Suppr超能文献

一例成人膀胱横纹肌肉瘤化疗后完全缓解并接受膀胱切除术的病例。

A case of complete response to chemotherapy followed by cystectomy for adult-onset rhabdomyosarcoma of the bladder.

作者信息

Ito Ayato, Sekiguchi Kie, Matsuura Tomohiko, Kato Yoichiro, Suzuki Masamichi, Obara Wataru

机构信息

2-1-1, Medical University Avenue, Yahaba-cho, Shiwa-gun, Iwate, 028-3695, Japan.

出版信息

Urol Case Rep. 2022 Nov 22;45:102282. doi: 10.1016/j.eucr.2022.102282. eCollection 2022 Nov.

Abstract

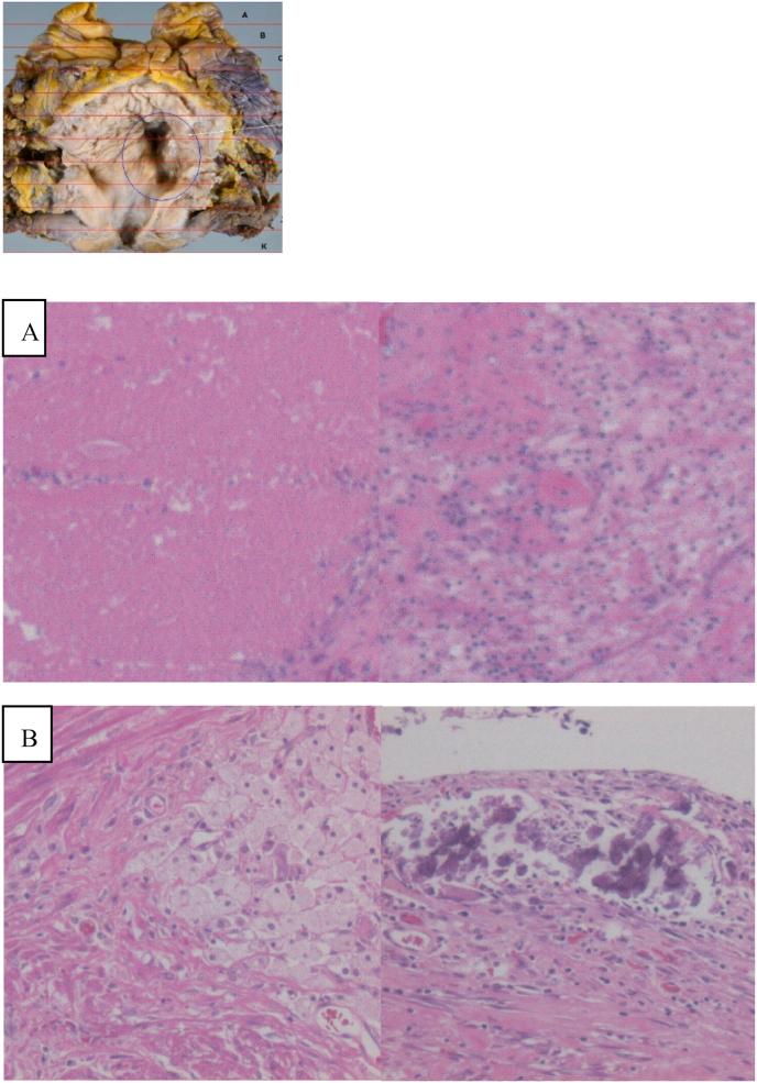
We report a case of alveolar rhabdomyosarcoma of the bladder which achieved complete response with neoadjuvant chemotherapy and surgery. A 58-year-old man was referred to our hospital due to bladder tumor discovered with urinary frequency and gross hematuria. Pathological diagnosis was alveolar rhabdomyosarcoma arising in the bladder which was an extremely rare type. Because the images showed no metastasis except for the right external iliac lymph node, curative treatment was performed consisting of cystectomy besides neoadjuvant chemotherapy using adriamycin and ifosfamide. No residual tumor was found in the extracted bladder specimen. He has been disease free at 12-month follow-up.

摘要

我们报告一例膀胱肺泡状横纹肌肉瘤,该病例通过新辅助化疗和手术实现了完全缓解。一名58岁男性因尿频和肉眼血尿发现膀胱肿瘤而转诊至我院。病理诊断为膀胱原发的肺泡状横纹肌肉瘤,这是一种极为罕见的类型。由于影像学检查显示除右侧髂外淋巴结外无转移,因此进行了包括膀胱切除术在内的根治性治疗,同时使用阿霉素和异环磷酰胺进行新辅助化疗。在切除的膀胱标本中未发现残留肿瘤。在12个月的随访中,他无疾病复发。

https://cdn.ncbi.nlm.nih.gov/pmc/blobs/a61f/9706518/33276de2b385/gr1.jpg

相似文献

1
A case of complete response to chemotherapy followed by cystectomy for adult-onset rhabdomyosarcoma of the bladder.
Urol Case Rep. 2022 Nov 22;45:102282. doi: 10.1016/j.eucr.2022.102282. eCollection 2022 Nov.
3
[The prognostic value of adjuvant and neoadjuvant chemotherapy in total cystectomy for locally advanced bladder cancer].
Nihon Hinyokika Gakkai Zasshi. 1999 Oct;90(10):809-17. doi: 10.5980/jpnjurol1989.90.809.
5
Neoadjuvant Chemotherapy in Neuroendocrine Bladder Cancer: A Case Report.
Am J Case Rep. 2016 Apr 13;17:248-53. doi: 10.12659/ajcr.896989.
8
Robot-Assisted Radical Cystectomy for Pediatric Bladder Rhabdomyosarcoma.
J Endourol Case Rep. 2020 Dec 29;6(4):461-464. doi: 10.1089/cren.2020.0116. eCollection 2020.
9
Two cases of plasmacytoid variant of urothelial carcinoma of urinary bladder: systemic chemotherapy might be of benefit.
Int J Clin Oncol. 2011 Dec;16(6):759-62. doi: 10.1007/s10147-011-0240-4. Epub 2011 Jul 7.

文献AI研究员

20分钟写一篇综述,助力文献阅读效率提升50倍。

立即体验

用中文搜PubMed

大模型驱动的PubMed中文搜索引擎

马上搜索

文档翻译

学术文献翻译模型,支持多种主流文档格式。

立即体验