Suppr超能文献

病理性近视眼中的视盘及视盘周围出血。

Papillary and Peripapillary Hemorrhages in Eyes With Pathologic Myopia.

机构信息

Department of Ophthalmology Visual Science, Tokyo Medical and Dental University, Tokyo, Japan.

出版信息

Invest Ophthalmol Vis Sci. 2022 Nov 1;63(12):28. doi: 10.1167/iovs.63.12.28.

Abstract

PURPOSE

To determine the prevalence, characteristics, and causes of papillary and peripapillary hemorrhages (PPHs) in eyes with pathologic myopia (PM).

METHODS

PM patients were retrospectively studied between 2011 and 2018. Fundus images were used to diagnose and classify the PPHs. Fundus fluorescein angiographic (FFA) and optical coherence tomographic (OCT) images were used to determine the status of the retinal vessels and tissue at and around the PPH sites. Visual field data determined by Goldmann perimetry and Humphrey visual field analyzer were also analyzed.

RESULTS

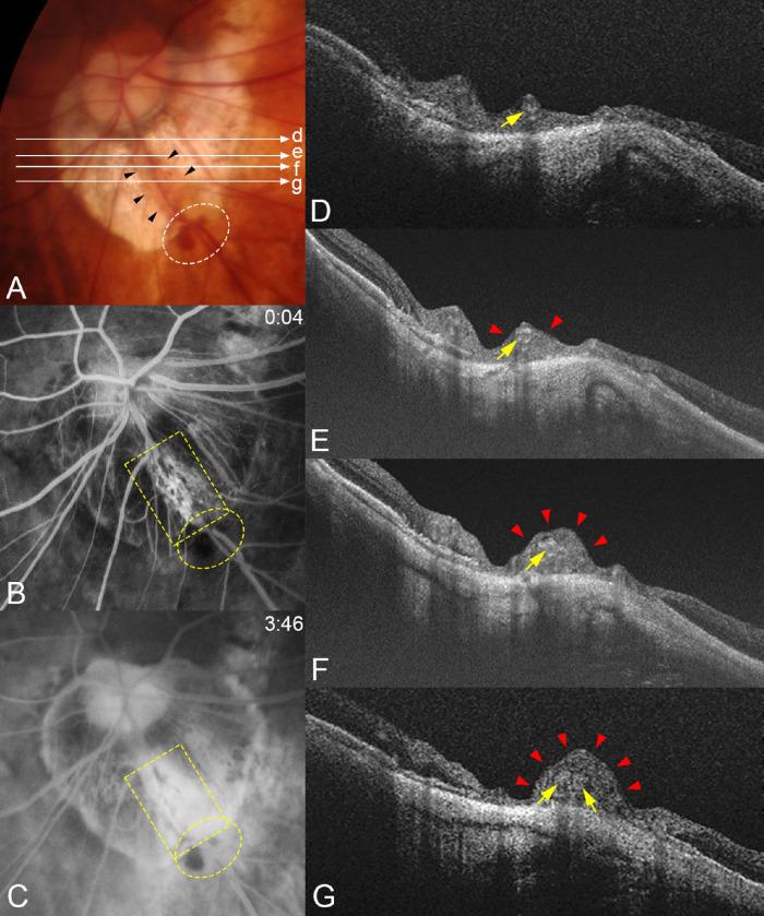
A total of 2171 PM patients (3774 eyes) were examined. Eighty-eight patients (97 eyes) had PPHs (mean age 66.8 ± 11.9 years; mean axial length 30.79 ± 2.17 mm) for a prevalence of 4.05%. Thirty (30.9%) eyes recurred. Among the 90 eyes with a single-site PPH, the most common type and location were the conus type (49 eyes, 54.4%) and the temporal side (66 eyes, 73.3%), respectively. Regression analysis showed that patchy atrophy reduced the risk of recurrences than diffuse atrophy (P < 0.05), whereas a longer axial length and potential glaucoma increased the risk (both P < 0.05). FFA and OCT showed that PPHs developed in the area of straightened retinal arterioles (24 eyes), at or beside the peak of a ridge (10 eyes), in an area of compressed retinal tissue (two eyes).

CONCLUSIONS

PPHs are present in 4.05% of PM eyes, and they are most often located in the temporal peripapillary atrophic region of the retina. Axial elongation, mild myopic maculopathy, and potential glaucoma are risk factors for recurrences.

摘要

目的

确定病理性近视(PM)眼中的乳头和视盘周围出血(PPH)的患病率、特征和原因。

方法

对 2011 年至 2018 年期间的 PM 患者进行回顾性研究。使用眼底图像诊断和分类 PPH。使用眼底荧光血管造影(FFA)和光学相干断层扫描(OCT)图像确定 PPH 部位的视网膜血管和组织的状态。还分析了由 Goldmann 视野计和 Humphrey 视野分析仪确定的视野数据。

结果

共检查了 2171 名 PM 患者(3774 只眼)。88 名患者(97 只眼)患有 PPH(平均年龄 66.8 ± 11.9 岁;平均眼轴长 30.79 ± 2.17mm),患病率为 4.05%。30 只眼(30.9%)复发。在 90 只单部位 PPH 眼中,最常见的类型和部位分别是圆锥型(49 只眼,54.4%)和颞侧(66 只眼,73.3%)。回归分析表明,斑状萎缩比弥漫性萎缩降低了复发的风险(P<0.05),而较长的眼轴和潜在青光眼则增加了风险(均 P<0.05)。FFA 和 OCT 显示 PPH 发生在直化的视网膜小动脉区域(24 只眼)、脊峰处或旁边(10 只眼)、受压的视网膜组织区域(2 只眼)。

结论

PPH 存在于 4.05%的 PM 眼中,最常位于视网膜颞侧视盘周围萎缩区。眼轴延长、轻度近视性黄斑病变和潜在青光眼是复发的危险因素。

https://cdn.ncbi.nlm.nih.gov/pmc/blobs/e606/9695143/fbdf4430099e/iovs-63-12-28-f001.jpg

文献AI研究员

20分钟写一篇综述,助力文献阅读效率提升50倍。

立即体验

用中文搜PubMed

大模型驱动的PubMed中文搜索引擎

马上搜索

文档翻译

学术文献翻译模型,支持多种主流文档格式。

立即体验