Suppr超能文献

SMARCA4缺陷型未分化食管癌病例系列

Case Series of SMARCA4-Deficient Undifferentiated Esophageal Carcinoma.

作者信息

Ahmed Omar T, Nam Ga Hie, Shui Yuan, Villavicencio Jaimy, Vaziri Haleh

机构信息

Department of Internal Medicine, University of Connecticut, Farmington, USA.

Department of Pathology and Laboratory Medicine, University of Connecticut, Farmington, USA.

出版信息

Cureus. 2022 Oct 30;14(10):e30874. doi: 10.7759/cureus.30874. eCollection 2022 Oct.

Abstract

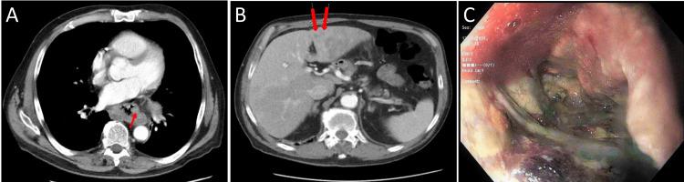
Undifferentiated esophageal carcinomas (UEC) are rare, with aggressive behavior and a dismal prognosis. An extremely rare subset is the SMARCA4-deficient UEC, which has only been reported in 14 cases to date. We present two cases of male patients (39- and 64-year-old) with SMARCA4-deficient UEC. Both patients had evidence of metastatic disease on presentation, progressed rapidly, and passed away within three months from the presentation. We aim to raise awareness of this underreported disease and contribute to the exploration of the possible underlying pathology and risk factors.

摘要

未分化食管癌(UEC)较为罕见,具有侵袭性且预后不佳。一种极其罕见的亚型是SMARCA4缺陷型UEC,迄今为止仅报道了14例。我们报告了两例男性患者(39岁和64岁)患有SMARCA4缺陷型UEC。两名患者就诊时均有转移疾病的证据,病情进展迅速,就诊后三个月内死亡。我们旨在提高对这种报道不足的疾病的认识,并为探索可能的潜在病理和危险因素做出贡献。

https://cdn.ncbi.nlm.nih.gov/pmc/blobs/f897/9707608/b349d4ca5672/cureus-0014-00000030874-i01.jpg

文献检索

告别复杂PubMed语法,用中文像聊天一样搜索,搜遍4000万医学文献。AI智能推荐,让科研检索更轻松。

立即免费搜索

文件翻译

保留排版,准确专业,支持PDF/Word/PPT等文件格式,支持 12+语言互译。

免费翻译文档

深度研究

AI帮你快速写综述,25分钟生成高质量综述,智能提取关键信息,辅助科研写作。

立即免费体验