Suppr超能文献

腹膜后脂肪肉瘤:巨大型

Retroperitoneal Liposarcoma: The Giant Type.

作者信息

Mansour Subhi, Azzam Nassim, Kluger Yoram, Khuri Safi

机构信息

Department of General Surgery, Rambam Medical Care Center, Haifa, Israel.

HepatoPancreatoBiliary and Surgical Oncology Unit, Rambam Medical Care Center, Haifa, Israel.

出版信息

J Med Cases. 2022 Oct;13(10):517-520. doi: 10.14740/jmc4014. Epub 2022 Oct 31.

Abstract

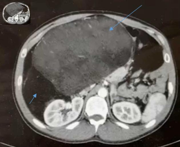
Retroperitoneal tumors (RPTs) are very rare tumors that arise in the large space of the retroperitoneum. About two-third of these tumors are malignant, of which soft tissue sarcoma (STS) is the most common and comprises almost one-third of malignant RPTs. Twenty to thirty percent of RPTs are benign. The retroperitoneal cavity has a very large potential space for tumor enlargement to a very high diameters without causing specific symptoms, especially during the initial phase of tumor enlargement. On diagnosis, the average tumor weight is 15 - 20 kg and tumor diameter is 20 - 25 cm. The most common retroperitoneal sarcoma type is liposarcoma, which account for 20% of all sarcoma types and 40% of all retroperitoneal sarcomas (RPSs). Other less common STS arise in the retroperitoneum include leiomyosarcoma and undifferentiated pleomorphic type. Giant liposarcoma is usually defined either as tumor diameter of 30 cm or more or tumor weight of 20 kg or higher. This specific type of sarcoma is very uncommon, with few case reports published in the English literature. Herein, we present a case of a healthy 33-year-old male patient, who was admitted due to abdominal distension and increased body weight since few months. An abdominopelvic computed tomography (CT) scan demonstrated a giant retroperitoneal mass of almost 40 cm in diameter in its largest dimension, located in the right retroperitoneal space. Ultrasound (US)-guided fine needle biopsy (FNB) was consistent with well differentiated liposarcoma. Surgical resection of the tumor along with the right colon, right ureter and kidney, third and fourth duodenal parts and part of the right iliopsoas muscle was contemplated. Histopathological report revealed well-differentiated liposarcoma of 50 cm in diameter, with foci of dedifferentiation, presented by pleomorphic sarcoma. Surgical margins were microscopically negative.

摘要

腹膜后肿瘤(RPTs)是发生于腹膜后大间隙的非常罕见的肿瘤。这些肿瘤约三分之二为恶性,其中软组织肉瘤(STS)最为常见,几乎占恶性RPTs的三分之一。20%至30%的RPTs为良性。腹膜后腔有非常大的潜在空间,肿瘤可在其中增大至非常大的直径而不引起特定症状,尤其是在肿瘤增大的初始阶段。诊断时,肿瘤平均重量为15至20千克,肿瘤直径为20至25厘米。最常见的腹膜后肉瘤类型是脂肪肉瘤,占所有肉瘤类型的20%,占所有腹膜后肉瘤(RPSs)的40%。其他较少见的发生于腹膜后的STS包括平滑肌肉瘤和未分化多形性类型。巨大脂肪肉瘤通常定义为肿瘤直径30厘米或更大或肿瘤重量20千克或更高。这种特殊类型的肉瘤非常罕见,英文文献中发表的病例报告很少。在此,我们报告一例健康的33岁男性患者,因数月来腹胀和体重增加入院。腹部盆腔计算机断层扫描(CT)显示右腹膜后间隙有一个最大直径近40厘米的巨大腹膜后肿块。超声(US)引导下细针穿刺活检(FNB)结果与高分化脂肪肉瘤一致。考虑对肿瘤连同右结肠、右输尿管和肾脏、十二指肠第三和第四部分以及部分右髂腰肌进行手术切除。组织病理学报告显示为直径50厘米的高分化脂肪肉瘤,伴有去分化灶,表现为多形性肉瘤。手术切缘显微镜检查为阴性。

https://cdn.ncbi.nlm.nih.gov/pmc/blobs/d5bf/9635766/3c2bbdd706fa/jmc-13-517-g001.jpg

文献检索

告别复杂PubMed语法,用中文像聊天一样搜索,搜遍4000万医学文献。AI智能推荐,让科研检索更轻松。

立即免费搜索

文件翻译

保留排版,准确专业,支持PDF/Word/PPT等文件格式,支持 12+语言互译。

免费翻译文档

深度研究

AI帮你快速写综述,25分钟生成高质量综述,智能提取关键信息,辅助科研写作。

立即免费体验