Suppr超能文献

以复发性肠梗阻为表现的阑尾黏液性肿瘤

Appendiceal Mucinous Tumor Presenting as Recurrent Bowel Obstruction.

作者信息

Lin Wei-Tang, Wang Yen-Hsiang, Chen Wei-Yu, Lao Wilson T

机构信息

Department of Radiology, Wan Fang Hospital, Taipei Medical University, Taipei 116, Taiwan.

Department of Radiology, School of Medicine, College of Medicine, Taipei Medical University, Taipei 110, Taiwan.

出版信息

Diagnostics (Basel). 2022 Nov 17;12(11):2832. doi: 10.3390/diagnostics12112832.

Abstract

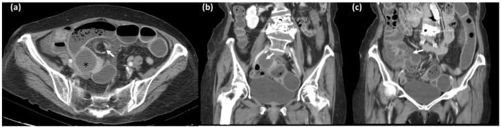
Appendiceal mucinous tumors are rare, with variable malignant potential, and they are usually found incidentally. Clinical symptoms are nonspecific. Rarely, appendiceal mucinous neoplasm causes bowel obstruction and makes diagnosis more difficult. We present a case of an 84-year-old female who came to our emergency department having had abdominal fullness and constipation for 5 days. Ileus, due to an affected adhesion band, was diagnosed initially, and symptoms improved gradually under conservative treatment. However, 3 months later she presented to the emergency department again with abdominal pain and distension; small bowel obstruction due to adhesion was again diagnosed. Recurrent bowel obstruction prompted emergent surgery. Operative findings showed a whitish appendiceal tumor adhering to and directly invading the adjacent ileum, with a segment of herniated small bowel wedged in between, causing the obstruction. Upon reviewing the initial computed tomography scan, the dilated tubular structure of appendiceal tumor was misrecognized as small bowel loop; there was no surrounding inflammatory sign, leading to diagnosis difficulty. Instead of a common cause of bowel obstruction, such as adhesion band, this case revealed bowel obstruction can be caused by the direct invasion of an appendiceal tumor. Awareness of this condition with careful image evaluation of small bowel obstruction is essential for diagnosis.

摘要

阑尾黏液性肿瘤较为罕见,恶性潜能各异,通常为偶然发现。临床症状不具特异性。阑尾黏液性肿瘤极少导致肠梗阻,使诊断更加困难。我们报告一例84岁女性患者,因腹部胀满和便秘5天前来我院急诊科就诊。最初诊断为因粘连带导致的肠梗阻,经保守治疗症状逐渐改善。然而,3个月后她再次因腹痛和腹胀到急诊科就诊;再次诊断为粘连性小肠梗阻。反复的肠梗阻促使进行急诊手术。手术所见显示一个白色的阑尾肿瘤附着并直接侵犯相邻的回肠,一段疝出的小肠夹在中间,导致梗阻。回顾最初的计算机断层扫描,阑尾肿瘤扩张的管状结构被误认作小肠袢;周围没有炎症迹象,导致诊断困难。该病例显示肠梗阻并非由粘连带等常见原因引起,而是由阑尾肿瘤的直接侵犯所致。认识到这种情况并对小肠梗阻进行仔细的影像评估对诊断至关重要。

https://cdn.ncbi.nlm.nih.gov/pmc/blobs/22ec/9689930/1c998b61212e/diagnostics-12-02832-g001.jpg

文献AI研究员

20分钟写一篇综述,助力文献阅读效率提升50倍。

立即体验

用中文搜PubMed

大模型驱动的PubMed中文搜索引擎

马上搜索

文档翻译

学术文献翻译模型,支持多种主流文档格式。

立即体验