Rosettes, C19MC-Altered: Clinical, Pathological, and Neuroimaging Findings.伴有多层菊形团的胚胎性肿瘤,C19MC 改变:临床、病理和神经影像学表现。
J Neuroimaging. 2018 Sep;28(5):483-489. doi: 10.1111/jon.12524. Epub 2018 May 24.
5
Embryonal tumor with multilayered rosettes: Diagnosis on intra-operative squash smear.伴有多层菊形团的胚胎性肿瘤:术中压片涂片诊断
Neuropathology. 2018 Mar 7. doi: 10.1111/neup.12460.
6
A mouse model for embryonal tumors with multilayered rosettes uncovers the therapeutic potential of Sonic-hedgehog inhibitors.一种具有多层玫瑰花结的胚胎肿瘤小鼠模型揭示了 Sonic-hedgehog 抑制剂的治疗潜力。
Nat Med. 2017 Oct;23(10):1191-1202. doi: 10.1038/nm.4402. Epub 2017 Sep 11.
7
An integrated expression atlas of miRNAs and their promoters in human and mouse.人类和小鼠中miRNA及其启动子的综合表达图谱。
Nat Biotechnol. 2017 Sep;35(9):872-878. doi: 10.1038/nbt.3947. Epub 2017 Aug 21.
8
Atypical teratoid/rhabdoid tumours: clinicopathological characteristics, prognostic factors and outcomes of 22 children from 2010 to 2015 in China.非典型畸胎样/横纹肌样肿瘤:2010年至2015年中国22例儿童患者的临床病理特征、预后因素及结局
Pathology. 2016 Oct;48(6):555-63. doi: 10.1016/j.pathol.2016.05.010. Epub 2016 Aug 21.
9
Embryonal tumors with multilayered rosettes in children: the SFCE experience.儿童多层菊形团胚胎性肿瘤:SFCE的经验
Childs Nerv Syst. 2016 Feb;32(2):299-305. doi: 10.1007/s00381-015-2920-2. Epub 2015 Oct 5.
10
Long-term survival in a case of ETANTR with histological features of neuronal maturation after therapy.1例经治疗后具有神经元成熟组织学特征的ETANTR患者的长期生存情况。
Virchows Arch. 2015 May;466(5):603-7. doi: 10.1007/s00428-015-1736-5. Epub 2015 Feb 20.