Suppr超能文献

隆突性皮肤纤维肉瘤颈部肉瘤向具有纤维肉瘤成分的肿瘤的晚期转变:经验教训

Late Transformation of a Dermatofibrosarcoma Protuberans Neck Sarcoma to a Neoplasm With Fibrosarcomatous Elements: Lessons Learned.

作者信息

Poutoglidis Alexandros, Forozidou Evropi, Skalias Antonios, Tsetsos Nikolaos, Karamitsou Paraskevi

机构信息

Department of Otorhinolaryngology-Head and Neck Surgery, 'George Papanikolaou' General Hospital, Thessaloniki, GRC.

Department of Otorhinolaryngology-Head and Neck Surgery, 424 General Military Hospital, Thessaloniki, GRC.

出版信息

Cureus. 2022 Oct 26;14(10):e30690. doi: 10.7759/cureus.30690. eCollection 2022 Oct.

Abstract

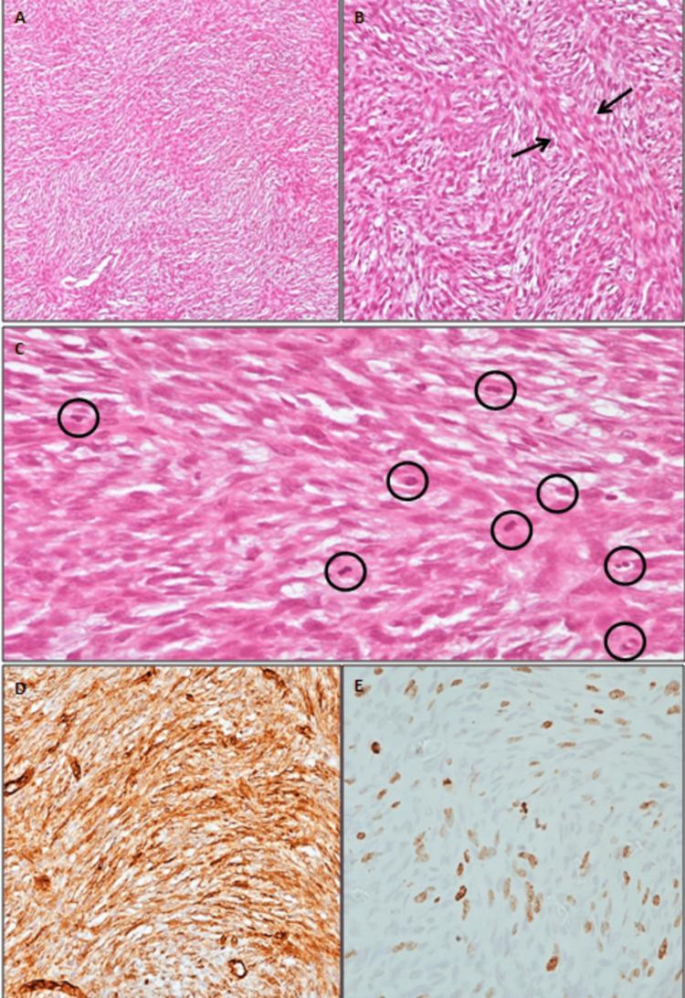
Dermatofibrosarcoma protuberans is a low-grade soft tissue sarcoma not often related to the head and neck area. Distant metastases are not often recorded. Wide surgical excision is considered the most appropriate treatment modality. In cases of insufficient or positive surgical margins, the role of adjuvant radiation therapy or targeted therapy might be beneficial. Dermatofibrosarcoma protuberans transformation to a neoplasm with fibrosarcomatous elements is extremely rare. The presence of fibrosarcomatous elements is associated with more aggressive behavior of the tumor and increases significantly its metastatic potential. We present a rare case of head and neck dermatofibrosarcoma protuberans with multiple local recurrences 13 years after the initial diagnosis.

摘要

隆突性皮肤纤维肉瘤是一种低度恶性的软组织肉瘤,不常发生于头颈部区域。远处转移并不常见。广泛手术切除被认为是最合适的治疗方式。在手术切缘不足或阳性的情况下,辅助放疗或靶向治疗可能有益。隆突性皮肤纤维肉瘤转变为具有纤维肉瘤成分的肿瘤极为罕见。纤维肉瘤成分的存在与肿瘤更具侵袭性的行为相关,并显著增加其转移潜能。我们报告一例罕见的头颈部隆突性皮肤纤维肉瘤病例,在初次诊断13年后出现多次局部复发。

https://cdn.ncbi.nlm.nih.gov/pmc/blobs/7bfd/9704858/259b9449bab4/cureus-0014-00000030690-i01.jpg

文献AI研究员

20分钟写一篇综述,助力文献阅读效率提升50倍。

立即体验

用中文搜PubMed

大模型驱动的PubMed中文搜索引擎

马上搜索

文档翻译

学术文献翻译模型,支持多种主流文档格式。

立即体验