Suppr超能文献

腹腔镜肾癌淋巴结清扫术后难治性乳糜腹水腹腔镜修复术中,采用节点内超声引导经皮注射亚甲蓝以识别渗漏点

Intranodal Ultrasound-Guided Percutaneous Methylene Blue Injection for the Identification of Leakage Point during Laparoscopic Repair of Refractory Chylous Ascites after Laparoscopic Lymphadenectomy for Kidney Cancer.

作者信息

Otaola-Arca Hugo, Vargas Patricio, Hasson Daniel, Orvieto Marcelo, Niño-Taravilla Carmen, Bermúdez Hugo

机构信息

Clínica Alemana, Santiago, Chile.

School of Medicine, Clínica Alemana-Universidad del Desarollo, Santiago, Chile.

出版信息

Case Rep Urol. 2022 Nov 21;2022:3817554. doi: 10.1155/2022/3817554. eCollection 2022.

Abstract

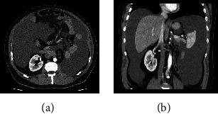
Chylous ascites is an uncommon complication after surgery that can result in malnutrition and immunodeficiency. Therefore, surgical interventions are reserved for refractory patients, and the primary success factor for these interventions is locating the point of leakage, which is often tricky. We describe a case of a 56-year-old male with chylous ascites after laparoscopic radical nephrectomy and lumbo-aortic lymphadenectomy for kidney cancer. The patient was initially managed with dietary modifications and drainage placement. Afterward, lymphography with Lipiodol, percutaneous embolization of the leakage point, and total parenteral nutrition were established. Finally, the patient underwent laparoscopic repair after identifying the leakage point by injecting methylene blue through an inguinal node. Complete resolution was achieved, and no complications related to the procedure were recorded. Intranodal methylene blue injection can be an invaluable tool to identify the point of leakage in selected patients to improve the outcomes of surgical repair of refractory chylous ascites.

摘要

乳糜性腹水是手术后一种罕见的并发症,可导致营养不良和免疫缺陷。因此,手术干预仅适用于难治性患者,而这些干预的主要成功因素是找到漏点,这通常很棘手。我们描述了一例56岁男性患者,在因肾癌行腹腔镜根治性肾切除术和腰主动脉淋巴结清扫术后出现乳糜性腹水。患者最初采用饮食调整和放置引流管进行处理。随后,进行了碘油淋巴造影、漏点的经皮栓塞以及全胃肠外营养。最后,在通过腹股沟淋巴结注射亚甲蓝确定漏点后,患者接受了腹腔镜修复。腹水完全消退,且未记录到与该手术相关的并发症。在选定的患者中,经淋巴结注射亚甲蓝可能是一种非常有价值的工具,有助于确定漏点,从而改善难治性乳糜性腹水手术修复的效果。

https://cdn.ncbi.nlm.nih.gov/pmc/blobs/21c9/9705082/4187f632c3d3/CRIU2022-3817554.001.jpg

文献AI研究员

20分钟写一篇综述,助力文献阅读效率提升50倍。

立即体验

用中文搜PubMed

大模型驱动的PubMed中文搜索引擎

马上搜索

文档翻译

学术文献翻译模型,支持多种主流文档格式。

立即体验