Suppr超能文献

双侧腋窝淋巴结钙化:一例病例报告及病因再探讨

Bilateral axillary node calcifications: a case report and revisiting causes.

作者信息

Chotai Niketa, Xu Guiqin Germaine, Tan Hong Wui

机构信息

RadLink Imaging Center, Singapore.

Germaine Breast and General Surgical Clinic, Singapore.

出版信息

Radiol Case Rep. 2022 Nov 28;18(2):581-583. doi: 10.1016/j.radcr.2022.10.076. eCollection 2023 Feb.

Abstract

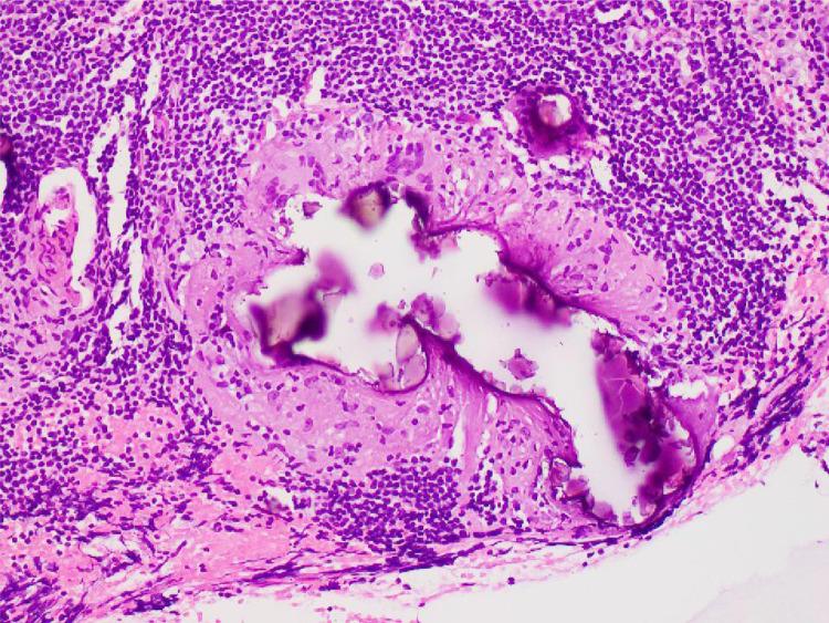
A 48-year woman was found to have bilateral axillary nodal microcalcifications on screening mammogram; a new finding compared to the prior mammogram done about 8 years ago. Combining the new finding with the amorphous and fine morphology of the microcalcifications, deemed it suspicious. In the absence of a definite benign cause, that could be attributed to this finding, biopsy was performed. Histology from the bilateral axillary node was reported to be benign with calcifications identified within granulomas. There are only a few cases with bilateral axillary nodal microcalcifications reported in the literature till date. Most of these are from ovarian cancer or related to chrysotherapy for rheumatoid arthritis. Our case is distinct from them as this rare finding was not due to any of the known etiologies and the morphology is quite different from the known granulomatous causes. As we report this rare case, we also revisit the causes of axillary nodal microcalcifications. Familiarity with this subject can help the reporting radiologists to avert an invasive procedure like biopsy in some cases, if the cause of benignity can be confidently identified.

摘要

一名48岁女性在乳腺筛查钼靶检查中发现双侧腋窝淋巴结微钙化;与约8年前进行的前一次钼靶检查相比,这是一个新发现。结合微钙化的无定形和细颗粒形态,该发现被视为可疑。由于没有明确的良性病因可归因于此发现,因此进行了活检。双侧腋窝淋巴结的组织学报告为良性,在肉芽肿内发现钙化。迄今为止,文献中仅报道了少数双侧腋窝淋巴结微钙化病例。其中大多数来自卵巢癌或与类风湿性关节炎的金疗法有关。我们的病例与它们不同,因为这一罕见发现并非由任何已知病因引起,且形态与已知的肉芽肿病因有很大差异。在报告这一罕见病例时,我们也重新审视了腋窝淋巴结微钙化的病因。熟悉这一主题有助于报告放射科医生在某些情况下,如果能够确定良性病因,避免进行活检等侵入性检查。

https://cdn.ncbi.nlm.nih.gov/pmc/blobs/12cc/9703458/658a0ef3a51d/gr1.jpg

文献AI研究员

20分钟写一篇综述,助力文献阅读效率提升50倍。

立即体验

用中文搜PubMed

大模型驱动的PubMed中文搜索引擎

马上搜索

文档翻译

学术文献翻译模型,支持多种主流文档格式。

立即体验