Suppr超能文献

神经肽垂体腺苷酸环化酶激活肽可减轻弓形虫感染诱导的神经炎症和神经元损伤。

The neuropeptide PACAP alleviates T. gondii infection-induced neuroinflammation and neuronal impairment.

作者信息

Figueiredo Caio Andreeta, Düsedau Henning Peter, Steffen Johannes, Ehrentraut Stefanie, Dunay Miklos P, Toth Gabor, Reglödi Dora, Heimesaat Markus M, Dunay Ildiko Rita

机构信息

Institute of Inflammation and Neurodegeneration, Health Campus Immunology, Infectiology and Inflammation (GC-I3), Otto-Von-Guericke University, Magdeburg, Germany.

Department and Clinic of Surgery and Ophthalmology, University of Veterinary Medicine, Budapest, Hungary.

出版信息

J Neuroinflammation. 2022 Nov 19;19(1):274. doi: 10.1186/s12974-022-02639-z.

Abstract

BACKGROUND

Cerebral infection with the protozoan Toxoplasma gondii (T. gondii) is responsible for inflammation of the central nervous system (CNS) contributing to subtle neuronal alterations. Albeit essential for brain parasite control, continuous microglia activation and recruitment of peripheral immune cells entail distinct neuronal impairment upon infection-induced neuroinflammation. PACAP is an endogenous neuropeptide known to inhibit inflammation and promote neuronal survival. Since PACAP is actively transported into the CNS, we aimed to assess the impact of PACAP on the T. gondii-induced neuroinflammation and subsequent effects on neuronal homeostasis.

METHODS

Exogenous PACAP was administered intraperitoneally in the chronic stage of T. gondii infection, and brains were isolated for histopathological analysis and determination of pathogen levels. Immune cells from the brain, blood, and spleen were analyzed by flow cytometry, and the further production of inflammatory mediators was investigated by intracellular protein staining as well as expression levels by RT-qPCR. Neuronal and synaptic alterations were assessed on the transcriptional and protein level, focusing on neurotrophins, neurotrophin-receptors and signature synaptic markers.

RESULTS

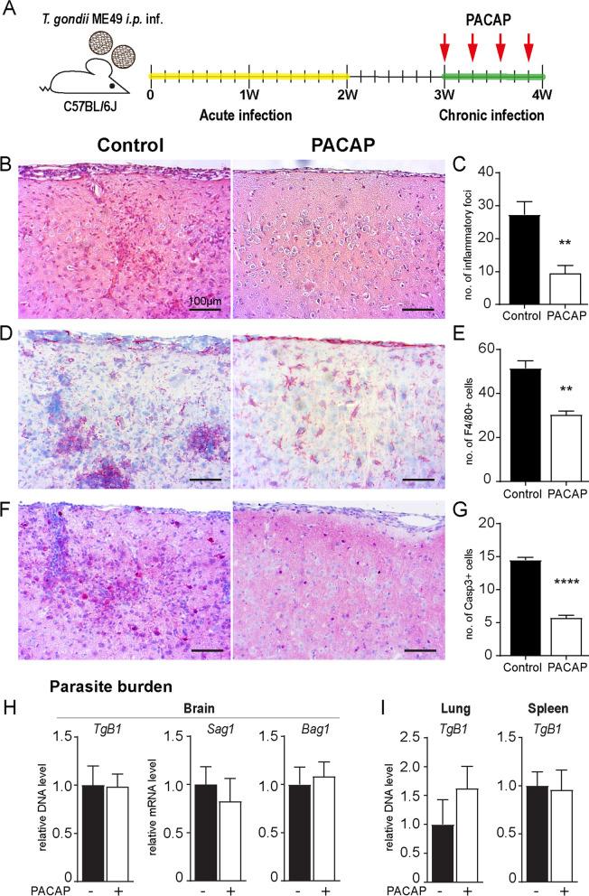
Here, we reveal that PACAP administration reduced the inflammatory foci and the number of apoptotic cells in the brain parenchyma and restrained the activation of microglia and recruitment of monocytes. The neuropeptide reduced the expression of inflammatory mediators such as IFN-γ, IL-6, iNOS, and IL-1β. Moreover, PACAP diminished IFN-γ production by recruited CD4 T cells in the CNS. Importantly, PACAP promoted neuronal health via increased expression of the neurotrophin BDNF and reduction of p75, a receptor related to neuronal cell death. In addition, PACAP administration was associated with increased expression of transporters involved in glutamatergic and GABAergic signaling that are particularly affected during cerebral toxoplasmosis.

CONCLUSIONS

Together, our findings unravel the beneficial effects of exogenous PACAP treatment upon infection-induced neuroinflammation, highlighting the potential implication of neuropeptides to promote neuronal survival and minimize synaptic prejudice.

摘要

背景

原生动物刚地弓形虫(T. gondii)引起的脑部感染会导致中枢神经系统(CNS)炎症,进而造成细微的神经元改变。尽管小胶质细胞持续激活和外周免疫细胞募集对于控制脑内寄生虫至关重要,但在感染诱导的神经炎症过程中会导致明显的神经元损伤。垂体腺苷酸环化酶激活肽(PACAP)是一种内源性神经肽,已知其具有抑制炎症和促进神经元存活的作用。由于PACAP可被主动转运至中枢神经系统,我们旨在评估PACAP对弓形虫诱导的神经炎症的影响以及对神经元稳态的后续作用。

方法

在弓形虫感染的慢性期经腹腔注射外源性PACAP,然后分离脑组织进行组织病理学分析并测定病原体水平。通过流式细胞术分析脑、血液和脾脏中的免疫细胞,并通过细胞内蛋白染色研究炎症介质的进一步产生情况,通过逆转录定量聚合酶链反应(RT-qPCR)检测其表达水平。在转录和蛋白质水平评估神经元和突触的改变,重点关注神经营养因子、神经营养因子受体和标志性突触标记物。

结果

在此,我们发现给予PACAP可减少脑实质中的炎症灶和凋亡细胞数量,并抑制小胶质细胞的激活和单核细胞的募集。该神经肽可降低炎症介质如干扰素-γ(IFN-γ)、白细胞介素-6(IL-6)、诱导型一氧化氮合酶(iNOS)和白细胞介素-1β(IL-1β)的表达。此外,PACAP可减少中枢神经系统中募集的CD4 T细胞产生的IFN-γ。重要的是,PACAP通过增加神经营养因子脑源性神经营养因子(BDNF)的表达和减少与神经元细胞死亡相关的受体p75来促进神经元健康。此外,给予PACAP与参与谷氨酸能和γ-氨基丁酸能(GABAergic)信号传导的转运体表达增加有关,这些转运体在脑弓形虫病期间受到特别影响。

结论

总之,我们的研究结果揭示了外源性PACAP治疗对感染诱导的神经炎症的有益作用,突出了神经肽在促进神经元存活和最小化突触损伤方面的潜在意义。

https://cdn.ncbi.nlm.nih.gov/pmc/blobs/e8bb/9675261/216e348f643f/12974_2022_2639_Fig1_HTML.jpg

相似文献

10
Behavior of Neutrophil Granulocytes during Infection in the Central Nervous System.中性粒细胞在中枢神经系统感染期间的行为
Front Cell Infect Microbiol. 2017 Jun 21;7:259. doi: 10.3389/fcimb.2017.00259. eCollection 2017.

引用本文的文献

5
The emerging role of in periodontal diseases and underlying mechanisms.在牙周病中的新兴作用及其潜在机制。
Front Immunol. 2024 Oct 3;15:1464108. doi: 10.3389/fimmu.2024.1464108. eCollection 2024.

本文引用的文献

8
A single-cell type transcriptomics map of human tissues.人类组织单细胞转录组图谱。
Sci Adv. 2021 Jul 28;7(31). doi: 10.1126/sciadv.abh2169. Print 2021 Jul.

文献检索

告别复杂PubMed语法,用中文像聊天一样搜索,搜遍4000万医学文献。AI智能推荐,让科研检索更轻松。

立即免费搜索

文件翻译

保留排版,准确专业,支持PDF/Word/PPT等文件格式,支持 12+语言互译。

免费翻译文档

深度研究

AI帮你快速写综述,25分钟生成高质量综述,智能提取关键信息,辅助科研写作。

立即免费体验