• 文献检索
  • 文档翻译
  • 深度研究
  • 学术资讯
  • Suppr Zotero 插件Zotero 插件
  • 邀请有礼
  • 套餐&价格
  • 历史记录
应用&插件
Suppr Zotero 插件Zotero 插件浏览器插件Mac 客户端Windows 客户端微信小程序
定价
高级版会员购买积分包购买API积分包
服务
文献检索文档翻译深度研究API 文档MCP 服务
关于我们
关于 Suppr公司介绍联系我们用户协议隐私条款
关注我们

Suppr 超能文献

核心技术专利:CN118964589B侵权必究
粤ICP备2023148730 号-1Suppr @ 2026

文献检索

告别复杂PubMed语法,用中文像聊天一样搜索,搜遍4000万医学文献。AI智能推荐,让科研检索更轻松。

立即免费搜索

文件翻译

保留排版,准确专业,支持PDF/Word/PPT等文件格式,支持 12+语言互译。

免费翻译文档

深度研究

AI帮你快速写综述,25分钟生成高质量综述,智能提取关键信息,辅助科研写作。

立即免费体验

一名20岁成年人的乳头状汗腺囊腺瘤:病例报告及文献综述

Syringocystadenoma papilliferum in a 20-year-old adult: a case report and literature review.

作者信息

Candrawinata Valeska Siulinda, Koerniawan Heru Sutanto, Prasetiyo Patricia Diana, Baskoro Bernard Agung

机构信息

Faculty of Medicine, Pelita Harapan University, Tangerang, Indonesia.

Department of Surgery, Faculty of Medicine, Pelita Harapan University, Siloam General Hospital, Tangerang, Indonesia.

出版信息

J Surg Case Rep. 2022 Oct 25;2022(10):rjac470. doi: 10.1093/jscr/rjac470. eCollection 2022 Oct.

DOI:10.1093/jscr/rjac470
PMID:36419953
原文链接:https://pmc.ncbi.nlm.nih.gov/articles/PMC9596167/
Abstract

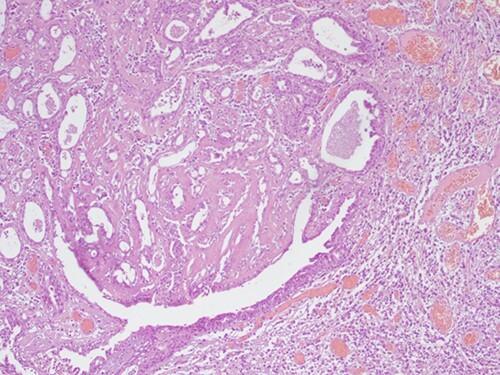
Syringocystadenoma papilliferum is a rare, benign hamartomatous neoplasm of skin adnexal originating from pluripotent cells differentiating into either apocrine or eccrine sweat glands. It usually appears at birth, during infancy or puberty and commonly located at head and neck. This case report illustrates a rare occurrence at an atypical anatomical location and unusual onset. In this case report, we report a 20-year-old female with a chief complain of solitary pink-brown color fleshy plaque with soft-medium consistency on her left flank region since the last 7 months. She underwent complete surgical excision and histopathology examination, which confirmed the diagnosis as syringocystadenoma papilliferum without sign of malignancy, with main characteristics histologically include cystic invaginations from the epidermis lined by double layers of epithelial and myoepithelial cells. Despite having benign characteristics, rare transformations to malignancy have been reported. Therefore, complete surgical excision and histopathology examination should be done in suspicion of syringocystadenoma papilliferum.

摘要

乳头状汗管囊腺瘤是一种罕见的皮肤附属器良性错构瘤性肿瘤,起源于多能细胞,可分化为顶泌汗腺或小汗腺。它通常在出生时、婴儿期或青春期出现,常见于头颈部。本病例报告展示了其在非典型解剖部位的罕见发生情况及不寻常的发病过程。在本病例报告中,我们报道了一名20岁女性,自7个月前起,其主要诉求为左侧胁腹区域有一个孤立的粉棕色肉质斑块,质地软至中等。她接受了完整的手术切除及组织病理学检查,结果确诊为乳头状汗管囊腺瘤,无恶性迹象,其主要组织学特征包括由双层上皮细胞和肌上皮细胞衬里的表皮囊性内陷。尽管具有良性特征,但已有罕见的恶变报道。因此,怀疑为乳头状汗管囊腺瘤时应进行完整的手术切除及组织病理学检查。

https://cdn.ncbi.nlm.nih.gov/pmc/blobs/5909/9596167/15ab2412f2c7/rjac470f7.jpg
https://cdn.ncbi.nlm.nih.gov/pmc/blobs/5909/9596167/a0ecf0552316/rjac470f1.jpg
https://cdn.ncbi.nlm.nih.gov/pmc/blobs/5909/9596167/bf325ed46fed/rjac470f2.jpg
https://cdn.ncbi.nlm.nih.gov/pmc/blobs/5909/9596167/7ba0e870af9f/rjac470f3.jpg
https://cdn.ncbi.nlm.nih.gov/pmc/blobs/5909/9596167/a412f0a9a9f5/rjac470f4.jpg
https://cdn.ncbi.nlm.nih.gov/pmc/blobs/5909/9596167/bfde118081d4/rjac470f5.jpg
https://cdn.ncbi.nlm.nih.gov/pmc/blobs/5909/9596167/05bc34938164/rjac470f6.jpg
https://cdn.ncbi.nlm.nih.gov/pmc/blobs/5909/9596167/15ab2412f2c7/rjac470f7.jpg
https://cdn.ncbi.nlm.nih.gov/pmc/blobs/5909/9596167/a0ecf0552316/rjac470f1.jpg
https://cdn.ncbi.nlm.nih.gov/pmc/blobs/5909/9596167/bf325ed46fed/rjac470f2.jpg
https://cdn.ncbi.nlm.nih.gov/pmc/blobs/5909/9596167/7ba0e870af9f/rjac470f3.jpg
https://cdn.ncbi.nlm.nih.gov/pmc/blobs/5909/9596167/a412f0a9a9f5/rjac470f4.jpg
https://cdn.ncbi.nlm.nih.gov/pmc/blobs/5909/9596167/bfde118081d4/rjac470f5.jpg
https://cdn.ncbi.nlm.nih.gov/pmc/blobs/5909/9596167/05bc34938164/rjac470f6.jpg
https://cdn.ncbi.nlm.nih.gov/pmc/blobs/5909/9596167/15ab2412f2c7/rjac470f7.jpg

相似文献

1
Syringocystadenoma papilliferum in a 20-year-old adult: a case report and literature review.一名20岁成年人的乳头状汗腺囊腺瘤:病例报告及文献综述
J Surg Case Rep. 2022 Oct 25;2022(10):rjac470. doi: 10.1093/jscr/rjac470. eCollection 2022 Oct.
2
Syringocystadenoma Papilliferum: A Challenging Clinical Diagnosis in a Patient With a Persistent Scalp Lesion After Trauma.乳头状汗管囊腺瘤:一名创伤后头皮持续病变患者的具有挑战性的临床诊断
Cureus. 2024 Sep 8;16(9):e68960. doi: 10.7759/cureus.68960. eCollection 2024 Sep.
3
Syringocystadenoma Papilliferum: A Case Report and Review of the Literature.乳头状汗管囊腺瘤:一例报告并文献复习
Case Rep Dermatol. 2019 Feb 14;11(1):36-39. doi: 10.1159/000497054. eCollection 2019 Jan-Apr.
4
Syringocystadenoma papilliferum in an unusual location.发生于不寻常部位的乳头状汗管囊腺瘤。
An Bras Dermatol. 2015 Nov-Dec;90(6):900-2. doi: 10.1590/abd1806-4841.20153862.
5
Syringocystadenoma papilliferum of the scalp in an adult male - a case report.成年男性头皮乳头状汗管囊腺瘤——病例报告
J Clin Diagn Res. 2013 Apr;7(4):742-3. doi: 10.7860/JCDR/2013/5452.2900. Epub 2013 Apr 1.
6
Syringocystadenoma Papilliferum of Sweat Gland of Caruncle: A Unique Case Report.小阴唇汗腺乳头状囊腺瘤:1例独特病例报告
Middle East Afr J Ophthalmol. 2017 Apr-Jun;24(2):103-105. doi: 10.4103/meajo.MEAJO_195_15.
7
Perianal Linear Syringocystadenoma Papilliferum: A Case Report with Review of the Literature.肛周线状乳头状汗管囊腺瘤:一例病例报告并文献复习
Iran J Pathol. 2023;18(4):483-487. doi: 10.30699/IJP.2023.1999659.3094. Epub 2023 Oct 15.
8
Syringocystadenoma Papilliferum of the Left Gluteal Region in an Adult Female Patient: A Case Report.成年女性患者左侧臀区乳头状汗管囊腺瘤:一例报告
Cureus. 2023 Sep 29;15(9):e46220. doi: 10.7759/cureus.46220. eCollection 2023 Sep.
9
Syringocystadenoma Papilliferum Revealed 12 Years After Surgical Treatment of Chronic Ear with Cholesteatoma: Presentation of an Unusual Case and Literature Review.十二年慢性胆脂瘤性中耳炎手术后并发乳头状汗管囊腺瘤 1 例报道及文献复习
J Int Adv Otol. 2022 Nov;18(6):544-547. doi: 10.5152/iao.2022.21594.
10
Syringocystadenoma papilliferum of the eyelid.眼睑乳头状汗管囊腺瘤
Ophthalmic Plast Reconstr Surg. 2009 May-Jun;25(3):185-8. doi: 10.1097/IOP.0b013e3181a39512.

引用本文的文献

1
Syringocystadenoma Papilliferum and Nevus Sebaceous of Jadassohn: Disentangling Rare Simultaneous Pathologies.乳头状汗管囊腺瘤与 Jadassohn 皮脂腺痣:解析罕见的同时存在的病变
Cureus. 2025 Aug 12;17(8):e89941. doi: 10.7759/cureus.89941. eCollection 2025 Aug.
2
A red nodule in the umbilicus of an older man.一位老年男性脐部的红色结节。
Skin Health Dis. 2025 Apr 29;5(2):158-160. doi: 10.1093/skinhd/vzaf018. eCollection 2025 Apr.
3
Syringocystadenoma Papilliferum: A Challenging Clinical Diagnosis in a Patient With a Persistent Scalp Lesion After Trauma.

本文引用的文献

1
Contiguous squamous proliferations in syringocystadenoma papilliferum: A retrospective study of 14 cases.乳头状汗管囊腺瘤中的连续鳞状上皮增生:14例回顾性研究
Indian J Dermatol Venereol Leprol. 2023 Jan-Mar;89(2):266-273. doi: 10.25259/IJDVL_845_20.
2
Nasal syringocystadenoma papilliferum in an elderly subject aggravated by Koebner's phenomenon after surgery: A case report.老年患者鼻腔乳头状囊腺瘤术后因Koebner现象加重:一例报告
Ann Med Surg (Lond). 2021 Aug 11;69:102678. doi: 10.1016/j.amsu.2021.102678. eCollection 2021 Sep.
3
Syringocystadenocarcinoma Papilliferum: A Case Report and Review of the Literature.
乳头状汗管囊腺瘤:一名创伤后头皮持续病变患者的具有挑战性的临床诊断
Cureus. 2024 Sep 8;16(9):e68960. doi: 10.7759/cureus.68960. eCollection 2024 Sep.
乳头状汗腺囊腺癌:一例报告并文献复习
Ann Dermatol. 2019 Oct;31(5):559-562. doi: 10.5021/ad.2019.31.5.559. Epub 2019 Aug 30.
4
Dermoscopic findings of de novo syringocystadenoma papilliferum.原发性乳头状汗管囊腺瘤的皮肤镜表现。
Indian J Dermatol Venereol Leprol. 2021 Mar-Apr;87(2):278-280. doi: 10.25259/IJDVL_575_20.
5
Syringocystadenoma Papilliferum: A Case Report and Review of the Literature.乳头状汗管囊腺瘤:一例报告并文献复习
Case Rep Dermatol. 2019 Feb 14;11(1):36-39. doi: 10.1159/000497054. eCollection 2019 Jan-Apr.
6
Dermoscopy of a rare case of linear syringocystadenoma papilliferum with review of the literature.一例罕见的线状乳头状汗管囊腺瘤的皮肤镜检查及文献复习
Dermatol Pract Concept. 2018 Jan 31;8(1):33-38. doi: 10.5826/dpc.0801a07. eCollection 2018 Jan.
7
A new case of syringocystadenocarcinoma papilliferum: a rare pathology for a wide-ranging comprehension.一例新的乳头状汗腺囊腺癌病例:一种需要广泛理解的罕见病理学情况。
Case Rep Med. 2014;2014:453874. doi: 10.1155/2014/453874. Epub 2014 May 15.
8
Syringocystadenoma papilliferum of the scalp in an adult male - a case report.成年男性头皮乳头状汗管囊腺瘤——病例报告
J Clin Diagn Res. 2013 Apr;7(4):742-3. doi: 10.7860/JCDR/2013/5452.2900. Epub 2013 Apr 1.
9
Verrucous carcinoma arising within syringocystadenoma papilliferum.
Ann Clin Lab Sci. 2002 Fall;32(4):434-7.