• 文献检索
  • 文档翻译
  • 深度研究
  • 学术资讯
  • Suppr Zotero 插件Zotero 插件
  • 邀请有礼
  • 套餐&价格
  • 历史记录
应用&插件
Suppr Zotero 插件Zotero 插件浏览器插件Mac 客户端Windows 客户端微信小程序
定价
高级版会员购买积分包购买API积分包
服务
文献检索文档翻译深度研究API 文档MCP 服务
关于我们
关于 Suppr公司介绍联系我们用户协议隐私条款
关注我们

Suppr 超能文献

核心技术专利:CN118964589B侵权必究
粤ICP备2023148730 号-1Suppr @ 2026

文献检索

告别复杂PubMed语法,用中文像聊天一样搜索,搜遍4000万医学文献。AI智能推荐,让科研检索更轻松。

立即免费搜索

文件翻译

保留排版,准确专业,支持PDF/Word/PPT等文件格式,支持 12+语言互译。

免费翻译文档

深度研究

AI帮你快速写综述,25分钟生成高质量综述,智能提取关键信息,辅助科研写作。

立即免费体验

乳头状汗管囊腺瘤与 Jadassohn 皮脂腺痣:解析罕见的同时存在的病变

Syringocystadenoma Papilliferum and Nevus Sebaceous of Jadassohn: Disentangling Rare Simultaneous Pathologies.

作者信息

Troupi Maria, Daskalopoulou Dimitra, Shehade Ameer, Kiknadze Theona, Oikonomidi Chrysovalanti, Chrysikos Dimosthenis, Troupis Theodore

机构信息

Department of Anatomy, National and Kapodistrian University of Athens School of Medicine, Athens, GRC.

Plastic and Reconstructive Surgery, Naval Hospital of Athens, Athens, GRC.

出版信息

Cureus. 2025 Aug 12;17(8):e89941. doi: 10.7759/cureus.89941. eCollection 2025 Aug.

DOI:10.7759/cureus.89941
PMID:40951014
原文链接:https://pmc.ncbi.nlm.nih.gov/articles/PMC12426341/
Abstract

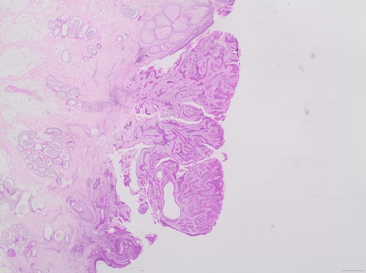
Nevus sebaceous of Jadassohn (NSJ) is a cutaneous benign hamartoma that has been associated with the development of malignant cutaneous tumors such as basal cell carcinoma (BCC). Its coexistence with benign cutaneous tumors has also been reported, while differential diagnosis is considered challenging due to comparable characteristics. Syringocystadenoma papilliferum (SCAP) is a rare benign adnexal tumor and its coexistence with NSJ constitutes an unusual entity, which may lead to diagnostic uncertainty and warrants histopathological examination due to potential malignant transformation. We report a case of a syringocystadenoma papilliferum in a 42-year-old female which developed over a longstanding nevus sebaceous of Jadassohn, presenting as an ulcerated nodule encircled by a hairless plaque on the scalp, a clinical association that presents diagnostic challenges and can resemble malignant skin tumors. Herein, this case highlights the importance of clinical suspicion and complete surgical excision as well as histopathological evaluation of evolving lesions to establish diagnosis and prevent the development of malignant neoplasms.

摘要

Jadassohn皮脂腺痣(NSJ)是一种皮肤良性错构瘤,与基底细胞癌(BCC)等恶性皮肤肿瘤的发生有关。其与良性皮肤肿瘤并存的情况也有报道,而由于特征相似,鉴别诊断颇具挑战性。乳头状汗管囊腺瘤(SCAP)是一种罕见的良性附属器肿瘤,它与NSJ并存构成一种不寻常的情况,这可能导致诊断不确定性,且因其有潜在恶变可能,故需进行组织病理学检查。我们报告一例42岁女性的乳头状汗管囊腺瘤,其发生于长期存在的Jadassohn皮脂腺痣之上,表现为头皮上一个溃疡结节,周围环绕着无毛斑块,这种临床关联带来了诊断挑战,且可能类似恶性皮肤肿瘤。在此,该病例强调了临床怀疑、完整手术切除以及对病变进展进行组织病理学评估以确立诊断并预防恶性肿瘤发生的重要性。

https://cdn.ncbi.nlm.nih.gov/pmc/blobs/6aef/12426341/6652dc3982be/cureus-0017-00000089941-i06.jpg
https://cdn.ncbi.nlm.nih.gov/pmc/blobs/6aef/12426341/bb068f6daf01/cureus-0017-00000089941-i01.jpg
https://cdn.ncbi.nlm.nih.gov/pmc/blobs/6aef/12426341/c6a5c838b106/cureus-0017-00000089941-i02.jpg
https://cdn.ncbi.nlm.nih.gov/pmc/blobs/6aef/12426341/9c38d773ec4d/cureus-0017-00000089941-i03.jpg
https://cdn.ncbi.nlm.nih.gov/pmc/blobs/6aef/12426341/c532245c3702/cureus-0017-00000089941-i04.jpg
https://cdn.ncbi.nlm.nih.gov/pmc/blobs/6aef/12426341/cef8baf8bda4/cureus-0017-00000089941-i05.jpg
https://cdn.ncbi.nlm.nih.gov/pmc/blobs/6aef/12426341/6652dc3982be/cureus-0017-00000089941-i06.jpg
https://cdn.ncbi.nlm.nih.gov/pmc/blobs/6aef/12426341/bb068f6daf01/cureus-0017-00000089941-i01.jpg
https://cdn.ncbi.nlm.nih.gov/pmc/blobs/6aef/12426341/c6a5c838b106/cureus-0017-00000089941-i02.jpg
https://cdn.ncbi.nlm.nih.gov/pmc/blobs/6aef/12426341/9c38d773ec4d/cureus-0017-00000089941-i03.jpg
https://cdn.ncbi.nlm.nih.gov/pmc/blobs/6aef/12426341/c532245c3702/cureus-0017-00000089941-i04.jpg
https://cdn.ncbi.nlm.nih.gov/pmc/blobs/6aef/12426341/cef8baf8bda4/cureus-0017-00000089941-i05.jpg
https://cdn.ncbi.nlm.nih.gov/pmc/blobs/6aef/12426341/6652dc3982be/cureus-0017-00000089941-i06.jpg

相似文献

1
Syringocystadenoma Papilliferum and Nevus Sebaceous of Jadassohn: Disentangling Rare Simultaneous Pathologies.乳头状汗管囊腺瘤与 Jadassohn 皮脂腺痣:解析罕见的同时存在的病变
Cureus. 2025 Aug 12;17(8):e89941. doi: 10.7759/cureus.89941. eCollection 2025 Aug.
2
Syringocystadenocarcinoma papilliferum: a systematic review of clinical characteristics, reappraisal of associations, diagnostic pitfalls and management challenges.汗管囊腺癌:临床特征的系统回顾、关联再评估、诊断陷阱和管理挑战。
Arch Dermatol Res. 2024 Jun 21;316(7):421. doi: 10.1007/s00403-024-03176-w.
3
Prescription of Controlled Substances: Benefits and Risks管制药品的处方:益处与风险
4
Trilogy Revisited: A Case Report of Co-Existing Nevus Sebaceous with Syringocystadenoma Papilliferum and Tubular Apocrine Adenoma.再探三部曲:皮脂腺痣合并乳头状汗管囊腺瘤和管状大汗腺腺瘤病例报告
Indian Dermatol Online J. 2021 Jul 14;12(4):577-579. doi: 10.4103/idoj.IDOJ_519_20. eCollection 2021 Jul-Aug.
5
Skin Cancer皮肤癌
6
Basal Cell Carcinoma and Syringocystadenoma Papilliferum Arising in Nevus Sebaceous on Face-A Rare Entity.面部皮脂腺痣并发基底细胞癌和乳头状汗管囊腺瘤——一种罕见情况。
Indian J Dermatol. 2015 Nov-Dec;60(6):637. doi: 10.4103/0019-5154.169159.
7
Should Be Removed or Taken Biopsy in Early Stage: A Retrospective Study of 953 Cases of Nevus Sebaceous From a Single Center.早期应切除或活检:单中心953例皮脂腺痣的回顾性研究
J Dermatol. 2025 Sep 10. doi: 10.1111/1346-8138.17941.
8
Molecular Profiling of Syringocystadenocarcinoma Papilliferum Reveals RAS-Activating Mutations.Syringocystadenocarcinoma Papilliferum 的分子特征分析揭示了 RAS 激活突变。
Arch Pathol Lab Med. 2024 Feb 1;148(2):215-222. doi: 10.5858/arpa.2022-0474-OA.
9
Dermoscopy of cutaneous adnexal tumours: a systematic review of the literature.皮肤附属器肿瘤的皮肤镜检查:文献系统综述。
J Eur Acad Dermatol Venereol. 2022 Sep;36(9):1524-1540. doi: 10.1111/jdv.18210. Epub 2022 May 25.
10
Osteonevus of Nanta-A Rare Case Report of a Cellular Blue Nevus with Ossification.南塔骨化性蓝痣——骨化性细胞蓝痣的罕见病例报告
Reports (MDPI). 2025 Aug 6;8(3):139. doi: 10.3390/reports8030139.

本文引用的文献

1
Syringocystadenoma Papilliferum: A Challenging Clinical Diagnosis in a Patient With a Persistent Scalp Lesion After Trauma.乳头状汗管囊腺瘤:一名创伤后头皮持续病变患者的具有挑战性的临床诊断
Cureus. 2024 Sep 8;16(9):e68960. doi: 10.7759/cureus.68960. eCollection 2024 Sep.
2
Unusual sites with variable presentation of syringocystadenoma papilliferum: A case series.乳头状汗管囊腺瘤表现多样的罕见部位:病例系列
J Family Med Prim Care. 2022 Oct;11(10):6593-6597. doi: 10.4103/jfmpc.jfmpc_688_22. Epub 2022 Oct 31.
3
Syringocystadenoma papilliferum in a 20-year-old adult: a case report and literature review.
一名20岁成年人的乳头状汗腺囊腺瘤:病例报告及文献综述
J Surg Case Rep. 2022 Oct 25;2022(10):rjac470. doi: 10.1093/jscr/rjac470. eCollection 2022 Oct.
4
Syringocystadenoma Papilliferum and Basal Cell Carcinoma Arising in Nevus Sebaceous.皮脂腺痣中发生的乳头状汗管囊腺瘤和基底细胞癌。
Clin Cosmet Investig Dermatol. 2022 Sep 23;15:2021-2026. doi: 10.2147/CCID.S378746. eCollection 2022.
5
Development of seven secondary neoplasms in a nevus sebaceous: a case report and literature review.皮脂腺痣中发生七种继发性肿瘤:一例报告及文献复习
Arch Craniofac Surg. 2022 Apr;23(2):83-88. doi: 10.7181/acfs.2022.00101. Epub 2022 Mar 30.
6
Nevus Sebaceous of the Scalp With Stepwise Progression Into Invasive Syringocystadenocarcinoma Papilliferum.头皮皮脂腺痣向侵袭性汗管囊腺癌乳头状结构演变。
Am J Dermatopathol. 2021 Dec 1;43(12):965-969. doi: 10.1097/DAD.0000000000002049.
7
Trilogy Revisited: A Case Report of Co-Existing Nevus Sebaceous with Syringocystadenoma Papilliferum and Tubular Apocrine Adenoma.再探三部曲:皮脂腺痣合并乳头状汗管囊腺瘤和管状大汗腺腺瘤病例报告
Indian Dermatol Online J. 2021 Jul 14;12(4):577-579. doi: 10.4103/idoj.IDOJ_519_20. eCollection 2021 Jul-Aug.
8
A Rare Occurrence of Sebaceous Carcinoma, Sebaceoma, Syringocystadenoma Papilliferum, and Trichoblastoma in a Single Nevus Sebaceous Lesion.一例罕见的皮脂腺痣病变中同时出现皮脂腺癌、皮脂腺瘤、乳头状汗管囊腺瘤和毛母细胞瘤。
Case Rep Dermatol. 2021 Jun 8;13(2):271-277. doi: 10.1159/000516351. eCollection 2021 May-Aug.
9
Secondary neoplasms associated with nevus sebaceus of Jadassohn: a study of 707 cases.继发于 Jadassohn 皮脂腺痣的恶性肿瘤:707 例研究。
J Am Acad Dermatol. 2014 Feb;70(2):332-7. doi: 10.1016/j.jaad.2013.10.004. Epub 2013 Nov 20.
10
Cutaneous leiomyosarcoma, trichoblastoma, and syringocystadenoma papilliferum arising from nevus sebaceus.源于皮脂腺痣的皮肤平滑肌肉瘤、毛发母细胞瘤和乳头状汗管囊腺瘤。
Int J Dermatol. 2007 Mar;46(3):306-8. doi: 10.1111/j.1365-4632.2007.03151.x.