Suppr超能文献

一例粉碎性大多角骨骨折的手术治疗病例报告

A case report of comminuted trapezium fracture with surgical treatment.

作者信息

Eda Yusuke, Totoki Yasukazu, Nakagawa Tsukasa, Yamazaki Masashi

机构信息

Department of Orthopaedic Surgery, Ibaraki Western Medical Center, 555 Ootsuka, Chikusei, Ibaraki 308-0813, Japan.

Department of Emergency and Critical Care Medicine, University of Tsukuba Hospital, 2-1-1 Amakubo, Tsukuba, Ibaraki 305-8576, Japan.

出版信息

Trauma Case Rep. 2022 Nov 3;42:100732. doi: 10.1016/j.tcr.2022.100732. eCollection 2022 Dec.

Abstract

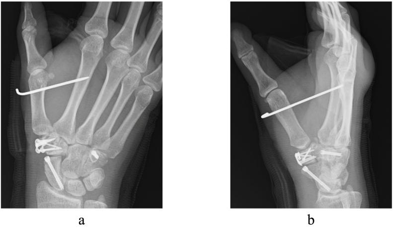
Comminuted trapezium fracture is very rare. As the trapezium is necessary for thumb movements, delayed diagnosis and treatment can result in thumb carpometacarpal (CM) joint osteoarthritis and restricted mobility. The K-wire or screw fixation is recommended for repairing displaced fractures. However, there is currently no established treatment protocol for this rare fracture. In trapezium fracture, a technique with K-wire fixation in addition to open reduction and internal fixation (ORIF) has been reported with favorable clinical outcomes. In this report, we present a case of comminuted trapezium fracture successfully treated with surgery. The present case involved a 26-year-old woman who was injured while driving her car, which led to a comminuted trapezium fracture. ORIF was conducted with headless screws and a locking plate, and the first and second metacarpals were temporarily fixed by K-wire with the thumb in traction. Six months after surgery, bony union and favorable clinical outcomes were achieved. This technique could be beneficial to prevent articular surface collapse in the comminuted trapezium fracture and to achieve favorable clinical outcomes.

摘要

粉碎性大多角骨骨折非常罕见。由于大多角骨对于拇指活动至关重要,延迟诊断和治疗会导致拇指腕掌关节骨关节炎和活动受限。对于移位骨折的修复,建议使用克氏针或螺钉固定。然而,目前对于这种罕见骨折尚无既定的治疗方案。在大多角骨骨折中,有报道称一种除切开复位内固定(ORIF)外还采用克氏针固定的技术取得了良好的临床效果。在本报告中,我们展示了一例通过手术成功治疗的粉碎性大多角骨骨折病例。该病例为一名26岁女性,她在驾驶汽车时受伤,导致粉碎性大多角骨骨折。采用无头螺钉和锁定钢板进行切开复位内固定,并在拇指牵引下用克氏针临时固定第一和第二掌骨。术后6个月,实现了骨愈合并取得了良好的临床效果。该技术可能有助于防止粉碎性大多角骨骨折的关节面塌陷,并取得良好的临床效果。

https://cdn.ncbi.nlm.nih.gov/pmc/blobs/9304/9663527/32613c74c7c4/gr1.jpg

文献AI研究员

20分钟写一篇综述,助力文献阅读效率提升50倍。

立即体验

用中文搜PubMed

大模型驱动的PubMed中文搜索引擎

马上搜索

文档翻译

学术文献翻译模型,支持多种主流文档格式。

立即体验