• 文献检索
  • 文档翻译
  • 深度研究
  • 学术资讯
  • Suppr Zotero 插件Zotero 插件
  • 邀请有礼
  • 套餐&价格
  • 历史记录
应用&插件
Suppr Zotero 插件Zotero 插件浏览器插件Mac 客户端Windows 客户端微信小程序
定价
高级版会员购买积分包购买API积分包
服务
文献检索文档翻译深度研究API 文档MCP 服务
关于我们
关于 Suppr公司介绍联系我们用户协议隐私条款
关注我们

Suppr 超能文献

核心技术专利:CN118964589B侵权必究
粤ICP备2023148730 号-1Suppr @ 2026

文献检索

告别复杂PubMed语法,用中文像聊天一样搜索,搜遍4000万医学文献。AI智能推荐,让科研检索更轻松。

立即免费搜索

文件翻译

保留排版,准确专业,支持PDF/Word/PPT等文件格式,支持 12+语言互译。

免费翻译文档

深度研究

AI帮你快速写综述,25分钟生成高质量综述,智能提取关键信息,辅助科研写作。

立即免费体验

二尖瓣环纤维带——一种罕见先天性二尖瓣异常的独特形态学变异:病例报告

Mitral annular fibrous band-a unique morphological variant of a rare congenital mitral valve anomaly: a case report.

作者信息

Okafor Joseph, Vamvakidou Anastasia, Lyons Alexander R, Khattar Rajdeep

机构信息

Royal Brompton Hospital and National Heart and Lung Institute, Imperial College London, London SW3 6NP, UK.

出版信息

Eur Heart J Case Rep. 2022 Nov 15;6(11):ytac444. doi: 10.1093/ehjcr/ytac444. eCollection 2022 Nov.

DOI:10.1093/ehjcr/ytac444
PMID:36405541
原文链接:https://pmc.ncbi.nlm.nih.gov/articles/PMC9671287/
Abstract

BACKGROUND

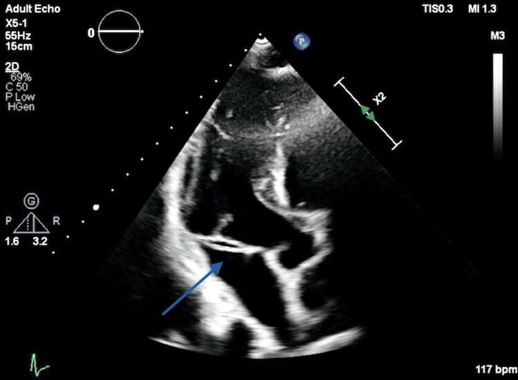
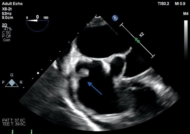
Left atrial bands are rare and can be associated with mitral valve dysfunction, heart failure, and stroke. Most cases are identified on autopsy, and the demonstration is very uncommon. Various anatomical configurations have been reported. This description of a mitral annular fibrous band contributes to the literature as the first reported case to traverse the supravalvular mitral inflow region, without involving the left atrium.

CASE SUMMARY

A 59-year-old man with a history of metastatic duodenal carcinoma was admitted with a 2-week history of fever and rigors. Inflammatory markers were elevated and blood cultures positive for . Transoesophageal echocardiography performed to investigate for infective endocarditis revealed a 2.3 cm long, thin fibrous band attached to the posterior mitral annulus and extending to the base of the middle scallop of the anterior mitral valve leaflet causing localized tethering, but no valve dysfunction. The band was felt to represent a bystander anatomic variant unrelated to the sepsis, which was most likely gastrointestinal in origin. The patient responded well to intravenous antibiotics.

CONCLUSIONS

The presence of an abnormal intracardiac structure in the setting of occult infection should always raise the suspicion of infective endocarditis. Using detailed 2D multiplanar and 3D transoesophageal echocardiography, we were able to identify the anomalous band and exclude any overt infective vegetations attached to the band or the leaflets. Once identified, treatment options range from conservative management to surgical resection and mitral valve surgery if concomitant valvular dysfunction is demonstrated.

摘要

背景

左心房带罕见,可与二尖瓣功能障碍、心力衰竭和中风相关。大多数病例在尸检时发现,而通过影像学显示则非常罕见。已报道了各种解剖结构。本文对二尖瓣环纤维带的描述作为首例报道的横跨二尖瓣流入瓣上区域且不涉及左心房的病例,丰富了文献资料。

病例摘要

一名有转移性十二指肠癌病史的59岁男性因发热和寒战2周入院。炎症指标升高,血培养阳性。为调查感染性心内膜炎而进行的经食管超声心动图检查显示,一条2.3厘米长的细纤维带附着于二尖瓣后环,并延伸至二尖瓣前叶中间扇贝形瓣叶的基部,导致局部受限,但无瓣膜功能障碍。该纤维带被认为是一种与脓毒症无关的旁观者解剖变异,脓毒症很可能起源于胃肠道。患者对静脉使用抗生素反应良好。

结论

在隐匿性感染情况下出现心脏内异常结构应始终怀疑感染性心内膜炎。通过详细的二维多平面和三维经食管超声心动图,我们能够识别出异常纤维带,并排除附着于该纤维带或瓣叶上的任何明显感染性赘生物。一旦识别出来,治疗方案从保守治疗到手术切除,如果证明伴有瓣膜功能障碍则进行二尖瓣手术。

https://cdn.ncbi.nlm.nih.gov/pmc/blobs/d734/9671287/096824bc882d/ytac444f3.jpg
https://cdn.ncbi.nlm.nih.gov/pmc/blobs/d734/9671287/0af8ac81a244/ytac444f1.jpg
https://cdn.ncbi.nlm.nih.gov/pmc/blobs/d734/9671287/bb1a9e35d835/ytac444f2.jpg
https://cdn.ncbi.nlm.nih.gov/pmc/blobs/d734/9671287/096824bc882d/ytac444f3.jpg
https://cdn.ncbi.nlm.nih.gov/pmc/blobs/d734/9671287/0af8ac81a244/ytac444f1.jpg
https://cdn.ncbi.nlm.nih.gov/pmc/blobs/d734/9671287/bb1a9e35d835/ytac444f2.jpg
https://cdn.ncbi.nlm.nih.gov/pmc/blobs/d734/9671287/096824bc882d/ytac444f3.jpg

相似文献

1
Mitral annular fibrous band-a unique morphological variant of a rare congenital mitral valve anomaly: a case report.二尖瓣环纤维带——一种罕见先天性二尖瓣异常的独特形态学变异:病例报告
Eur Heart J Case Rep. 2022 Nov 15;6(11):ytac444. doi: 10.1093/ehjcr/ytac444. eCollection 2022 Nov.
2
"To Fix a Broken Heart": An Unusual Case of Infective Endocarditis Involving the Mitral Valve With Perforation and Hemodynamic Instability.“修复破碎的心”:一例罕见的感染性心内膜炎病例,累及二尖瓣并伴有穿孔和血流动力学不稳定
Cureus. 2021 Sep 28;13(9):e18367. doi: 10.7759/cureus.18367. eCollection 2021 Sep.
3
When what appears to be mitral stenosis is not: diagnostic and therapeutic implications.
Rev Port Cardiol. 2014 Jul-Aug;33(7-8):471.e1-6. doi: 10.1016/j.repc.2014.03.002. Epub 2014 Aug 7.
4
Considerations in caseous calcification of the mitral annulus: a case report.二尖瓣环干酪样钙化的相关考量:一例病例报告
Eur Heart J Case Rep. 2022 Nov 14;6(11):ytac442. doi: 10.1093/ehjcr/ytac442. eCollection 2022 Nov.
5
Left atrial dissection associated with disruption of mitral annular calcification: a case report.左心房夹层伴二尖瓣环钙化破裂:一例报告
Eur Heart J Case Rep. 2022 Mar 3;6(3):ytac106. doi: 10.1093/ehjcr/ytac106. eCollection 2022 Mar.
6
[A patient with mitral stenosis due to infective endocarditis].[一名因感染性心内膜炎导致二尖瓣狭窄的患者]
J Cardiol. 1997;29 Suppl 2:125-8.
7
Anomalous mitral arcade in twin-twin transfusion syndrome.双胎输血综合征中的二尖瓣弓异常。
Circulation. 2010 Oct 12;122(15):1456-63. doi: 10.1161/CIRCULATIONAHA.110.941443. Epub 2010 Sep 27.
8
Infective endocarditis presenting initially with ileus complicated by dehiscence of annuloplasty ring.感染性心内膜炎最初表现为肠梗阻,并伴有瓣环成形环裂开。
BMC Cardiovasc Disord. 2015 Oct 14;15:124. doi: 10.1186/s12872-015-0113-2.
9
A Band That Causes Leaky Valves: Severe Mitral Regurgitation due to Left Atrial Fibrous Band-A Case Report and Literature Review.导致瓣膜渗漏的束带:左心房纤维束带所致严重二尖瓣反流——病例报告及文献综述
Case Rep Cardiol. 2019 Mar 19;2019:2458569. doi: 10.1155/2019/2458569. eCollection 2019.
10
Differentiating clinical and echocardiographic characteristics of chordal rupture detected in patients with rheumatic mitral valve disease and floppy mitral valve: impact of the infective endocarditis on chordal rupture.风湿性二尖瓣疾病和二尖瓣脱垂患者中检测到的腱索断裂的临床和超声心动图特征鉴别:感染性心内膜炎对腱索断裂的影响。
Eur J Echocardiogr. 2005 Mar;6(2):117-26. doi: 10.1016/j.euje.2004.07.011.

本文引用的文献

1
Anomalous left atrial chord as a rare cause of mitral regurgitation.异常左房索带作为二尖瓣反流的罕见原因。
Eur Heart J Case Rep. 2020 Nov 19;4(6):1-2. doi: 10.1093/ehjcr/ytaa337. eCollection 2020 Dec.
2
Anomalous band in the left atrium: a rare embryologic remnant causing severe mitral regurgitation.左心房异常束带:一种导致严重二尖瓣反流的罕见胚胎残留结构。
Eur Heart J Case Rep. 2020 Jul 24;4(4):1-2. doi: 10.1093/ehjcr/ytaa165. eCollection 2020 Aug.
3
A Band That Causes Leaky Valves: Severe Mitral Regurgitation due to Left Atrial Fibrous Band-A Case Report and Literature Review.
导致瓣膜渗漏的束带:左心房纤维束带所致严重二尖瓣反流——病例报告及文献综述
Case Rep Cardiol. 2019 Mar 19;2019:2458569. doi: 10.1155/2019/2458569. eCollection 2019.
4
Left atrial anomalous muscular band as incidental finding during video-assisted mitral surgery.左心房异常肌束在电视辅助二尖瓣手术中作为偶然发现。
J Thorac Dis. 2018 Jul;10(7):E538-E540. doi: 10.21037/jtd.2018.07.05.
5
Left atrial anomalous muscular band detected by computed tomography before catheter ablation in a patient with atrial fibrillation.在一名房颤患者中,计算机断层扫描在导管消融术前检测到左心房异常肌束。
J Arrhythm. 2015 Feb;31(1):64-5. doi: 10.1016/j.joa.2014.06.004. Epub 2014 Aug 7.
6
Cryptogenic stroke in two cases with left atrial band: coincidence or cause?两例左心房束带合并隐源性卒中:巧合还是病因?
Eur J Echocardiogr. 2009 Mar;10(2):360-1. doi: 10.1093/ejechocard/jen302. Epub 2008 Nov 13.
7
Mitral supravalvular fibrous band: a rare congenital anomaly of the mitral valve.二尖瓣瓣上纤维带:一种罕见的二尖瓣先天性异常。
Eur J Echocardiogr. 2007 Mar;8(2):93. doi: 10.1016/j.euje.2006.06.011.
8
Accessory fibrous band causing anterior mitral valve leaflet restriction.导致二尖瓣前叶受限的附属纤维带。
Ann Thorac Surg. 2002 Aug;74(2):592-3. doi: 10.1016/s0003-4975(02)03515-4.
9
Prevalence and clinical significance of anomalous muscular band in the left atrium.
Am J Cardiovasc Pathol. 1993;4(4):286-93.
10
Anomalous bands in the heart.心脏中的异常条带。
Br Heart J. 1972 Feb;34(2):210-2. doi: 10.1136/hrt.34.2.210.